FLAD1 Antibody
-
中文名稱:FLAD1兔多克隆抗體
-
貨號:CSB-PA854116LA01HU
-
規格:¥440
-
圖片:
-
Western blot
All lanes: FLAD1 antibody at 4µg/ml
Lane 1: K562 whole cell lysate
Lane 2: HepG2 whole cell lysate
Lane 3: MDA-MB-231 whole cell lysate
Lane 4: Hela whole cell lysate
Secondary
Goat polyclonal to rabbit IgG at 1/10000 dilution
Predicted band size: 66, 55, 50, 33, 37 kDa
Observed band size: 66 kDa -
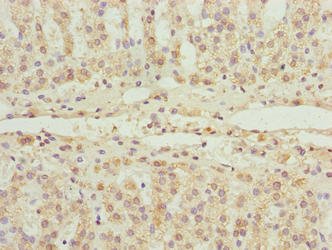
Immunohistochemistry of paraffin-embedded human colon cancer using CSB-PA854116LA01HU at dilution of 1:100
-
Immunohistochemistry of paraffin-embedded human adrenal gland tissue using CSB-PA854116LA01HU at dilution of 1:100
-
-
其他:
產品詳情
-
產品名稱:Rabbit anti-Homo sapiens (Human) FLAD1 Polyclonal antibody
-
Uniprot No.:
-
基因名:FLAD1
-
別名:FLAD1 antibody; PP591FAD synthase antibody; EC 2.7.7.2 antibody; FAD pyrophosphorylase antibody; FMN adenylyltransferase antibody; Flavin adenine dinucleotide synthase) [Includes: Molybdenum cofactor biosynthesis protein-like region; FAD synthase region] antibody
-
宿主:Rabbit
-
反應種屬:Human
-
免疫原:Recombinant Human FAD synthase protein (1-490AA)
-
免疫原種屬:Homo sapiens (Human)
-
標記方式:Non-conjugated
本頁面中的產品,FLAD1 Antibody (CSB-PA854116LA01HU),的標記方式是Non-conjugated。對于FLAD1 Antibody,我們還提供其他標記。見下表:
-
克隆類型:Polyclonal
-
抗體亞型:IgG
-
純化方式:>95%, Protein G purified
-
濃度:It differs from different batches. Please contact us to confirm it.
-
保存緩沖液:Preservative: 0.03% Proclin 300
Constituents: 50% Glycerol, 0.01M PBS, PH 7.4 -
產品提供形式:Liquid
-
應用范圍:ELISA, WB, IHC
-
推薦稀釋比:
Application Recommended Dilution WB 1:1000-1:5000 IHC 1:20-1:200 -
Protocols:
-
儲存條件:Upon receipt, store at -20°C or -80°C. Avoid repeated freeze.
-
貨期:Basically, we can dispatch the products out in 1-3 working days after receiving your orders. Delivery time maybe differs from different purchasing way or location, please kindly consult your local distributors for specific delivery time.
-
用途:For Research Use Only. Not for use in diagnostic or therapeutic procedures.
相關產品
靶點詳情
-
功能:Catalyzes the adenylation of flavin mononucleotide (FMN) to form flavin adenine dinucleotide (FAD) coenzyme.
-
基因功能參考文獻:
- Frameshift mutation in the FADS gene is Associated with Multiple Acyl-CoA Dehydrogenase and Combined Respiratory-Chain Deficiency. PMID: 27259049
- Our data show that a reduction in electron transport proteins, namely FAD synthetase, RFK, CYC1, and SDHB, is seen in patients with ALS. PMID: 19240958
-
相關疾病:Lipid storage myopathy due to flavin adenine dinucleotide synthetase deficiency (LSMFLAD)
-
亞細胞定位:[Isoform 1]: Mitochondrion matrix.; [Isoform 2]: Cytoplasm.
-
蛋白家族:MoaB/Mog family; PAPS reductase family, FAD1 subfamily
-
數據庫鏈接:
Most popular with customers
-
-
YWHAB Recombinant Monoclonal Antibody
Applications: ELISA, WB, IHC, IF, FC
Species Reactivity: Human, Mouse, Rat
-
Phospho-YAP1 (S127) Recombinant Monoclonal Antibody
Applications: ELISA, WB, IHC
Species Reactivity: Human
-
-
-
-
-















