FGF18 Antibody
-
中文名稱:FGF18兔多克隆抗體
-
貨號:CSB-PA288891
-
規格:¥1100
-
圖片:
-
The image on the left is immunohistochemistry of paraffin-embedded Human colon cancer tissue using CSB-PA288891(FGF18 Antibody) at dilution 1/40, on the right is treated with fusion protein. (Original magnification: ×200)
-
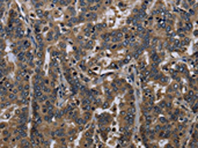
The image on the left is immunohistochemistry of paraffin-embedded Human liver cancer tissue using CSB-PA288891(FGF18 Antibody) at dilution 1/40, on the right is treated with fusion protein. (Original magnification: ×200)
-
-
其他:
產品詳情
-
Uniprot No.:
-
基因名:
-
別名:FGF 18 antibody; FGF-18 antibody; Fgf18 antibody; FGF18_HUMAN antibody; FGFI antibody; Fibroblast growth factor 18 antibody; zFGF5 antibody
-
宿主:Rabbit
-
反應種屬:Human,Mouse,Rat
-
免疫原:Fusion protein of Human FGF18
-
免疫原種屬:Homo sapiens (Human)
-
標記方式:Non-conjugated
-
抗體亞型:IgG
-
純化方式:Antigen affinity purification
-
濃度:It differs from different batches. Please contact us to confirm it.
-
保存緩沖液:-20°C, pH7.4 PBS, 0.05% NaN3, 40% Glycerol
-
產品提供形式:Liquid
-
應用范圍:ELISA,IHC
-
推薦稀釋比:
Application Recommended Dilution ELISA 1:2000-1:5000 IHC 1:50-1:200 -
Protocols:
-
儲存條件:Upon receipt, store at -20°C or -80°C. Avoid repeated freeze.
-
貨期:Basically, we can dispatch the products out in 1-3 working days after receiving your orders. Delivery time maybe differs from different purchasing way or location, please kindly consult your local distributors for specific delivery time.
-
用途:For Research Use Only. Not for use in diagnostic or therapeutic procedures.
相關產品
靶點詳情
-
功能:Plays an important role in the regulation of cell proliferation, cell differentiation and cell migration. Required for normal ossification and bone development. Stimulates hepatic and intestinal proliferation.
-
基因功能參考文獻:
- FGF18 played an important role in the growth and metastasis of breast cancer. PMID: 29901199
- we genotyped rs9313548 and performed case-control-based association analysis with developmental dyslexia in a Chinese population. Our results were in consistent with previous studies as we did not observe significant association of rs9313548 with developmental dyslexia. PMID: 29240020
- the suppressive effect of miR-139 on FGF18 and in turn on proliferation, apoptosis, invasion, migration and tumor-induced angiogenesis of HCC cells was investigated. FGF18 was suggested as a prognostic biomarker and therapeutic target in HCC patients and miR-139 may be a promising strategy used in HCC treatment via the suppression of FGF18 PMID: 28765917
- the results suggest that FGF18 may be involved in MC3T3E1 cell proliferation and osteoblastic differentiation. PMID: 28765932
- significantly increased in endometrioid adenocarinoma PMID: 27267714
- FGF9 and FGF18 increased the migratory capacities of human lung fibroblasts, and FGF9 actively modulated matrix metalloproteinase activity in idiopathic pulmonary fibrosis. PMID: 26773067
- FGF18 serves an essential role in the growth and migration of non-small cell lung cancer cells by regulating the ERK, p38 signaling pathways and MMP26 protein levels. PMID: 27959447
- Data suggest that the combination of FIGO stage, ovarian carcinoma type, and/or fibroblast growth factor 18 (FGF18) score could predict poor prognosis among ovarian carcinoma patients. PMID: 26427667
- The position of sulfate ions bound to FGF18 provides insight into the putative HS-binding site and allows comparison with the prototypical FGFs, FGF1, and FGF2. PMID: 24668462
- role for FGF-18 in chondrogenic and osteogenic events which drive discal development and ossification of the vertebral bodies. PMID: 23397188
- Fgf18 as a molecule that protects articular cartilage by gene expression profiling, and the anticatabolic effects may at least partially be mediated by the Timp1 expression. PMID: 24577103
- Tumors from ovarian cancer patients had increased FGF18 expression levels with microvessel density and M2 macrophage infiltration. PMID: 24018557
- FGF8, FGF17, and FGF18 are involved in autocrine and paracrine signaling in HCC and enhance the survival of tumor cells under stress conditions, malignant behavior, and neoangiogenesis. PMID: 21319186
- There was an association between gene FGF18 rs4043716 and nonsyndromic cleft lip with or without palate in Chinese population. PMID: 19727229
- FGF2 and -18 bind to discrete structures on the heparan sulfate chains attached to chondrocyte-derived perlecan which modulate the growth factor activities PMID: 20507176
- fibroblast growth factor 18 seems to play a role in maintenance of chondrocyte properties, although its expression was rather high in dedifferentiated chondrocytes. PMID: 19909293
- analysis of FGF18 and FGFR5 expression in primary endothelial cells and vascular smooth muscle cells PMID: 16019430
- FGF18 is wildly expressed in the cardiovascular tissue. It enhanced cell migration in response to mechanical damage. we detected FGF18 expression in liver vascular and liver sinusoidal endothelial cells (LSECs), but not in hepatic parenchymal cells. PMID: 16756958
- FGF18 may play a prominent role in chondrogenesis and osteogenesis during skeletal development and growth (review) PMID: 17128416
- FGF3, FGF7, FGF10, FGF18, and FGFR1 may have roles in nonsyndromic cleft lip and palate PMID: 17360555
- FGF18 is almost generally over-expressed in colon cancer and exerts pro-tumorigenic effects both in the epithelial and the stromal compartments by stimulating growth and survival of tumour cells, migration of fibroblasts and neovascularization PMID: 17890768
顯示更多
收起更多
-
亞細胞定位:Secreted.
-
蛋白家族:Heparin-binding growth factors family
-
數據庫鏈接:
Most popular with customers
-
-
YWHAB Recombinant Monoclonal Antibody
Applications: ELISA, WB, IHC, IF, FC
Species Reactivity: Human, Mouse, Rat
-
Phospho-YAP1 (S127) Recombinant Monoclonal Antibody
Applications: ELISA, WB, IHC
Species Reactivity: Human
-
-
-
-
-















