FGF6 Antibody
-
中文名稱:FGF6兔多克隆抗體
-
貨號:CSB-PA008633ESR2HU
-
規格:¥440
-
圖片:
-
Western blot
All lanes: FGF6 antibody at 10μg/ml + HepG2 whole cell lysate
Secondary
Goat polyclonal to rabbit IgG at 1/10000 dilution
Predicted band size: 23 kDa
Observed band size: 23 kDa -
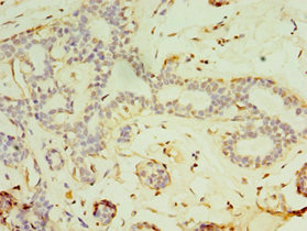
Immunohistochemistry of paraffin-embedded human breast cancer using CSB-PA008633ESR2HU at dilution of 1:100
-
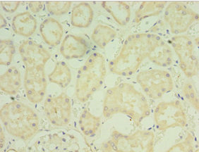
Immunohistochemistry of paraffin-embedded human kidney tissue using CSB-PA008633ESR2HU at dilution of 1:100
-
Immunohistochemistry of paraffin-embedded human adrenal gland tissue using CSB-PA008633ESR2HU at dilution of 1:100
-
-
其他:
產品詳情
-
產品名稱:Rabbit anti-Homo sapiens (Human) FGF6 Polyclonal antibody
-
Uniprot No.:
-
基因名:
-
別名:FGF 6 antibody; FGF-6 antibody; Fgf6 antibody; FGF6_HUMAN antibody; Fibroblast growth factor 6 antibody; Fibroblast growth factor 6 precursor antibody; HBGF 6 antibody; HBGF-6 antibody; HBGF6 antibody; Heparin secretory-transforming protein 2 antibody; Heparin-binding growth factor 6 antibody; HST 2 antibody; HST-2 antibody; HST2 antibody; HSTF-2 antibody
-
宿主:Rabbit
-
反應種屬:Human
-
免疫原:Recombinant Human Fibroblast growth factor 6 protein (38-208AA)
-
免疫原種屬:Homo sapiens (Human)
-
標記方式:Non-conjugated
-
克隆類型:Polyclonal
-
抗體亞型:IgG
-
純化方式:Antigen Affinity Purified
-
濃度:It differs from different batches. Please contact us to confirm it.
-
保存緩沖液:PBS with 0.02% sodium azide, 50% glycerol, pH7.3.
-
產品提供形式:Liquid
-
應用范圍:ELISA, WB, IHC
-
推薦稀釋比:
Application Recommended Dilution WB 1:500-1:2000 IHC 1:20-1:200 -
Protocols:
-
儲存條件:Upon receipt, store at -20°C or -80°C. Avoid repeated freeze.
-
貨期:Basically, we can dispatch the products out in 1-3 working days after receiving your orders. Delivery time maybe differs from different purchasing way or location, please kindly consult your local distributors for specific delivery time.
-
用途:For Research Use Only. Not for use in diagnostic or therapeutic procedures.
相關產品
靶點詳情
-
功能:Plays an important role in the regulation of cell proliferation, cell differentiation, angiogenesis and myogenesis, and is required for normal muscle regeneration.
-
基因功能參考文獻:
- These data demonstrate that FGF-6 may be considered a regulator of bone metabolism as shown by its activity on both osteoblasts and osteoclasts. PMID: 20458746
- FGF6 exhibits antitumor activity in vitro and correlates with expression of FGF receptors in medulloblastoma cells PMID: 11801566
-
亞細胞定位:Secreted, extracellular space.
-
蛋白家族:Heparin-binding growth factors family
-
組織特異性:Leukemia cell lines with platelet/ megakaryocytic differentiation potential.
-
數據庫鏈接:
Most popular with customers
-
YWHAB Recombinant Monoclonal Antibody
Applications: ELISA, WB, IHC, IF, FC
Species Reactivity: Human, Mouse, Rat
-
Phospho-YAP1 (S127) Recombinant Monoclonal Antibody
Applications: ELISA, WB, IHC
Species Reactivity: Human
-
-
-
-
-
-
VDAC1 Recombinant Monoclonal Antibody
Applications: ELISA, WB, IHC
Species Reactivity: Human, Mouse, Rat















