FEZF1 Antibody
-
中文名稱:FEZF1兔多克隆抗體
-
貨號:CSB-PA008602LA01HU
-
規格:¥440
-
圖片:
-
Western Blot
Positive WB detected in: U251 whole cell lysate
All lanes: FEZF1 antibody at 6µg/ml
Secondary
Goat polyclonal to rabbit IgG at 1/50000 dilution
Predicted band size: 53, 47, 52 kDa
Observed band size: 53 kDa -
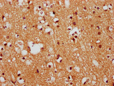
IHC image of CSB-PA008602LA01HU diluted at 1:400 and staining in paraffin-embedded human brain tissue performed on a Leica BondTM system. After dewaxing and hydration, antigen retrieval was mediated by high pressure in a citrate buffer (pH 6.0). Section was blocked with 10% normal goat serum 30min at RT. Then primary antibody (1% BSA) was incubated at 4°C overnight. The primary is detected by a biotinylated secondary antibody and visualized using an HRP conjugated SP system.
-
-
其他:
產品詳情
-
產品名稱:Rabbit anti-Homo sapiens (Human) FEZF1 Polyclonal antibody
-
Uniprot No.:
-
基因名:FEZF1
-
別名:FEZ antibody; FEZ family zinc finger 1 antibody; Fez family zinc finger protein 1 antibody; fez like antibody; fezf1 antibody; FEZF1_HUMAN antibody; Zinc finger protein 312 like antibody; Zinc finger protein 312B antibody
-
宿主:Rabbit
-
反應種屬:Human
-
免疫原:Recombinant Human Fez family zinc finger protein 1 protein (1-115AA)
-
免疫原種屬:Homo sapiens (Human)
-
標記方式:Non-conjugated
本頁面中的產品,FEZF1 Antibody (CSB-PA008602LA01HU),的標記方式是Non-conjugated。對于FEZF1 Antibody,我們還提供其他標記。見下表:
-
克隆類型:Polyclonal
-
抗體亞型:IgG
-
純化方式:>95%, Protein G purified
-
濃度:It differs from different batches. Please contact us to confirm it.
-
保存緩沖液:Preservative: 0.03% Proclin 300
Constituents: 50% Glycerol, 0.01M PBS, pH 7.4 -
產品提供形式:Liquid
-
應用范圍:ELISA, WB, IHC
-
推薦稀釋比:
Application Recommended Dilution WB 1:500-1:5000 IHC 1:200-1:500 -
Protocols:
-
儲存條件:Upon receipt, store at -20°C or -80°C. Avoid repeated freeze.
-
貨期:Basically, we can dispatch the products out in 1-3 working days after receiving your orders. Delivery time maybe differs from different purchasing way or location, please kindly consult your local distributors for specific delivery time.
-
用途:For Research Use Only. Not for use in diagnostic or therapeutic procedures.
相關產品
靶點詳情
-
功能:Transcription repressor. Involved in the axonal projection and proper termination of olfactory sensory neurons (OSN). Plays a role in rostro-caudal patterning of the diencephalon and in prethalamic formation. Expression is required in OSN to cell-autonomously regulate OSN axon projections. Regulates non-cell-autonomously the layer formation of the olfactory bulb development and the interneurons. May be required for correct rostral migration of the interneuron progenitors.
-
基因功能參考文獻:
- FEZF1 was significantly increased in glioma tissues. Over-expressed FIZF1 was associated with reduced survival. PMID: 30030762
- loss of FEZF1 impairs the pluripotency exit of hESCs during neural specification, which partially explains the neural induction defect caused by FEZF1 deletion. PMID: 29318501
- FEZF1plays a novel role in regulating the malignant behavior of glioma stem cells as a part of Linc00152/miR-103a-3p/FEZF1/CDC25A axis.FEZF1 up-regulated the promoter activities and bound to the promoters of CDC25A in glioma stem cells. PMID: 28651608
- High expression of long noncoding RNA FEZF1 was significantly associated with later stage and higher grade of gastric cancer. PMID: 29239821
- SEZ6L, HISPPD1, FEZF1, SAMD11 gene variants may be associated with autism spectrum disorder. PMID: 26204995
- Fezf1 and Fezf2 accomplish both independent and redundant functions across diverse tissue and cell types. [Review] PMID: 24913420
- Mutations in FEZF1 cause Kallmann syndrome. PMID: 25192046
- the aberrant expression of ZNF312b promotes gastric tumorigenesis through epigenetic modification of its promoter region and provides a molecular mechanism for ZNF312b expression to contribute to the progression of gastric cancer. PMID: 21170990
- Study is the first to report that ZNF312b, a novel transcription factor, was associated with tumorigenicity of gastric cancer. PMID: 19318583
- Observational study of gene-disease association. (HuGE Navigator) PMID: 19401682
顯示更多
收起更多
-
相關疾病:Hypogonadotropic hypogonadism 22 with or without anosmia (HH22)
-
亞細胞定位:Nucleus.
-
蛋白家族:Krueppel C2H2-type zinc-finger protein family
-
組織特異性:Expressed in brain. Little or no expression in other tissues. Overexpressed specifically in gastric cancers. A 2- to 20-fold increase is found in over 50% of gastric cancer tissues.
-
數據庫鏈接:
Most popular with customers
-
-
YWHAB Recombinant Monoclonal Antibody
Applications: ELISA, WB, IHC, IF, FC
Species Reactivity: Human, Mouse, Rat
-
Phospho-YAP1 (S127) Recombinant Monoclonal Antibody
Applications: ELISA, WB, IHC
Species Reactivity: Human
-
-
-
-
-















