FGF16 Antibody
-
中文名稱:FGF16兔多克隆抗體
-
貨號:CSB-PA299070
-
規格:¥1100
-
圖片:
-
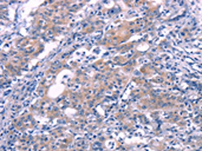
The image on the left is immunohistochemistry of paraffin-embedded Human gastic cancer tissue using CSB-PA299070(FGF16 Antibody) at dilution 1/30, on the right is treated with synthetic peptide. (Original magnification: ×200)
-
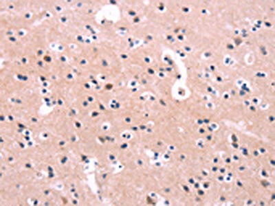
The image on the left is immunohistochemistry of paraffin-embedded Human brain tissue using CSB-PA299070(FGF16 Antibody) at dilution 1/30, on the right is treated with synthetic peptide. (Original magnification: ×200)
-
-
其他:
產品詳情
-
Uniprot No.:
-
基因名:
-
別名:FGF 16 antibody; FGF-16 antibody; Fgf16 antibody; FGF16_HUMAN antibody; Fibroblast growth factor 16 antibody
-
宿主:Rabbit
-
反應種屬:Human,Mouse,Rat
-
免疫原:Synthetic peptide of Human FGF16
-
免疫原種屬:Homo sapiens (Human)
-
標記方式:Non-conjugated
-
抗體亞型:IgG
-
純化方式:Antigen affinity purification
-
濃度:It differs from different batches. Please contact us to confirm it.
-
保存緩沖液:-20°C, pH7.4 PBS, 0.05% NaN3, 40% Glycerol
-
產品提供形式:Liquid
-
應用范圍:ELISA,IHC
-
推薦稀釋比:
Application Recommended Dilution ELISA 1:1000-1:2000 IHC 1:25-1:100 -
Protocols:
-
儲存條件:Upon receipt, store at -20°C or -80°C. Avoid repeated freeze.
-
貨期:Basically, we can dispatch the products out in 1-3 working days after receiving your orders. Delivery time maybe differs from different purchasing way or location, please kindly consult your local distributors for specific delivery time.
-
用途:For Research Use Only. Not for use in diagnostic or therapeutic procedures.
相關產品
靶點詳情
-
功能:Plays an important role in the regulation of embryonic development, cell proliferation and cell differentiation, and is required for normal cardiomyocyte proliferation and heart development.
-
基因功能參考文獻:
- Experiments demonstrated FGF16 could promote proliferation of NCL-H460 cells by activating Akt, Erk1/2, and p38 MAPK signaling, whereas JNK had no significant effect. PMID: 28409700
- Identification of an FGF16 mutation in metacarpal 4-5 fusion. PMID: 24878828
- impaired FGF16 function may also be responsible for connective tissue symptoms in MF4 patients. PMID: 24706454
- Fgf-16 gene is a target for NF-kappaB activation in the postnatal heart. PMID: 20097674
- HUVEC clearly demonstrated chemotaxis towards FGF16. FGF16 enhanced cell migration in response to mechanical damage & failed to induce endothelial cell proliferation or sprouting in a three-dimensional in vitro angiogenesis assay. PMID: 16756958
顯示更多
收起更多
-
相關疾?。?/div>Metacarpal 4-5 fusion (MF4)亞細胞定位:Secreted.蛋白家族:Heparin-binding growth factors family數據庫鏈接:
Most popular with customers
-
-
YWHAB Recombinant Monoclonal Antibody
Applications: ELISA, WB, IHC, IF, FC
Species Reactivity: Human, Mouse, Rat
-
Phospho-YAP1 (S127) Recombinant Monoclonal Antibody
Applications: ELISA, WB, IHC
Species Reactivity: Human
-
-
-
-
-















