FKBP8 Antibody
-
中文名稱:FKBP8兔多克隆抗體
-
貨號:CSB-PA990771
-
規格:¥1100
-
圖片:
-
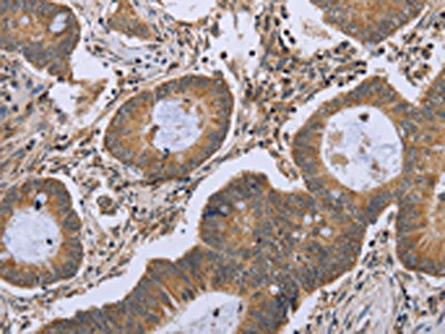
The image on the left is immunohistochemistry of paraffin-embedded Human colon cancer tissue using CSB-PA990771(FKBP8 Antibody) at dilution 1/50, on the right is treated with fusion protein. (Original magnification: ×200)
-
The image on the left is immunohistochemistry of paraffin-embedded Human cervical cancer tissue using CSB-PA990771(FKBP8 Antibody) at dilution 1/50, on the right is treated with fusion protein. (Original magnification: ×200)
-
Gel: 8%SDS-PAGE, Lysate: 40 μg, Lane: Mouse liver tissue, Primary antibody: CSB-PA990771(FKBP8 Antibody) at dilution 1/1150, Secondary antibody: Goat anti rabbit IgG at 1/8000 dilution, Exposure time: 1 minute
-
-
其他:
產品詳情
-
Uniprot No.:
-
基因名:FKBP8
-
別名:FKBP8; FKBP38; Peptidyl-prolyl cis-trans isomerase FKBP8; PPIase FKBP8; 38 kDa FK506-binding protein; 38 kDa FKBP; FKBP-38; hFKBP38; FK506-binding protein 8; FKBP-8; FKBPR38; Rotamase
-
宿主:Rabbit
-
反應種屬:Human,Mouse,Rat
-
免疫原:Fusion protein of Human FKBP8
-
免疫原種屬:Homo sapiens (Human)
-
標記方式:Non-conjugated
-
抗體亞型:IgG
-
純化方式:Antigen affinity purification
-
濃度:It differs from different batches. Please contact us to confirm it.
-
保存緩沖液:-20°C, pH7.4 PBS, 0.05% NaN3, 40% Glycerol
-
產品提供形式:Liquid
-
應用范圍:ELISA,WB,IHC
-
推薦稀釋比:
Application Recommended Dilution ELISA 1:2000-1:10000 WB 1:1000-1:5000 IHC 1:100-1:300 -
Protocols:
-
儲存條件:Upon receipt, store at -20°C or -80°C. Avoid repeated freeze.
-
貨期:Basically, we can dispatch the products out in 1-3 working days after receiving your orders. Delivery time maybe differs from different purchasing way or location, please kindly consult your local distributors for specific delivery time.
-
用途:For Research Use Only. Not for use in diagnostic or therapeutic procedures.
相關產品
靶點詳情
-
功能:Constitutively inactive PPiase, which becomes active when bound to calmodulin and calcium. Seems to act as a chaperone for BCL2, targets it to the mitochondria and modulates its phosphorylation state. The BCL2/FKBP8/calmodulin/calcium complex probably interferes with the binding of BCL2 to its targets. The active form of FKBP8 may therefore play a role in the regulation of apoptosis.
-
基因功能參考文獻:
- Cycling between the inactive GDP- and the active GTP-bound state modulates the backbone dynamics of a C-terminal truncated form, RhebDeltaCT, which is suggested to influence its interactions. We further investigated the interactions between RhebDeltaCT and the proposed Rheb-binding domain of the regulatory protein FKBP38. PMID: 29194576
- Regulation of CLC-1 chloride channel biosynthesis by FKBP8 and Hsp90beta as a molecular model for myotonia congenita has been described. PMID: 27580824
- Co-expression of FKBP8 with LC3A profoundly induces Parkin-independent mitophagy. Strikingly, even when acting as a mitophagy receptor, FKBP8 avoids degradation by escaping from mitochondria. In summary, this study identifies novel roles for FKBP8 and LC3A, which act together to induce mitophagy. PMID: 28381481
- FKBP8 binding to Hsp90 did not substantially influence its ATPase activity PMID: 28278223
- The information presented here provides important clues for understanding the catalytic activity of FKBP38, its regulation by the unique N-terminal extension, and the potential calcium- and calmodulin-mediated activation of FKBP38. PMID: 24145868
- Overexpression of permanently active S100P in Huh-7 cells inhibited the interaction of FKBP38 with Bcl-2, resulting in the suppression of Bcl-2 stability PMID: 24295050
- FK506 binding protein 8 peptidylprolyl isomerase activity manages a late stage of cystic fibrosis transmembrane conductance regulator (CFTR) folding and stability PMID: 22474283
- The derived structure model of the complex between Bcl-2 and the FKBP38 catalytic domain features both electrostatic and hydrophobic intermolecular contacts and provides a rationale for the regulation of the FKBP38/Bcl-2 interaction by Ca(2+). PMID: 22523079
- Data support a dual role for FKBP38 in regulating CFTR synthesis and post-translational folding. PMID: 22030396
- a dual mechanism for PA activation of mTORC1: PA displaces FKBP38 from mTOR and allosterically stimulates the catalytic activity of mTORC1. PMID: 21737445
- this charge-sensitive site in the FKBP domain participates in the regulation of FKBP38 function by enabling electrostatic interactions with ligand proteins and/or salt ions such as Ca(2+) PMID: 20140889
- novel insights into the structural arrangement of FKBP38/calmodulin complex PMID: 20707607
- FKBP38 is a key player in regulating the function of Bcl-2 by antagonizing caspase-dependent degradation through the direct interaction with the flexible loop domain of Bcl-2, which contains the caspase cleavage site PMID: 20139069
- Rheb GTPase controls apoptosis by regulating interaction of FKBP38 with Bcl-2 and Bcl-XL PMID: 20048149
- FKBP38 plays a role in TSC gene-dependent cell size regulation. PMID: 12894220
- Bcl-2 interacts with FKBP38 through the unstructured loop, and the interaction appears to regulate phosphorylation in the loop of Bcl-2 PMID: 15733859
- FKBP38 indirectly affects the subcellular distribution of calcineurin by interaction with typical calcineurin ligands, as exemplified by the anti-apoptotic protein Bcl-2. PMID: 15757646
- Molecular model of the FK506-binding domain of FKBP38. PMID: 16604427
- the complex consisting of NS5A, FKBP8, and Hsp90 plays an important role in HCV RNA replication PMID: 17024179
- Data suggest that the peptidyl prolyl cis/trans isomerase FKBP38 determines hypoxia-inducible transcription factor prolyl-4-hydroxylase PHD2 protein stability. PMID: 17353276
- FKBP38 is a co-chaperone of HERG and contributes via the Hsc70/Hsp90 chaperone system to the trafficking of wild type and mutant HERG potassium channels PMID: 17569659
- FKBP38 functions to anchor the 26S proteasome at the organellar membrane PMID: 17573772
- interaction between the catalytic FKBP38 domain and the N-terminal CaM domain activates FKBP38 and, as a consequence, also regulates Bcl-2. PMID: 17942410
- findings suggest that FKBP38 is an endogenous inhibitor of mTOR, whose inhibitory activity is antagonized by Rheb in response to growth factor stimulation and nutrient availability PMID: 17991864
- These results suggest that specific interaction of NS5A with FKBP8 in the cytoplasmic compartment plays a crucial role in the replication of HCV. PMID: 18216108
- FKBP38 is a bona fide effector of Rheb and the ability to interact with FKBP38 is important for Rheb as an activator of mTOR PMID: 18658153
- neither TCTP nor FKBP38 regulates mTORC1 signaling. PMID: 18676370
- FKBP38 plays only a very minor, if any, role in mTORC1 activation. PMID: 19222999
- Data indicate that PHD2 protein stability is regulated by a ubiquitin-independent proteasomal pathway involving FKBP38 as adaptor protein that mediates proteasomal interaction. PMID: 19546213
顯示更多
收起更多
-
亞細胞定位:Mitochondrion. Mitochondrion membrane; Single-pass membrane protein; Cytoplasmic side.; [Isoform 1]: Mitochondrion membrane; Single-pass membrane protein; Cytoplasmic side.; [Isoform 3]: Mitochondrion membrane; Single-pass membrane protein; Cytoplasmic side.
-
組織特異性:Widely expressed. Highest levels seen in the brain. Highly abundant in the retina.
-
數據庫鏈接:
Most popular with customers
-
-
YWHAB Recombinant Monoclonal Antibody
Applications: ELISA, WB, IHC, IF, FC
Species Reactivity: Human, Mouse, Rat
-
Phospho-YAP1 (S127) Recombinant Monoclonal Antibody
Applications: ELISA, WB, IHC
Species Reactivity: Human
-
-
-
-
-















