FUNDC1 Antibody
-
中文名稱:FUNDC1兔多克隆抗體
-
貨號:CSB-PA816886LA01HU
-
規格:¥880
-
圖片:
-
Western Blot
Positive WB detected in: RAW264.7 whole cell lysate(30μg), 293 whole cell lysate(30μg), SY5Y whole cell lysate(30μg), Hela whole cell lysate(30μg), MCF7 whole cell lysate(30μg)
All lanes: FUNDC1 antibody at 1:1000
Secondary
Goat polyclonal to rabbit IgG at 1/40000 dilution
Predicted band size: 17kDa
Observed band size: 17kDa
Exposure time: 60s -
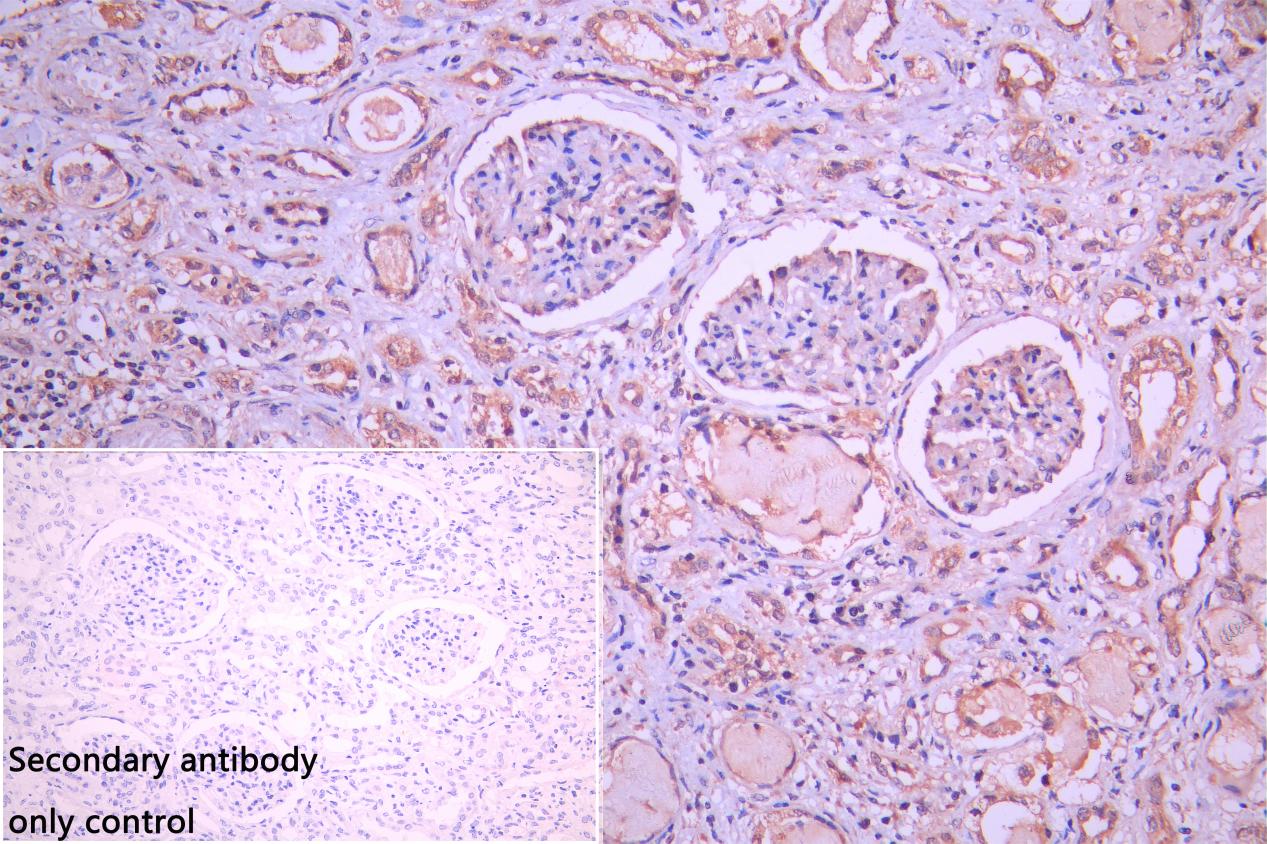
IHC image of CSB-PA816886LA01HU diluted at 1:250 and staining in paraffin-embedded human kidney tissue performed on a Leica BondTM system. After dewaxing and hydration, antigen retrieval was mediated by high pressure in a citrate buffer (pH 6.0). Section was blocked with 10% normal goat serum 30min at RT. Then primary antibody (1% BSA) was incubated at 4°C overnight. The primary is detected by a Goat anti-rabbit polymer IgG labeled by HRP and visualized using 0.05% DAB. Secondary antibody only control: uses 1% BSA instead of primary antibody
-
Western Blot
Positive WB detected in: Mouse Brain tissue lysate(30μg),Mouse Liver tissue lysate(30μg),Rat Brain tissue lysate(30μg),Rat Liver tissue lysate(30μg)
All lanes: FUNDC1 antibody at 1:1000
Secondary
Goat polyclonal to rabbit IgG at 1/40000 dilution
Predicted band size: 17 kDa
Observed band size: 17 kDa
Exposure time: 60s -
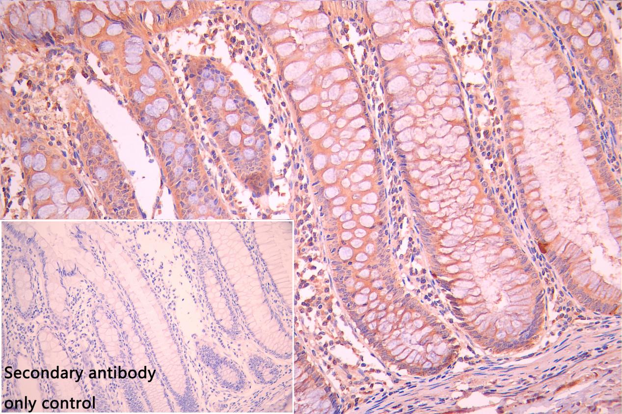
IHC image of CSB-PA816886LA01HU diluted at 1:250 and staining in paraffin-embedded human small intestine tissue performed on a Leica BondTM system. After dewaxing and hydration, antigen retrieval was mediated by high pressure in a citrate buffer (pH 6.0). Section was blocked with 10% normal goat serum 30min at RT. Then primary antibody (1% BSA) was incubated at 4°C overnight. The primary is detected by a Goat anti-rabbit polymer IgG labeled by HRP and visualized using 0.05% DAB. Secondary antibody only control: uses 1% BSA instead of primary antibody
-
IHC image of CSB-PA816886LA01HU diluted at 1:250 and staining in paraffin-embedded human colorectal cancer performed on a Leica BondTM system. After dewaxing and hydration, antigen retrieval was mediated by high pressure in a citrate buffer (pH 6.0). Section was blocked with 10% normal goat serum 30min at RT. Then primary antibody (1% BSA) was incubated at 4°C overnight. The primary is detected by a Goat anti-rabbit polymer IgG labeled by HRP and visualized using 0.05% DAB. Secondary antibody only control: uses 1% BSA instead of primary antibody
-
-
其他:
產品詳情
-
產品名稱:Rabbit anti-Homo sapiens (Human) FUNDC1 Polyclonal antibody
-
Uniprot No.:
-
基因名:
-
別名:FUNDC1; FUN14 domain-containing protein 1
-
宿主:Rabbit
-
反應種屬:Human, Mouse, Rat
-
免疫原:Recombinant Human FUN14 domain-containing protein 1 protein
-
免疫原種屬:Homo sapiens (Human)
-
克隆類型:Polyclonal
-
抗體亞型:IgG
-
純化方式:Antigen affinity purification
-
濃度:It differs from different batches. Please contact us to confirm it.
-
保存緩沖液:0.03% Proclin 300
Constituents: 50% Glycerol, 0.01M PBS, PH 7.4 -
產品提供形式:Liquid
-
應用范圍:ELISA, WB, IHC
-
推薦稀釋比:
Application Recommended Dilution WB 1:500-1:2000 IHC 1:50-1:500 -
Protocols:
-
儲存條件:Upon receipt, store at -20°C or -80°C. Avoid repeated freeze.
-
貨期:Basically, we can dispatch the products out in 1-3 working days after receiving your orders. Delivery time maybe differs from different purchasing way or location, please kindly consult your local distributors for specific delivery time.
-
用途:For Research Use Only. Not for use in diagnostic or therapeutic procedures.
相關產品
靶點詳情
-
功能:Acts as an activator of hypoxia-induced mitophagy, an important mechanism for mitochondrial quality control.
-
基因功能參考文獻:
- Our data suggested that FUNDC1 can be used as a prognostic biomarker in patients with cervical cancer, and may be a new therapeutic target to improve the antitumor effects of chemoradiotherapy. PMID: 28719148
- phosphorylation of Tyr18 of FUNDC1 serves as a molecular switch for mitophagy. PMID: 27653272
- FUNDC1 integrates mitochondrial fission and mitophagy at the interface of the endoplasmic reticulum-mitochondrial contact site by working in concert with DRP1 and calnexin under hypoxic conditions in mammalian cells. PMID: 27145933
- FUNDC1 regulates both mitochondrial fission or fusion and mitophagy. PMID: 27050458
- The BCL2L1-PGAM5-FUNDC1 axis is critical for receptor-mediated mitophagy. PMID: 25126723
- FUNDC1 regulates ULK1 recruitment to damaged mitochondria, where FUNDC1 phosphorylation by ULK1 is crucial for mitophagy. PMID: 24671035
- Data show that Knockdown of endogenous FUNDC1 significantly prevented hypoxia-induced mitophagy, which could be reversed by the expression of wild-type FUNDC1. PMID: 22267086
顯示更多
收起更多
-
亞細胞定位:Mitochondrion outer membrane; Multi-pass membrane protein.
-
蛋白家族:FUN14 family
-
組織特異性:Widely expressed.
-
數據庫鏈接:
Most popular with customers
-
-
YWHAB Recombinant Monoclonal Antibody
Applications: ELISA, WB, IHC, IF, FC
Species Reactivity: Human, Mouse, Rat
-
Phospho-YAP1 (S127) Recombinant Monoclonal Antibody
Applications: ELISA, WB, IHC
Species Reactivity: Human
-
-
-
-
-















