-
中文名稱:FOXA3兔多克隆抗體
-
貨號:CSB-PA008796LA01HU
-
規格:¥440
-
圖片:
-
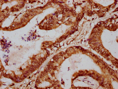
IHC image of CSB-PA008796LA01HU diluted at 1:700 and staining in paraffin-embedded human colon cancer performed on a Leica BondTM system. After dewaxing and hydration, antigen retrieval was mediated by high pressure in a citrate buffer (pH 6.0). Section was blocked with 10% normal goat serum 30min at RT. Then primary antibody (1% BSA) was incubated at 4°C overnight. The primary is detected by a biotinylated secondary antibody and visualized using an HRP conjugated SP system.
-
-
其他:
產品詳情
-
產品名稱:Rabbit anti-Homo sapiens (Human) FOXA3 Polyclonal antibody
-
Uniprot No.:
-
基因名:FOXA3
-
別名:FKHH3 antibody; Fork head-related protein FKH H3 antibody; forkhead box A3 antibody; Forkhead box protein A3 antibody; Foxa3 antibody; FOXA3_HUMAN antibody; hepatic nuclear factor-3-beta antibody; hepatocyte nuclear factor 3 antibody; hepatocyte nuclear factor 3 gamma antibody; Hepatocyte nuclear factor 3-gamma antibody; HNF-3-gamma antibody; HNF-3G antibody; HNF3B antibody; HNF3G antibody; TCF-3G antibody; TCF3G antibody; Transcription factor 3G antibody
-
宿主:Rabbit
-
反應種屬:Human
-
免疫原:Recombinant Human Hepatocyte nuclear factor 3-gamma protein (220-336AA)
-
免疫原種屬:Homo sapiens (Human)
-
標記方式:Non-conjugated
本頁面中的產品,FOXA3 Antibody (CSB-PA008796LA01HU),的標記方式是Non-conjugated。對于FOXA3 Antibody,我們還提供其他標記。見下表:
-
克隆類型:Polyclonal
-
抗體亞型:IgG
-
純化方式:>95%, Protein G purified
-
濃度:It differs from different batches. Please contact us to confirm it.
-
保存緩沖液:Preservative: 0.03% Proclin 300
Constituents: 50% Glycerol, 0.01M PBS, pH 7.4 -
產品提供形式:Liquid
-
應用范圍:ELISA, IHC
-
推薦稀釋比:
Application Recommended Dilution IHC 1:500-1:1000 -
Protocols:
-
儲存條件:Upon receipt, store at -20°C or -80°C. Avoid repeated freeze.
-
貨期:Basically, we can dispatch the products out in 1-3 working days after receiving your orders. Delivery time maybe differs from different purchasing way or location, please kindly consult your local distributors for specific delivery time.
-
用途:For Research Use Only. Not for use in diagnostic or therapeutic procedures.
相關產品
靶點詳情
-
功能:Transcription factor that is thought to act as a 'pioneer' factor opening the compacted chromatin for other proteins through interactions with nucleosomal core histones and thereby replacing linker histones at target enhancer and/or promoter sites. Originally described as a transcription activator for a number of liver genes such as AFP, albumin, tyrosine aminotransferase, PEPCK, etc. Interacts with the cis-acting regulatory regions of these genes. Involved in glucose homeostasis; binds to and activates transcription from the G6PC1 promoter. Binds to the CYP3A4 promoter and activates its transcription in cooperation with CEBPA. Binds to the CYP3A7 promoter together with members of the CTF/NF-I family. Involved in regulation of neuronal-specific transcription. May be involved in regulation of spermatogenesis.
-
基因功能參考文獻:
- Our study identified novel FOXA3 variants and mutations, assessed the adipogenic capacity of two novel missense alterations in vitro and demonstrated for the first time the associations between FOXA3 SNP rs28666870 with metabolic phenotypes in humans. PMID: 25672906
- Foxa3 induces goblet cell metaplasia and inhibits innate antiviral immunity in asthma and chronic obstructive pulmonary disease. PMID: 24392884
- In obese subjects, FOXA3 is differentially expressed in visceral and subcutaneous adipose depots. PMID: 23798556
- low caloric intake decreases the production of intracellular reactive oxygen species and suppresses endothelial cells senescence through promoting HNF3gamma binging to NOX4 promoter region and inhibiting NOX4 gene expression induced by up-regulated HNF3gamma PMID: 22659429
-
亞細胞定位:Nucleus.
-
組織特異性:Expressed in erythroleukemia and hepatoma cell lines and in liver and pancreas. Not expressed in any other cell lines or tissues examined.
-
數據庫鏈接:
Most popular with customers
-
-
YWHAB Recombinant Monoclonal Antibody
Applications: ELISA, WB, IHC, IF, FC
Species Reactivity: Human, Mouse, Rat
-
Phospho-YAP1 (S127) Recombinant Monoclonal Antibody
Applications: ELISA, WB, IHC
Species Reactivity: Human
-
-
-
-
-















