FOXO4 Antibody
-
中文名稱:FOXO4兔多克隆抗體
-
貨號:CSB-PA008839OA01HU
-
規格:¥440
-
圖片:
-
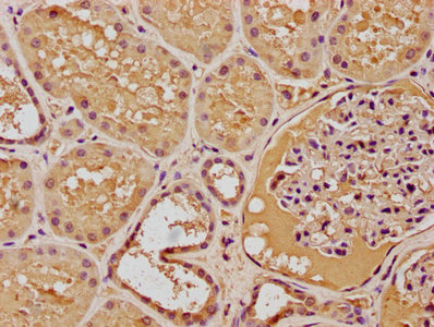
IHC image of CSB-PA008839OA01HU diluted at 1:100 and staining in paraffin-embedded human kidney tissue performed on a Leica BondTM system. After dewaxing and hydration, antigen retrieval was mediated by high pressure in a citrate buffer (pH 6.0). Section was blocked with 10% normal goat serum 30min at RT. Then primary antibody (1% BSA) was incubated at 4°C overnight. The primary is detected by a biotinylated secondary antibody and visualized using an HRP conjugated SP system.
-
Immunofluorescence staining of Hela cells with CSB-PA008839OA01HU at 1:50, counter-stained with DAPI. The cells were fixed in 4% formaldehyde, permeabilized using 0.2% Triton X-100 and blocked in 10% normal Goat Serum. The cells were then incubated with the antibody overnight at 4°C. The secondary antibody was Alexa Fluor 488-congugated AffiniPure Goat Anti-Rabbit IgG(H+L).
-
-
其他:
產品詳情
-
產品名稱:Rabbit anti-Homo sapiens (Human) FOXO4 Polyclonal antibody
-
Uniprot No.:
-
基因名:
-
別名:AFX antibody; AFX1 antibody; Afxh antibody; ALL1-fused gene from X chromosome antibody; Fork head domain transcription factor AFX1 antibody; Forkhead box O4 antibody; Forkhead box protein O4 antibody; FOXO 4 antibody; Foxo4 antibody; FOXO4_HUMAN antibody; MGC117660 antibody; MGC120490 antibody; Mixed lineage leukemia; translocated to; 7 antibody; MLLT7 antibody; Myeloid/lymphoid or mixed lineage leukemia (trithorax homolog; Drosophila); translocated to; 7 antibody; Myeloid/lymphoid or mixed lineage leukemia; translocated to; 7 antibody; RGD1561201 antibody
-
宿主:Rabbit
-
反應種屬:Human
-
免疫原:Peptide sequence from Human Forkhead box protein O4 protein (45-63AA)
-
免疫原種屬:Homo sapiens (Human)
-
標記方式:Non-conjugated
本頁面中的產品,FOXO4 Antibody (CSB-PA008839OA01HU),的標記方式是Non-conjugated。對于FOXO4 Antibody,我們還提供其他標記。見下表:
-
克隆類型:Polyclonal
-
抗體亞型:IgG
-
純化方式:Antigen Affinity Purified
-
濃度:It differs from different batches. Please contact us to confirm it.
-
保存緩沖液:Preservative: 0.03% Proclin 300
Constituents: 50% Glycerol, 0.01M PBS, pH 7.4 -
產品提供形式:Liquid
-
應用范圍:ELISA, IHC, IF
-
推薦稀釋比:
Application Recommended Dilution IHC 1:20-1:200 IF 1:50-1:200 -
Protocols:
-
儲存條件:Upon receipt, store at -20°C or -80°C. Avoid repeated freeze.
-
貨期:Basically, we can dispatch the products out in 1-3 working days after receiving your orders. Delivery time maybe differs from different purchasing way or location, please kindly consult your local distributors for specific delivery time.
-
用途:For Research Use Only. Not for use in diagnostic or therapeutic procedures.
相關產品
靶點詳情
-
功能:Transcription factor involved in the regulation of the insulin signaling pathway. Binds to insulin-response elements (IREs) and can activate transcription of IGFBP1. Down-regulates expression of HIF1A and suppresses hypoxia-induced transcriptional activation of HIF1A-modulated genes. Also involved in negative regulation of the cell cycle. Involved in increased proteasome activity in embryonic stem cells (ESCs) by activating expression of PSMD11 in ESCs, leading to enhanced assembly of the 26S proteasome, followed by higher proteasome activity.
-
基因功能參考文獻:
- Study reports that CK1alpha similarly destabilizes FOXO4 in RAS-mutant cells by phosphorylation at serines 265/268. PMID: 28945225
- In this review, we introduce the regulation of FOXO4 in physiological and pathological conditions. Particularly, the pathophysiological processes and molecular pathways regulated by FOXO4 in the development and progression of cancer are also summarized PMID: 29719213
- The results of this genomic analysis suggest that low FOXO4 expression is a significant risk factor for epileptic seizures in patients with LGGs and is associated with the seizure outcome. PMID: 28963932
- NF-kappaB/snail/YY1/RKIP circuitry regulated by FOXO4 were likely involved in miR-150-induced EMT event. PMID: 27976702
- Negative expression of FoxO3/FoxO4 and lymph node metastasis were the risk factors for the poor prognosis of bladder cancer. PMID: 28554751
- Knockdown of FOXO4 but not FOXO1 expression decreased proteasome activity. Following neural differentiation, the HD-iPSC-derived neural progenitor cells (NPCs) demonstrated lower levels of proteasome activity and FOXO expressions than their WT counterparts. More importantly, overexpression of FOXO4 but not FOXO1 in HD NPCs dramatically enhanced proteasome activity. PMID: 28973411
- Results show that a small subset of lymphoma cells surviving treatment with doxorubicin or phenylbutyrate showed stem cell-like properties and resistance to chemotherapeuty. The overexpression of FOXO4 was found in these surviving cells, and DLBCL patients with FOXO4-positive tumor cells had poor prognosis. PMID: 27911272
- FOXO4 and FOXD3 were shown independently predictive of overall survival in gastric cancer PMID: 27027443
- FoxO1 and FoxO4 antagonize Tat-mediated transactivation of HIV-1 promoter through the repression of Tat protein expression. PMID: 28699853
- FOXO4 has an inhibitory effect in clearcell renal carcinoma cells, at least in part through inducing apoptosis via upregulation of Bim in the mitochondria-dependent pathway. PMID: 26780985
- knockdown of Ku70 inhibited cell proliferation accompanying an increase in p27(kip1) levels through interacting with FOXO4 PMID: 26797321
- miR-664 functions as an oncogene miRNA and has an important role in promoting human osteosarcoma cell proliferation by suppressing FOXO4 expression. PMID: 26463624
- The data demonstrated that elevated miR-150 targets FOXO4 expression and therefore regulates multiple genes expression, resulting in cervical cancer cell growth and survival. PMID: 26715362
- Porphyromonas gingivalis-induced reactive oxygen species activate FOXO transcription factors through JNK signalling, and that FOXO1 controls oxidative stress responses, inflammatory cytokine production and cell survival. PMID: 25958948
- Cox regression analysis indicated FoxO4 to be an independent prognostic factor in non-small cell lung cancers and suggested that FoxO4 might inhibit the process of EMT in non-small cell lung cancers, and might therefore be a target for therapy. PMID: 24935588
- FOXOs support the metabolic requirements of normal and tumor cells by promoting IDH1 expression. PMID: 25648147
- data strongly suggest that increased PI3K/AKT-mediated metastatic invasiveness in CaP is associated with FOXO4 loss, and that mechanisms to induce FOXO4 re-expression might suppress CaP metastatic aggressiveness. PMID: 24983969
- study demonstrated that miR-1274a prompted gastric cancer cells growth and migration through dampening FOXO4 expression thus provided a potential target for human gastric cancer therapy PMID: 25753202
- Data indicate that glycogen synthase kinase 3 beta (GSK3beta) and transcription factors FOXO1/3/4 promote hepatoma cell proliferation through type I insulin-like growth factor receptor (IGF-IR). PMID: 25053419
- FOXO4KD-EPCs injected into the rat ischemic limb brought less apoptosis and more neovascularization than EPCs PMID: 24663349
- Case Report: CIC-FOXO4 fusion sarcoma is a new type of Ewing-like sarcoma that has a specific genetic signature. PMID: 25007147
- Our data suggest that loss of FOXO4 expression contributes to gastric cancer growth and metastasis, and it may serve as a potential therapeutic target for gastric cancer. PMID: 24886657
- Data show that forkhead transcription factor 4 (FoxO4) interacts with sterol regulatory element binding protein (SREBP)2 and hypoxia inducible factor (HIF)2alpha to modulate lanosterol 14alpha demethylase (CYP51) promoter activity. PMID: 24353279
- Data show that small GTPase RALA regulates formation of a JIP1 (C-Jun-amino-terminal-interacting protein 1) scaffold complex to propagate JNK signaling toward FOXO4 (forkhead box O transcription factor) in response to reactive oxygen species (ROS). PMID: 23770673
- We find that loss of FOXO4 reduces the potential of hESCs to differentiate into neural lineages. PMID: 23551888
- Taken together, our findings not only suggest that miR-421 promotes nasopharyngeal carcinoma cell proliferation and anti-apoptosis, but also uncover a novel regulatory mechanism for inactivation of FOXO4 in nasopharyngeal carcinoma. PMID: 23707940
- Coding mutations within the FOXO4 gene are not associated with premature ovarian failure in women from the Tunisian population. PMID: 22285440
- demonstrated that adiponectin activated 5'-AMP-activated protein kinase alpha2 isoform, leading to inhibition of mammalian target of rapamycin complex 1 and S6K1. This in turn stabilized insulin receptor substrate-1, driving Akt2-mediated inhibition of FoxO4 PMID: 21454807
- Inhibition of endogenous FOXO proteins attenuated tetradecanoylphorbol Acetate/PDGF-BB mediated differentiation of neuroblastoma cells. PMID: 22411791
- Data suggest that expression of cytoplasmic FoxO4 in placenta, fetal membranes, and decidua is altered by parturition/labor, preterm chorioamnionitis, and pro-inflammatory stimuli; silencing of FoxO4 gene initiates apoptosis in placental cell lines. PMID: 22112832
- Studies indicate that FoxO1, 3 and 4 genes were discovered at the chromosomal breakpoints found in cancers and were initially implicated in cancer. PMID: 21613825
- identified FOXO4 and PDCD4 as direct and functional targets of miR-499-5p PMID: 21934092
- FOXO4 may function as a tumor suppressor in the development and progression of colorectal cancer. PMID: 22125836
- Studies indictet that the mammalian FoxO family consists of FoxO1, 3, 4 and 6 and are regulated by by AKT and 14-3-3 proteins. PMID: 21708191
- gene study of FOXO4, reveals no association with human longevity in Germans PMID: 21388494
- Foxo4 may be a useful target for suppression in the treatment of HBV-associated hepatocellular carcinoma cells. PMID: 21567078
- DEPP is regulated at the level of transcription by FoxO in human vascular endothelial cells PMID: 21510935
- Tax induces a dose-dependent degradation of FoxO4 by the ubiquitin-proteasome pathway. PMID: 21525355
- greater in fetal membranes obtained from the supracervical compared to distal site PMID: 20934750
- structure of the FOXO4-DNA-binding domain (DBD)-DNA complex suggests that both direct water-DNA base contacts and the unique water-network interactions contribute to FOXO-DBD binding to the DNA in a sequence-specific manner PMID: 21123876
- a conserved critical Ku70 role for FOXO function toward coordination of a survival program PMID: 20570964
- Findings show that oxidative stress and FOXO4 induce PAI-1 expression through modulation of HIF-1alpha and CREB protein levels and that enhanced CREB binding to the PAI-1 promoter is critical for the PAI-1 induction under oxidative stress. PMID: 20136501
- FoxO4 acts on CYP51 to regulate the late steps of cholesterol biosynthesis. PMID: 20037138
- PKG inhibits TCF signaling in colon cancer cells by blocking beta-catenin expression and activating FOXO4. PMID: 20348951
- these data provide a mechanism of FOXO4 anti-oxidative protection through O-GlcNAcylation. PMID: 19932102
- The forkhead transcription factor AFX activates apoptosis by induction of the BCL-6 transcriptional repressor. PMID: 11777915
- AFX zeta is a downstream target of both the phosphatidylinositol 3-kinase/PKB insulin signaling pathway and an AMP-activated protein kinase-dependent pathway. PMID: 11779849
- Control of cell cycle exit and entry by protein kinase B-regulated forkhead transcription factors PMID: 11884591
- the MLL-AFX fusion protein requires the transcriptional effector domains of AFX to transform myeloid progenitors and interfere with forkhead protein function PMID: 12192052
- FOXO4 induces the down-regulation of hypoxia-inducible factor 1 alpha by a von Hippel-Lindau protein-independent mechanism PMID: 12761217
顯示更多
收起更多
-
相關疾?。?/div>A chromosomal aberration involving FOXO4 is found in acute leukemias. Translocation t(X;11)(q13;q23) with KMT2A/MLL1. The result is a rogue activator protein.亞細胞定位:Cytoplasm. Nucleus. Note=When phosphorylated, translocated from nucleus to cytoplasm. Dephosphorylation triggers nuclear translocation. Monoubiquitination increases nuclear localization. When deubiquitinated, translocated from nucleus to cytoplasm.組織特異性:Heart, brain, placenta, lung, liver, skeletal muscle, kidney and pancreas. Isoform zeta is most abundant in the liver, kidney, and pancreas.數據庫鏈接:
Most popular with customers
-
-
YWHAB Recombinant Monoclonal Antibody
Applications: ELISA, WB, IHC, IF, FC
Species Reactivity: Human, Mouse, Rat
-
Phospho-YAP1 (S127) Recombinant Monoclonal Antibody
Applications: ELISA, WB, IHC
Species Reactivity: Human
-
-
-
-
-















