FGFR1OP2 Antibody
-
中文名稱:FGFR1OP2兔多克隆抗體
-
貨號:CSB-PA070949
-
規格:¥1100
-
圖片:
-
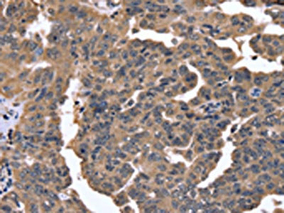
The image on the left is immunohistochemistry of paraffin-embedded Human liver cancer tissue using CSB-PA070949(FGFR1OP2 Antibody) at dilution 1/40, on the right is treated with fusion protein. (Original magnification: ×200)
-
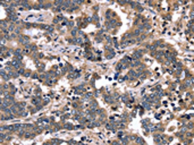
The image on the left is immunohistochemistry of paraffin-embedded Human ovarian cancer tissue using CSB-PA070949(FGFR1OP2 Antibody) at dilution 1/40, on the right is treated with fusion protein. (Original magnification: ×200)
-
-
其他:
產品詳情
-
Uniprot No.:
-
基因名:FGFR1OP2
-
別名:DKFZp564O1863 antibody; FGFR1 oncogene partner 2 antibody; FGFR1OP2 antibody; FGOP2_HUMAN antibody; Fibroblast growth factor receptor 1 oncogene partner 2 antibody; HSPC123 antibody; HSPC123 like antibody; WIT3.0 antibody; Wound inducible transcript 3.0 antibody
-
宿主:Rabbit
-
反應種屬:Human,Mouse,Rat
-
免疫原:Fusion protein of Human FGFR1OP2
-
免疫原種屬:Homo sapiens (Human)
-
標記方式:Non-conjugated
-
抗體亞型:IgG
-
純化方式:Antigen affinity purification
-
濃度:It differs from different batches. Please contact us to confirm it.
-
保存緩沖液:-20°C, pH7.4 PBS, 0.05% NaN3, 40% Glycerol
-
產品提供形式:Liquid
-
應用范圍:ELISA,IHC
-
推薦稀釋比:
Application Recommended Dilution ELISA 1:2000-1:5000 IHC 1:50-1:200 -
Protocols:
-
儲存條件:Upon receipt, store at -20°C or -80°C. Avoid repeated freeze.
-
貨期:Basically, we can dispatch the products out in 1-3 working days after receiving your orders. Delivery time maybe differs from different purchasing way or location, please kindly consult your local distributors for specific delivery time.
-
用途:For Research Use Only. Not for use in diagnostic or therapeutic procedures.
相關產品
靶點詳情
-
功能:May be involved in wound healing pathway.
-
基因功能參考文獻:
- The patient with minor allele of ss518063493 may be associated with excessive atrophy of edentulous mandible whereas the patients with that of rs840869 are not associated in Korean population. PMID: 22880093
- patients with the minor allele of rs840869 or rs859024 of FGFR1OP2 were associated with excessive atrophy of edentulous mandible PMID: 21283824
- FGFR1OP2/wit3.0 may regulate cell motility and stimulate wound closure. PMID: 19959814
- FGFR1OP2 is a new FGFR1 fusion gene involving a chromosomes 12X8 translocation in a 8p11 myeloproliferative syndrome patient. PMID: 15034873
-
相關疾病:A chromosomal aberration involving FGFR1OP2 may be a cause of stem cell myeloproliferative disorder (MPD). Insertion ins(12;8)(p11;p11p22) with FGFR1. MPD is characterized by myeloid hyperplasia, eosinophilia and T-cell or B-cell lymphoblastic lymphoma. In general it progresses to acute myeloid leukemia. The fusion protein FGFR1OP2-FGFR1 may exhibit constitutive kinase activity and be responsible for the transforming activity.
-
亞細胞定位:Cytoplasm.
-
蛋白家族:SIKE family
-
組織特異性:Expressed in bone marrow, spleen and thymus.
-
數據庫鏈接:
Most popular with customers
-
YWHAB Recombinant Monoclonal Antibody
Applications: ELISA, WB, IHC, IF, FC
Species Reactivity: Human, Mouse, Rat
-
Phospho-YAP1 (S127) Recombinant Monoclonal Antibody
Applications: ELISA, WB, IHC
Species Reactivity: Human
-
-
-
-
-
-















