FOXO1 (Ab-256) Antibody
-
中文名稱:FOXO1 (Ab-256)兔多克隆抗體
-
貨號:CSB-PA228665
-
規格:¥2024
-
圖片:
-
Western blot analysis of extracts from Hela cells using FKHR(Ab-256) Antibody.
-
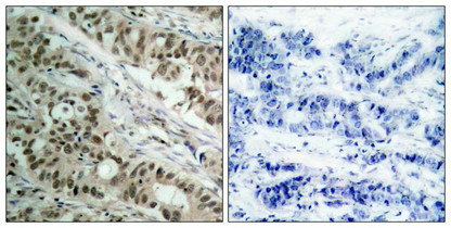
Immunohistochemical analysis of paraffin-embedded human breast carcinoma tissue using FKHR(Ab-256) Antibody(left) or the same antibody preincubated with blocking peptide(right).
-
Immunofluorescence staining of methanol-fixed Hela cells using FKHR(Ab-256) Antibody.
-
-
其他:
產品詳情
-
產品名稱:Rabbit anti-Homo sapiens (Human) FOXO1 Polyclonal antibody
-
Uniprot No.:
-
基因名:
-
宿主:Rabbit
-
反應種屬:Human,Mouse,Rat
-
免疫原:Peptide sequence around aa.254~258 (A-A-S-M-D) derived from Human FKHR/FOXO1A.
-
免疫原種屬:Homo sapiens (Human)
-
克隆類型:Polyclonal
-
純化方式:Antibodies were produced by immunizing rabbits with synthetic peptide and KLH conjugates. Antibodies were purified by affinity-chromatography using epitope-specific peptide.
-
濃度:It differs from different batches. Please contact us to confirm it.
-
產品提供形式:Liquid
-
應用范圍:ELISA,WB,IHC,IF
-
推薦稀釋比:
Application Recommended Dilution WB 1:500-1:1000 IHC 1:50-1:200 IF 1:100-1:200 -
Protocols:
-
儲存條件:Upon receipt, store at -20°C or -80°C. Avoid repeated freeze.
-
貨期:Basically, we can dispatch the products out in 1-3 working days after receiving your orders. Delivery time maybe differs from different purchasing way or location, please kindly consult your local distributors for specific delivery time.
-
用途:For Research Use Only. Not for use in diagnostic or therapeutic procedures.
相關產品
靶點詳情
-
功能:Transcription factor that is the main target of insulin signaling and regulates metabolic homeostasis in response to oxidative stress. Binds to the insulin response element (IRE) with consensus sequence 5'-TT[G/A]TTTTG-3' and the related Daf-16 family binding element (DBE) with consensus sequence 5'-TT[G/A]TTTAC-3'. Activity suppressed by insulin. Main regulator of redox balance and osteoblast numbers and controls bone mass. Orchestrates the endocrine function of the skeleton in regulating glucose metabolism. Also acts as a key regulator of chondrogenic commitment of skeletal progenitor cells in response to lipid availability: when lipids levels are low, translocates to the nucleus and promotes expression of SOX9, which induces chondrogenic commitment and suppresses fatty acid oxidation. Acts synergistically with ATF4 to suppress osteocalcin/BGLAP activity, increasing glucose levels and triggering glucose intolerance and insulin insensitivity. Also suppresses the transcriptional activity of RUNX2, an upstream activator of osteocalcin/BGLAP. In hepatocytes, promotes gluconeogenesis by acting together with PPARGC1A and CEBPA to activate the expression of genes such as IGFBP1, G6PC1 and PCK1. Important regulator of cell death acting downstream of CDK1, PKB/AKT1 and STK4/MST1. Promotes neural cell death. Mediates insulin action on adipose tissue. Regulates the expression of adipogenic genes such as PPARG during preadipocyte differentiation and, adipocyte size and adipose tissue-specific gene expression in response to excessive calorie intake. Regulates the transcriptional activity of GADD45A and repair of nitric oxide-damaged DNA in beta-cells. Required for the autophagic cell death induction in response to starvation or oxidative stress in a transcription-independent manner. Mediates the function of MLIP in cardiomyocytes hypertrophy and cardiac remodeling. Regulates endothelial cell (EC) viability and apoptosis in a PPIA/CYPA-dependent manner via transcription of CCL2 and BCL2L11 which are involved in EC chemotaxis and apoptosis.
-
基因功能參考文獻:
- results indicate that FOXO1 is downregulated by miR300 in hepatocellular carcinoma (HCC) cells and that FOXO1 mediates miR300induced cell viability. PMID: 30272296
- Loss of FOXO1 protein is identified as an early event during pancreatic ductal adenocarcinoma development and may be independent of the top 4 mutated cancer genes PMID: 30227407
- The cardiac regeneration may be promoted by proper control of FOXO1/3 activity. FOXO1 mainly plays a detrimental role in heart while FOXO3's actions are influenced by cell type. [review] PMID: 27890702
- Data show that long non-coding RNA MALAT1 (MALAT1) repressed sirtuin 1 (SIRT1) expression through targeting forkhead box protein O1 (Foxo1). PMID: 29928873
- Authors showed that up-regulation of FOXO1 in cardiomyocytes is central in the pathogenesis of CIH-induced cardiac hypertrophy. PMID: 28738025
- Elatoside C (EsC) attenuated ox-LDL-induced HUVECs injury by inducing autophagy via increasing FoxO1 expression level. EsC is thus considered as a potential drug for the treatment of atherosclerosis. PMID: 28189723
- MiR-145 could suppress human adipose-derived mesenchymal stem cells osteoinductive differentiation by suppressing FoxO1 directly. PMID: 29249185
- Here the authors identified a direct interaction of both MEK1 and MEK2 with AKT. The interaction between MEK and AKT affects cell migration and adhesion, but not proliferation. The specific mechanism of action of the MEK-AKT complex involves phosphorylation of the migration-related transcription factor FoxO1. PMID: 28225038
- our study identified that p27 expression was transcriptionally upregulated by enhancing the binding of FOXO1 to its promoter and post-transcriptionally induced through decreasing binding of miR-182 to its mRNA 3'-UTR upon isorhapontigenin treatment PMID: 29409027
- rescue experiments demonstrated that FOXO1 knockdown abolished the effects of miR660 knockdown on osteosarcoma (OS)cell proliferation and invasion. These results suggest that miR660 may serve oncogenic roles in OS by directly targeting FOXO1. Targeting miR660 may be an effective candidate for the treatment of patients with OS. PMID: 29901128
- In particular, we discuss molecular mechanisms that might determine the switch between pro-apoptotic and pro-survival effects of FOXO1 and their interplay with specific differentiation programs. PMID: 28774833
- In this review, we will discuss the current knowledge regarding potential therapeutic targets that might contribute to indirect interference with PAX3-FOXO1 activity in alveolar rhabdomyosarcoma at the different molecular levels and extrapolate these findings to fusion transcription factors in general. PMID: 29146205
- This review aims to serve as a guide for further research and implicate FOXO1 as a potent therapeutic target in digestive malignancy. PMID: 28965871
- Low FOXO1 expression is associated with ovarian cancer. PMID: 30138596
- Foxo1 is involved in estradiol 17beta-mediated proliferation in INS1-E cells and human islets. PMID: 29727907
- apicidin induced the acetylation of Forkhead box-containing protein, O subfamily 1, which acts as a repressor at the IL7R promoter, accompanied with depleted active histone modifications based on chromatin immunoprecipitation assay. Taken together, these results demonstrated that targeting oncogenic IL7R in ESCC by HDAC inhibitors may be a valuable therapeutic approach. PMID: 29749437
- This study is the first to demonstrate FOXO1 gene rearrangements in malignant ectomesenchymoma with alveolar rhabdomyosarcoma subtype. PMID: 28994342
- The HIF1alphainduced expression of Runx2 and ALP may be completely dependent on the expression levels of Foxo1, and in turn, osteocalcin may be partially dependent on Foxo1 expression. PMID: 29512721
- A novel role of FoxO1 inhibition in promoting IPC differentiation of hESCs. PMID: 29157981
- FOXO1 overexpression increased the length of the microvilli on the cell surface, whereas FOXO1 silencing significantly reduced their length. PMID: 30001537
- High FOXO1 expression is associated with prostatic cancer. PMID: 29328406
- FOXO1 serves as an important linker between HER2 and MET signaling pathways through negative crosstalks and is a key regulator of the acquired lapatinib resistance in HER2-positive GC cells. PMID: 28343375
- LncRNA DANCR could inhibit osteoblast differentiation by regulating FOXO1 expression. PMID: 29338713
- A significant correlation between the physical activity level and peripheral blood mononuclear cell SIRT1 and FOXO1 mRNA expression was found in COPD patients. PMID: 29138552
- results indicate that FOXO1 inhibits gastric cancer (GC) growth and angiogenesis under hypoxic conditions via inactivation of the HIF-1alpha-VEGF pathway, possibly in association with SIRT1; thus, development of treatment modalities aiming at this pathway might be useful for treating GC PMID: 25761483
- These results suggest that liraglutide may exert a renoprotective effect by a FoxO1-mediated upregulation of renal MnSOD expression in the early DKD. PMID: 29355652
- FOXO1, acetylation of FOXO1 and the following interaction between Ac-FOXO1 and Atg7 regulated the basal and serum starvation induced autophagy as evidenced by light chain 3 (LC3) accumulation and p62 degration. PMID: 29466794
- PAX3-FOXO1 fusion protein serves as a driver mutation to initiate a cascade of mRNA and miRNA changes that ultimately reprogram proliferating myoblasts to induce the formation of alveolar rhabdomyosarcoma PMID: 27588498
- Induced the nuclear accumulation of FOXO1. PMID: 28821161
- The data indicate that Akt2 ablation protects against cardiac aging through restored Foxo1-related autophagy and mitochondrial integrity. PMID: 28681509
- the present study demonstrated that the expression of miR-196a in human liver cancer cells was upregulated; downregulation of miR-196a regulated human liver cancer cell biological functions which could benefit the clinical therapy of human liver cancer in the future PMID: 28791406
- Inhibition of FOXO1 enhanced angiogenesis in human bio-engineered capillaries, and resulted in microvascular regeneration and improved function in mouse models of injury-repair. PMID: 28711779
- Cells harboring the fusion gene are selectively sensitive to small-molecule inhibition of protein targets induced by, or bound to, PAX3-FOXO1-occupied super enhancers. Furthermore, PAX3-FOXO1 recruits and requires the BET bromodomain protein BRD4 to function at super enhancers, resulting in a complete dependence on BRD4 and a significant susceptibility to BRD inhibition PMID: 28446439
- FOXO1 silencing also augmented the migratory behavior of SW-13 cells (p<0.0001), suggesting distinct roles for FOXO1 in promoting viability and controlled motility of adrenocortical cells. PMID: 28641336
- may play a critical role in folliculogenesis PMID: 28621049
- the miRNA-223can maintain cell proliferation of breast cancer cell through targeting FOXO 1. PMID: 28719355
- MEG3 acts as a ceRNA to regulate expression of E-cadherin and FOXO1 by competitively binding miR-9 and may be used as a potential biomarker in predicting ESCC patients' progression and prognosis PMID: 28539329
- These results strongly suggest that AMPK can activate ORP150 through FOXO1 pathway and confer protection against endoplasmic reticulum stress - induced apoptosis of airway epithelial cells following exposure to cigarette smoke extract. PMID: 29448096
- LAT1-NAD+-SIRT1 signaling is activated in tumor tissues of patients with non-small cell lung cancer; NAD+ synthesis regulates the SIRT1-FOXO1 apoptotic pathway in response to NQO1 PMID: 27566573
- Knockdown of FOXO4 but not FOXO1 expression decreased proteasome activity. Following neural differentiation, the HD-iPSC-derived neural progenitor cells (NPCs) demonstrated lower levels of proteasome activity and FOXO expressions than their WT counterparts. More importantly, overexpression of FOXO4 but not FOXO1 in HD NPCs dramatically enhanced proteasome activity. PMID: 28973411
- The borders of this novel topologically associating domains (TADs)correspond to the original 5'- and 3'- borders of the PAX3 and FOXO1 TADs, respectively, suggesting that TAD organisation precedes the formation of regulatory long-range interactions. Our results demonstrate that, upon translocation, novel regulatory landscapes are formed allowing new intra-TAD interactions between the original loci involved PMID: 28615069
- In this study, the long noncoding RNA MALAT1, confirmed to be significantly upregulated in OS, is first shown to be capable of promoting proliferation and migration by directly suppressing miR-26a-5p in OS cells. Authors have identified forkhead box O1 (FOXO1) as a transcriptional factor of MALAT1 that can negatively regulate MALAT1. PMID: 28160461
- miR-145 suppressed STAT3 phosphorylation at Tyr705 and increased foxo1 promoter transcriptional activity in T24 cells, but not in T24T cells, suggesting a role of STAT3 in the divergent responses to miR-145. PMID: 28223425
- KLF4 transcriptionally repressed FOXO1 expression in glioma cells, contributing to glioma cell invasion and growth. PMID: 27835585
- this study provides the first evidence that FOXO1 can reverse epithelial-to-mesenchymal transition in hepatocellular carcinoma via the transcription inducers Snail, Slug, ZEB1, ZEB2 and Twist1, with ZEB2 playing a particularly critical role in this process. Furthermore, FOXO1 disrupts TGF-beta-induced epithelial-to-mesenchymal transition. PMID: 27924058
- The data reveal a novel mechanism in which the elevated miR-425 in IBD mediates pathogenic Th17 cell generation through down-regulation of Foxo1. PMID: 29331376
- miR-181a2/181b2 prominently dampened cell-cycle progression, suppressed cell growth, and promoted apoptosis of tumor cells in vitro They also effectively impeded tumor formation and growth in vivo miR-181a2/181b2 exert the tumor suppressor ability by depressing the direct target PIK3R3 (p55gamma) and consequently modulating the PIK3R3/Akt/FoxO signaling pathway PMID: 27503199
- A high extent more than 25% of BRAF(V600E) alleles may be associated with disease outcome in PTC patients. PMID: 27688110
- Combined treatment with gamma-irradiation (gammaIR) and a dual PI3K/mTOR inhibitor causes loss of stemness and of FoxO1/3 proteins in p53-proficient glioblastoma multiforme stem cells (GBM-SCs). PMID: 27448972
- AQP9 overexpression decreased the protein levels of phosphatidylinositol-3-kinase (PI3K), leading to reduced phosphorylation of Akt, and subsequently the protein levels of forkhead box protein O1 (FOXO1) were increased. PMID: 27329843
顯示更多
收起更多
-
相關疾病:Rhabdomyosarcoma 2 (RMS2)
-
亞細胞定位:Cytoplasm. Nucleus.
-
組織特異性:Ubiquitous.
-
數據庫鏈接:
Most popular with customers
-
-
YWHAB Recombinant Monoclonal Antibody
Applications: ELISA, WB, IHC, IF, FC
Species Reactivity: Human, Mouse, Rat
-
Phospho-YAP1 (S127) Recombinant Monoclonal Antibody
Applications: ELISA, WB, IHC
Species Reactivity: Human
-
-
-
-
-















