FZD7 Antibody
-
中文名稱:FZD7兔多克隆抗體
-
貨號:CSB-PA009110LA01HU
-
規格:¥440
-
圖片:
-
Western Blot
Positive WB detected in: HepG2 whole cell lysate, 293T whole cell lysate
All lanes: FZD7 antibody at 1:2000
Secondary
Goat polyclonal to rabbit IgG at 1/50000 dilution
Predicted band size: 64 kDa
Observed band size: 64 kDa -
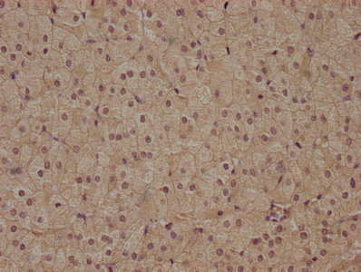
IHC image of CSB-PA009110LA01HU diluted at 1:400 and staining in paraffin-embedded human adrenal gland tissue performed on a Leica BondTM system. After dewaxing and hydration, antigen retrieval was mediated by high pressure in a citrate buffer (pH 6.0). Section was blocked with 10% normal goat serum 30min at RT. Then primary antibody (1% BSA) was incubated at 4°C overnight. The primary is detected by a biotinylated secondary antibody and visualized using an HRP conjugated SP system.
-
-
其他:
產品詳情
-
產品名稱:Rabbit anti-Homo sapiens (Human) FZD7 Polyclonal antibody
-
Uniprot No.:
-
基因名:
-
別名:FZD7; Frizzled-7; Fz-7; hFz7; FzE3
-
宿主:Rabbit
-
反應種屬:Human
-
免疫原:Recombinant Human Frizzled-7 protein (161-239AA)
-
免疫原種屬:Homo sapiens (Human)
-
標記方式:Non-conjugated
本頁面中的產品,FZD7 Antibody (CSB-PA009110LA01HU),的標記方式是Non-conjugated。對于FZD7 Antibody,我們還提供其他標記。見下表:
-
克隆類型:Polyclonal
-
抗體亞型:IgG
-
純化方式:>95%, Protein G purified
-
濃度:It differs from different batches. Please contact us to confirm it.
-
保存緩沖液:Preservative: 0.03% Proclin 300
Constituents: 50% Glycerol, 0.01M PBS, pH 7.4 -
產品提供形式:Liquid
-
應用范圍:ELISA, WB, IHC
-
推薦稀釋比:
Application Recommended Dilution WB 1:1000-1:5000 IHC 1:200-1:500 -
Protocols:
-
儲存條件:Upon receipt, store at -20°C or -80°C. Avoid repeated freeze.
-
貨期:Basically, we can dispatch the products out in 1-3 working days after receiving your orders. Delivery time maybe differs from different purchasing way or location, please kindly consult your local distributors for specific delivery time.
-
用途:For Research Use Only. Not for use in diagnostic or therapeutic procedures.
相關產品
靶點詳情
-
功能:Receptor for Wnt proteins. Most frizzled receptors are coupled to the beta-catenin canonical signaling pathway, which leads to the activation of disheveled proteins, inhibition of GSK-3 kinase, nuclear accumulation of beta-catenin and activation of Wnt target genes. A second signaling pathway involving PKC and calcium fluxes has been seen for some family members, but it is not yet clear if it represents a distinct pathway or if it can be integrated in the canonical pathway, as PKC seems to be required for Wnt-mediated inactivation of GSK-3 kinase. Both pathways seem to involve interactions with G-proteins. Activation by WNT8 induces expression of beta-catenin target genes. Following ligand activation, binds to CCDC88C/DAPLE which displaces DVL1 from FZD7 and leads to inhibition of canonical Wnt signaling, activation of G-proteins by CCDC88C and triggering of non-canonical Wnt responses. May be involved in transduction and intercellular transmission of polarity information during tissue morphogenesis and/or in differentiated tissues.; (Microbial infection) Acts as a receptor for C.difficile toxin TcdB in the colonic epithelium.
-
基因功能參考文獻:
- miR-504-meidated FZD7/Wnt/beta-catenin signaling pathway plays an important role in hepatocellular carcinoma development. PMID: 30142536
- High FZD7 expression is associated with Glioma. PMID: 30010402
- SOX8 bounds to the promoter region of FZD7 and induces the FZD7-mediated activation of the Wnt/beta-catenin pathway and confers chemoresistance and stemness properties and mediates epithelial mesenchymal transition in chemoresistant tongue squamous cell carcinoma. PMID: 29071717
- Frizzled 7 and phosphatidylinositol 4,5-diphosphate binding by syntenin PDZ2 domain supports Frizzled 7 trafficking and signaling. PMID: 27386966
- FZD7 may promote glioma cell proliferation via upregulation of TAZ. PMID: 27852064
- The miR-485-5p/FZD7 axis may provide novel insights into understanding the molecular pathogenesis of melanoma. PMID: 28364602
- FZD7 and IDH1 were assessed by immunohistochemistry in tissue microarrays. PMID: 27409829
- FZD7 transmits non-canonical Wnt signaling by interacting Wnt5A in the regulation of extracellular matrix expression. PMID: 28736081
- Silencing of FZD7 inhibits the growth, migration and invasion of esophageal squamous cell carcinoma cells. Silencing of FZD7 impedes the activation of Wnt signaling. PMID: 28669726
- Taken together, our study suggests that miR-542-3p inhibits HCC cell growth by targeting FZD7 and inhibiting Wnt signaling pathway. The decreased miR-542-3p expression may also contribute to the progression of HCC and may represent a novel molecular therapeutic target for HCC. PMID: 27815069
- Findings suggest that FZD7, involved in canonical Wnt signaling pathway, plays a critical role in mediating BMSCs-dependent protection of CML cells. PMID: 26716419
- Results found that FZD7 was highly upregulated by H. pylori infection and was associated with H. pylori infection-induced cell proliferation. PMID: 26780940
- This paper suggests that Fzd7 may act as one of the molecules that take part in the course of renal cell carcinoma formation PMID: 26243397
- FZD7 is a unique and nonredundant target of NOTCH3 in human breast epithelial cells. PMID: 26847503
- SNX27 inhibits the Wnt regulated transcription activity of TCF/LEF. Our results suggested that SNX27 interacts with Frizzled receptors to regulate the endocytosis and stability of Fzds PMID: 26744382
- Data show that cell proliferation and tumor growth decreased significantly after transfection with the plasmid frizzled 7 protein (FZD7)-Shiga-like toxin I (Stx1). PMID: 26498690
- FZD7 activated JNK in melanoma cell lines in vitro and the expression of a dominant negative JNK suppressed metastasis formation in vivo, suggesting that FZD7 may promote metastatic growth of melanoma cells via activation of JNK PMID: 26808375
- conclusion, our study suggests that miR-613 functions as a tumor suppressor, partially through targeting Fzd7, and is a potential therapeutic target for prostate cancer. PMID: 26703210
- High FZD7 expression is associated with cell migration, invasion, and epithelial-mesenchymal transition of cervical cancer. PMID: 25740178
- High expression of FZD7 is associated with cervical cancer. PMID: 25976503
- Frizzled 7 expression is positively regulated by SIRT1 and beta-catenin in breast cancer cells. PMID: 24897117
- Expression of FZD7 was inversely correlated with miR-199a in both hepatocellular carcinoma tissues and cells and over-expression of miR-199a significantly down-regulates the expression of genes downstream of FZD7. PMID: 25313882
- Knockdown of FZD7 in Stem-A subtype of ovarian cancer cells showed reduced cell proliferation with an increase in the G0/G1 sub-population. PMID: 25032869
- finding suggests that Wnt signaling is one of the factors of LSC niche, and Fz7 helps to maintain the undifferentiated state of LSCs. PMID: 24170316
- Data indicate that Wnt receptor Fzd7-dependent enhancement of Wnt signalling by DeltaNp63 governs tumour-initiating activity of the basal subtype of breast cancer. PMID: 25241036
- results demonstrate that FZD7 encodes a regulator of the pluripotent state and that hESCs require endogenous WNT/beta-catenin signaling through FZD7 to maintain an undifferentiated phenotype PMID: 24474766
- Our findings suggest that FZD7-involved canonical Wnt signaling pathway is essential for tumorigenesis of TNBC. PMID: 21532620
- Variable FZD7 expression in colorectal cancers indicates regulation by the tumour microenvironment. PMID: 19655379
- FZD7 plays a pivotal role in morphology transitions that are associated with colon tumor initiation and progression. PMID: 15901282
- During development, FZD7 orchestrates either migratory or epithelialization which implicate similar functional diversity for FZD7 during colorectal cancer devvelopment. PMID: 17016432
- These findings pinpoint calpain-1 as a regulator of Frizzled-7 turnover at the plasma membrane and reveal a link between Frizzled-7 cleavage and its activity. PMID: 17716656
- Syntenin stimulates c-jun phosphorylation and modulates Frizzled 7 signaling, in particular the PKCalpha/CDC42 noncanonical Wnt signaling cascade. PMID: 18256285
- FZD7-siRNA may be used as a therapeutic reagent for colorectal cancer. PMID: 18592008
- findings identify the WNT receptor FZD7 as a novel ES cell-specific surface antigen with a likely important role in the maintenance of ES cell self-renewal capacity PMID: 18681827
- FZD7 may be involved in enhancement of survival, invasion and metastatic capabilities of colon cancer cells through non-canonical Wnt signalling pathways as well as the canonical pathway. PMID: 19773752
顯示更多
收起更多
-
亞細胞定位:Cell membrane; Multi-pass membrane protein. Endosome membrane; Multi-pass membrane protein.
-
蛋白家族:G-protein coupled receptor Fz/Smo family
-
組織特異性:High expression in adult skeletal muscle and fetal kidney, followed by fetal lung, adult heart, brain, and placenta. Specifically expressed in squamous cell esophageal carcinomas.
-
數據庫鏈接:
Most popular with customers
-
-
YWHAB Recombinant Monoclonal Antibody
Applications: ELISA, WB, IHC, IF, FC
Species Reactivity: Human, Mouse, Rat
-
Phospho-YAP1 (S127) Recombinant Monoclonal Antibody
Applications: ELISA, WB, IHC
Species Reactivity: Human
-
-
-
-
-















