FNDC5 Antibody
-
中文名稱:FNDC5兔多克隆抗體
-
貨號:CSB-PA836707OA01HU
-
規格:¥440
-
圖片:
-
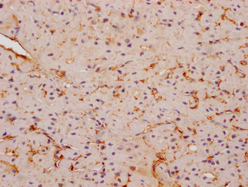
IHC image of CSB-PA836707OA01HU diluted at 1:200 and staining in paraffin-embedded human heart tissue performed on a Leica BondTM system. After dewaxing and hydration, antigen retrieval was mediated by high pressure in a citrate buffer (pH 6.0). Section was blocked with 10% normal goat serum 30min at RT. Then primary antibody (1% BSA) was incubated at 4°C overnight. The primary is detected by a Goat anti-rabbit polymer IgG labeled by HRP and visualized using 0.05% DAB.
-
IHC image of CSB-PA836707OA01HU diluted at 1:200 and staining in paraffin-embedded human skeletal muscle tissue performed on a Leica BondTM system. After dewaxing and hydration, antigen retrieval was mediated by high pressure in a citrate buffer (pH 6.0). Section was blocked with 10% normal goat serum 30min at RT. Then primary antibody (1% BSA) was incubated at 4°C overnight. The primary is detected by a Goat anti-rabbit polymer IgG labeled by HRP and visualized using 0.05% DAB.
-
Immunofluorescence staining of SH-SY5Y cells with CSB-PA836707OA01HU-IF at 1:100, counter-stained with DAPI. The cells were fixed in 4% formaldehyde and blocked in 10% normal Goat Serum. The cells were then incubated with the antibody overnight at 4°C. The secondary antibody was Alexa Fluor 488-congugated AffiniPure Goat Anti-Rabbit IgG(H+L).
-
-
其他:
產品詳情
-
產品名稱:Rabbit anti-Homo sapiens (Human) FNDC5 Polyclonal antibody
-
Uniprot No.:
-
基因名:
-
別名:Fibronectin type III domain-containing protein 5 (Fibronectin type III repeat-containing protein 2) [Cleaved into: Irisin], FNDC5, FRCP2
-
宿主:Rabbit
-
反應種屬:Human
-
免疫原:Recombinant Human Fibronectin type III domain-containing protein 5 protein (113-127aa)
-
免疫原種屬:Homo sapiens (Human)
-
標記方式:Non-conjugated
本頁面中的產品,FNDC5 Antibody (CSB-PA836707OA01HU),的標記方式是Non-conjugated。對于FNDC5 Antibody,我們還提供其他標記。見下表:
-
克隆類型:Polyclonal
-
抗體亞型:IgG
-
純化方式:>95%, Protein G purified
-
濃度:It differs from different batches. Please contact us to confirm it.
-
保存緩沖液:Preservative: 0.03% Proclin 300
Constituents: 50% Glycerol, 0.01M PBS, pH 7.4 -
產品提供形式:Liquid
-
應用范圍:ELISA, IHC, IF
-
推薦稀釋比:
Application Recommended Dilution IHC 1:100-1:500 IF 1:100-1:500 -
Protocols:
-
儲存條件:Upon receipt, store at -20°C or -80°C. Avoid repeated freeze.
-
貨期:Basically, we can dispatch the products out in 1-3 working days after receiving your orders. Delivery time maybe differs from different purchasing way or location, please kindly consult your local distributors for specific delivery time.
-
用途:For Research Use Only. Not for use in diagnostic or therapeutic procedures.
相關產品
靶點詳情
-
功能:Contrary to mouse, may not be involved in the beneficial effects of muscular exercise, nor in the induction of browning of human white adipose tissue.
-
基因功能參考文獻:
- Lower levels of irisin were associated with 1.6 times increased cardiovascular disease risk. PMID: 29673927
- There is a decrease in serum irisin level in type 2 diabetic patients with even more significant reduction in patients with diabetic nephropathy. PMID: 28875825
- FNDC5 mRNA expression in skeletal muscle and circulating irisin concentration relatively to exercise mode, intensity, frequency and duration and the characteristics of the sample used PMID: 29127759
- Serum concentrations of irisin are elevated in post-myocardial infarction patients with increased risk for adverse cardiovascular events. PMID: 29657036
- Acute high-intensity interval exercise decreased irisin levels and increased myostatin levels. PMID: 29558345
- serum levels were significantly lower in pre-eclampsia than normotensive pregnancies PMID: 29430974
- Glucocorticoid receptor positively regulates transcription of FNDC5 in the liver. PMID: 28240298
- This study finds that soccer matches performed different workout times have strong stimulatory effects on irisin levels in all subjects but nesfatin-1 response varied among the subjects and it did not change significantly in afternoon match. PMID: 30084805
- Results show that Irisin concentration in umbilical cord blood was found to be associated with preterm birth (PTB). On the other hand, no differences in maternal blood irisin levels between mothers with preterm and term deliveries were established. PMID: 29997715
- Irisin concentrations do not predict risk of developing diabetes prospectively PMID: 29108900
- serum irisin levels were significantly lower in patients with psoriasis, and associated with serum lipid levels and disease activity; these results can be interpreted that irisin is involved in the disease pathogenesis of patients with psoriasis in relation to metabolic dysregulation PMID: 27652568
- This study show the serum irisin levels had significant positive correlation with seizure severity Chalfont score and the duration of epilepsy. PMID: 29860632
- clinical evidence of the association between serum irisin and vascular calcification in HD patients PMID: 29490308
- The pooled data indicated that the levels of irisin were at least 45.78 ng/ml higher in patients with polycystic ovary syndrome than that in the healthy controls. The current meta-analysis suggested that irisin might contribute to the development of PCOS independent of insulin resistance. PMID: 29069945
- With adjustment for body mass index, circulating irisin in polycystic ovary syndrome patients seems comparable to healthy controls. [meta-analysis] PMID: 29217128
- serum irisin levels were lower in Peritoneal Dialysis patients with Protein Energy Wasting than those of the patients without PEW PMID: 29248911
- Data suggest that decreased irisin levels are associated with metabolic syndrome in prepubertal children; irisin may be a biomarker for metabolic syndrome in prepubertal children. This study was conducted in Seoul, Republic of Korea. PMID: 28904307
- Findings revealed that irisin may play a critical role in the IL-6-induced epithelialmesenchymal transition of osteosarcoma cells via the STAT3/Snail signaling pathway. PMID: 29048621
- FNDC5 gene interactions with candidate genes FOXOA3 and APOE PMID: 29143599
- Irisin is negatively associated with serum testosterone in apopulation sample of men with Metabolic syndrome. PMID: 28759938
- Irisin replenishment in mCaROCK1 mice partially reversed insulin resistance. PMID: 27411515
- Suggest that irisin exerts beneficial effect on mood in COPD patients, possibly by inducing the expression of BDNF in brain areas associated with reward-related processes involved in by depression. PMID: 28744117
- Modulation of Irisin and Physical Activity on Executive Functions in Obesity and Morbid obesity. PMID: 27476477
- Obese children had significantly higher irisin and lower oxytocin levels than the healthy controls. PMID: 28077341
- We determined FNDC5 polymorphisms frequencies in the Israeli population and demonstrated that maternal and neonatal FNDC5 rs726344 polymorphism is significantly associated with increased risk for preterm birth. Women bearing FNDC5 rs726344 GG genotype had 2.18 fold higher chance to deliver on time compared to AG and AA genotypes.Neonatal carrying FNDC5 rs726344 GG genotype had 2.24 fold higher chance to be born on time. PMID: 29408625
- Lower levels of irisin are independently associated with elevated skin AF values, indicating that circulating irisin levels could be associated with AGEs accumulation, which is one of the reasons causing vascular complications in diabetic patients. PMID: 28408433
- Association of Irisin Plasma Levels with Anthropometric Parameters in Children with Underweight, Normal Weight, Overweight, and Obesity. PMID: 28553647
- irisin was significantly higher in obese than in control children, and was inversely correlated with Acrp30 and high molecular weight (HMW) oligomers; inverse correlation between Irisin and Acrp30 and, more significantly, between Irisin and HMW oligomers suggests that the two cytokines are closely connected PMID: 28385328
- Irisin is an oxidative stress marker and a metabolic protective hormone. PMID: 28277125
- Mild cold exposure increased vasoconstriction with a drop in in-the-ear temperature and these were related. Greater irisin was related to a greater fasting fat oxidation in the absence of shivering PMID: 27006247
- Activation of the nuclear receptor constitutive androstane receptor (CAR) induced FNDC5 mRNA expression in the liver. PMID: 27007446
- HCC-liver tissue over-expressed FNDC5/Irisin in association with gene expression of mediators involved in lipogenesis, inflammation and cancer, suggesting a possible protective role of the hormone from the liver damage. PMID: 28012856
- The secretion of FNDC5 from myotubes and beta-cells in response to exogenous fatty acids, the effects of recombinant FNDC5 on insulin biosynthesis and glucose-stimulated insulin secretion, and beta-cell apoptosis are reported. PMID: 28724742
- Irisin regulates the number and function of endothelial progenitor cells via the PI3K/Akt/eNOS pathway in mouse model of diabetes mellitus. PMID: 27002278
- there is a correlation between sport performance, insulin sensitivity, and irisin levels PMID: 28386566
- results firstly revealed that irisin mitigated oxygen-glucose deprivation-induced neuronal injury in part via inhibiting ROS-NLRP3 inflammatory signaling pathway, suggesting a likely mechanism for irisin-induced therapeutic effect in ischemic stroke. PMID: 28961497
- These data indicate that increased irisin levels may have protective roles in liver cancer cells through partial activation of the PI3K/AKT pathway, which may facilitate liver cancer progression and decrease the sensitivity to chemotherapy. PMID: 28867187
- Decreased serum irisin levels are related to emphysema in patients with COPD and involved in epithelial apoptosis, resulting in emphysema. PMID: 28424548
- Irisin levels are lower in MI and CAD implying that their production may depend on myocardial blood supply. PMID: 28732565
- findings suggest that irisin plays an important role in metabolic disorders and may be affected by physiopathological status. PMID: 28732566
- The FNDC5 rs3480 variant is associated with protection from clinically significant fibrosis in patients with NAFLD, while irisin expression is correlated with the severity of NAFLD and may be involved in extracellular matrix deposition. These data suggest that irisin is involved in regulation of hepatic fibrogenesis. PMID: 28472477
- The median irisin levels were determined higher in T1DM group compared to the control one. PMID: 28222023
- The modulation of body composition and muscle strength induced by 16-week of resistance training in older women with and without obesity is not associated with changes in circulating Irisin levels. PMID: 28244561
- serum irisin levels were correlated with anthropometric and metabolic markers of obesity and type 2 diabetes mellitus . PMID: 27220658
- Plasma irisin modestly increases during moderate and high-intensity afternoon exercise in obese females. PMID: 28125733
- correlation between irisin and adiposity related factors suggests that that in the case of this clinical model, irisin is regulated by adiposity and not by GH PMID: 27472279
- Collectively, our study identified serum irisin as a predictive biomarker for 1-year all-cause mortality in acute heart failure patients though large multicenter studies are highly needed. PMID: 28595171
- T2DM and diabetic nephropathy are associated with decreased levels of irisin. FNDC5 rs16835198 TT genotype associates with decreased risk of T2DM in Egyptians with no effect on renal complications. Also, G allele has insulin desensitizing action with no association with circulating irisin levels. PMID: 28479383
- irisin might serve as a possible signal for linking body fat/muscle mass with the hypothalamic center governing reproductive function PMID: 27692156
- Results indicate that cytokines might predict irisin concentration in mothers and their offspring. PMID: 27828992
顯示更多
收起更多
-
亞細胞定位:Cell membrane; Single-pass type I membrane protein. Peroxisome membrane; Single-pass type I membrane protein.; [Irisin]: Secreted.
-
組織特異性:Widely expressed, with highest levels in heart. Very low expression, if any, in colon, pancreas and spleen.
-
數據庫鏈接:
Most popular with customers
-
-
YWHAB Recombinant Monoclonal Antibody
Applications: ELISA, WB, IHC, IF, FC
Species Reactivity: Human, Mouse, Rat
-
Phospho-YAP1 (S127) Recombinant Monoclonal Antibody
Applications: ELISA, WB, IHC
Species Reactivity: Human
-
-
-
-
-















