FST Antibody
-
中文名稱:FST兔多克隆抗體
-
貨號:CSB-PA053903
-
規格:¥1100
-
圖片:
-
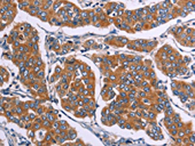
The image on the left is immunohistochemistry of paraffin-embedded Human breast cancer tissue using CSB-PA053903(FST Antibody) at dilution 1/20, on the right is treated with synthetic peptide. (Original magnification: ×200)
-
The image on the left is immunohistochemistry of paraffin-embedded Human liver cancer tissue using CSB-PA053903(FST Antibody) at dilution 1/20, on the right is treated with synthetic peptide. (Original magnification: ×200)
-
-
其他:
產品詳情
-
Uniprot No.:
-
基因名:
-
別名:Activin binding protein antibody; Activin-binding protein antibody; Follistatin antibody; FS antibody; fst antibody; FST_HUMAN antibody; Human follistatin gene antibody
-
宿主:Rabbit
-
反應種屬:Human,Mouse,Rat
-
免疫原:Synthetic peptide of Human FST
-
免疫原種屬:Homo sapiens (Human)
-
標記方式:Non-conjugated
-
抗體亞型:IgG
-
純化方式:Antigen affinity purification
-
濃度:It differs from different batches. Please contact us to confirm it.
-
保存緩沖液:-20°C, pH7.4 PBS, 0.05% NaN3, 40% Glycerol
-
產品提供形式:Liquid
-
應用范圍:ELISA,IHC
-
推薦稀釋比:
Application Recommended Dilution ELISA 1:2000-1:5000 IHC 1:25-1:100 -
Protocols:
-
儲存條件:Upon receipt, store at -20°C or -80°C. Avoid repeated freeze.
-
貨期:Basically, we can dispatch the products out in 1-3 working days after receiving your orders. Delivery time maybe differs from different purchasing way or location, please kindly consult your local distributors for specific delivery time.
-
用途:For Research Use Only. Not for use in diagnostic or therapeutic procedures.
相關產品
靶點詳情
-
功能:Binds directly to activin and functions as an activin antagonist. Specific inhibitor of the biosynthesis and secretion of pituitary follicle stimulating hormone (FSH).
-
基因功能參考文獻:
- these studies suggest that follistatin expression in invasive breast cancer is unrelated to the disease severity and the risk of recurrence, but is more intense in estrogen receptor -negative tumors PMID: 27389553
- Surface plasmon resonance analysis showed no significant association between FS288 and AMHC , suggesting that FS288 indirectly regulates AMH signaling. Activin A, a direct target of FS288, did not itself induce reporter activity in P19 cells, but did prevent the FS288-induced increase in AMH signaling. Hence, local concentrations of FS288 and Activin A may influence the response of some cell types to AMH. PMID: 28500669
- results suggest a role for FST as a suppressor of invasion and metastasis in breast cancer PMID: 28647698
- These data indicate that FST is a bona fide metastasis suppressor in this mouse model and support future efforts to develop an FST mimetic to suppress metastatic progression. PMID: 28583174
- These findings indicate that muscle-specific Fst overexpression in pigs enhances skeletal muscle growth, at least partly due to myofiber hypertrophy and providing a promising approach to increase muscle mass in pigs and other livestock. PMID: 27787698
- High follistatin expression is associated with lung adenocarcinoma. PMID: 26950277
- FST and KLK6 may have significance in breast cancer detection PMID: 27168011
- Follistatin and activin A are higher in MI than in CAD suggesting increased release due to myocardial necrosis. They can predict MI with accuracy similar to CK-MB PMID: 28732565
- The activin-A to follistatin ratio may play a role in determining the clinical phenotype of preterm birth as preterm labor or preterm premature rupture of membranes. PMID: 27159193
- Low follistatin expression is associated with liver cirrhosis. PMID: 27399349
- Follistatin levels are associated with circulating leptin levels and display a day-night rhythm and a menstrual cycle, but not a seasonal, variation. PMID: 27621181
- Within the nonalcoholic fatty liver disease group of patients, follistatin was associated with steatohepatitis independently from activin A PMID: 27621190
- annexin A2 but not follistatin is expressed in hepatocellular carcinoma PMID: 26189841
- FST plays a role in tumourigenesis, metastasis and angiogenesis of solid tumours through its interaction with activin and BMPs, thus resulting in pathophysiological function. In terms of diagnosis, prognosis and therapy, FST has shown strong promise PMID: 27807065
- Study shows that INHBA and FST are induced by seminal fluid in cervical tissues and thus, may contribute to regulation of the post-coital response in women. PMID: 26415587
- Circulating follistatin may be a marker of the glucagon-to-insulin tone on the liver PMID: 26652766
- serum concentrations positively associated with serum free thyroxine levels in hyperthyroid or euthyroid patients PMID: 26844494
- We report here an original observation that activin-B is upregulated in the human idiopathic pulmonary fibrosis lung. PMID: 25361680
- changes in Follistatin levels during pregnancy contribute to the control of the activin A system PMID: 25565002
- Two angiogenic factors, follistatin (and HGF) are associated with prognosis in esophageal cancer patients. PMID: 25885021
- Adenomyotic tissues express high levels of myostatin, follistatin, and activin type II receptors. PMID: 26086422
- an imbalance between activin-A and follistatin contributes to the pathogenesis of cigarette smoke-induced inflammation and COPD PMID: 24232707
- Circulating follistatin levels are reduced in gestational diabetes mellitus and are positively associated with fetal growth and neonatal adiposity. PMID: 24763182
- higher than normal serum values common in H1N1 infection but found no association with the severity of respiratory failure PMID: 24885241
- data strongly support that up-regulation of FST in chondrocytes by skeletal dysplasia-inducing TRPV4 mutations contributes to disease pathogenesis. PMID: 24577120
- Follistatin, by its ability to neutralize the actions of activin A may be of value as an antifibrotic for radiation induced fibrosis. PMID: 24204752
- Plasma follistatin is moderately elevated in patients with type 2 diabetes. PMID: 23564759
- It is considered to have a significant role during tumor progression by influencing angiogenesis and metastasis. Thus, it serum level is a good tumor marker for hepatocellular carcinoma. PMID: 23432377
- These results suggest that FOXL2 may act as a tumor suppressor in human adult-type GCTs by inducing follistatin expression, which subsequently inhibits activin-stimulated cell proliferation. PMID: 24332943
- study found that causative mutations in the coding region of the FST gene are rare in Chinese women with idiopathic premature ovarian failure PMID: 23113792
- In cultured endometrioma stromal cells, Il-1beta and TNF-alpha induced follistatin mRNA and protein. PMID: 23171678
- FOXL2 expression is required for GDF-9 stimulation of follistatin transcription. PMID: 23523567
- methylation levels of CpG sites in the FST promoter and 5'-UTR are not associated with polycystic ovary syndrome PMID: 23265961
- The intrinsic PK/PD properties of native FST315 are poorly suited for acting as a parentally administered biotherapeutic with broad systemic effects. PMID: 23249626
- Serum measurements of activin A, B, or follistatin cannot discriminate risk for type 2 diabetes in individual patients, but the activins display a positive relationship with clinical parameters of the disease. PMID: 23304117
- The present study demonstrated that serum follistatin is not significantly altered in peritoneal or deep infiltrating endometriosis and has limited diagnostic accuracy in the diagnosis of ovarian endometrioma. PMID: 22416010
- Binding of a specific ligand to FS288 differentially regulates its affinity and behavior for heparin molecules. PMID: 22809401
- FST is known to be an inhibitor of bone morphogenetic proteins (BMPs), which, coupled with the ability of TGF-beta2 to upregulate FST levels, may indicate a possible role of FST in the pathogenesis of glaucoma. PMID: 23010638
- The occurrence of the exonic variants of follistatin gene seems to be dependent on the ethnic background of the subjects under study and its role in the polycystic ovary syndrome pathophysiology cannot be established with hitherto available evidence. PMID: 23023351
- Findings suggest a function for breast cancer susceptibility gene 1 (BRCA1) as a regulator of follistatin (FST) expression and function in ovarian cells. PMID: 22685544
- Myostatin may have a role in abdominal obesity, androgen and follistatin levels in women with polycystic ovary syndrome PMID: 22693174
- After eccentric exercise, postmenopausal women not using hormone therapy (HT) expressed higher levels of follistatin while postmenopausal women using HT showed a significant increased expression over controls. PMID: 22395277
- Follistatin showed highly significant positive associations to the intrafollicular concentrations of antimullerian hormone and inhibin B. PMID: 21846490
- LIR was able to induce gains in 1RM and quadriceps CSA similar to those observed after traditional HI. These responses may be related to the concomitant decrease in MSTN and increase in FLST isoforms, GASP-1, and SMAD-7 mRNA gene expression. PMID: 21900845
- analysis of candidate genes revealed four genes that influence fertility: CGB/LHB gene cluster (p = 0.0036), FSHR (p = 0.023), FST (p = 0.023), and INHB; none of the independent SNPs in these genes predicted mortality PMID: 21222045
- increased follistatin levels occurred with inflammation, reduced muscle strength, and low bone mineral density, suggesting an involvement of a mechanism including follistatin in the uremic wasting process PMID: 21350111
- Disturbed expression of endometrial activin A, cripto , and follistatin suggests a dysfunction of the activin pathway in endometriosis/endometrioma. PMID: 21496809
- Effects of training and androgens on MYOPRO and FOLLI concentrations in blood and skeletal muscle, were investigated. PMID: 20801187
- Nucleolar follistatin promotes cancer cell survival under glucose-deprived conditions through inhibiting cellular rRNA synthesis. PMID: 20843798
- Changes in hepatically metabolised follistatin during and after exercise are reported. PMID: 21068158
顯示更多
收起更多
-
亞細胞定位:Secreted.
-
組織特異性:Isoform 1 is the predominant isoform in serum but is undetectable in follicular fluid. In the embryo, strong expression is seen in the palatal epithelia, including the medial edge epithelial and midline epithelial seam of the palatal shelves. Less pronoun
-
數據庫鏈接:
Most popular with customers
-
-
YWHAB Recombinant Monoclonal Antibody
Applications: ELISA, WB, IHC, IF, FC
Species Reactivity: Human, Mouse, Rat
-
Phospho-YAP1 (S127) Recombinant Monoclonal Antibody
Applications: ELISA, WB, IHC
Species Reactivity: Human
-
-
-
-
-















