FES Antibody
-
中文名稱:FES兔多克隆抗體
-
貨號:CSB-PA829714
-
規格:¥1100
-
圖片:
-
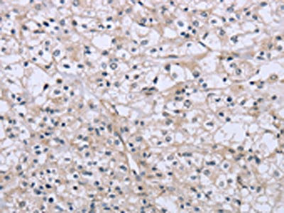
The image on the left is immunohistochemistry of paraffin-embedded Human thyroid cancer tissue using CSB-PA829714(FES Antibody) at dilution 1/25, on the right is treated with fusion protein. (Original magnification: ×200)
-
The image on the left is immunohistochemistry of paraffin-embedded Human prostate cancer tissue using CSB-PA829714(FES Antibody) at dilution 1/25, on the right is treated with fusion protein. (Original magnification: ×200)
-
-
其他:
產品詳情
-
Uniprot No.:
-
基因名:FES
-
別名:c-fes/fps protein antibody; cFES antibody; Feline sarcoma (Snyder Theilen) viral (v fes)/Fujinami avian sarcoma (PRCII) viral (v fps) oncogene homolog antibody; feline sarcoma (Snyder-Theilen) viral (v-fes)/Fujinami antibody; Feline sarcoma oncogene antibody; Feline sarcoma/Fujinami avian sarcoma oncogene homolog antibody; fes antibody; FES proto oncogene, tyrosine kinase antibody; FES_HUMAN antibody; FPS antibody; Oncogene FES antibody; Oncogene FES feline sarcoma virus antibody; P93c fes antibody; Proto oncogene tyrosine protein kinase Fes/Fps antibody; Proto-oncogene c-Fes antibody; Proto-oncogene c-Fps antibody; proto-oncogene tyrosine-protein kinase Fes/Fps antibody; Tyrosine-protein kinase Fes/Fps antibody
-
宿主:Rabbit
-
反應種屬:Human,Mouse
-
免疫原:Fusion protein of Human FES
-
免疫原種屬:Homo sapiens (Human)
-
標記方式:Non-conjugated
-
抗體亞型:IgG
-
純化方式:Antigen affinity purification
-
濃度:It differs from different batches. Please contact us to confirm it.
-
保存緩沖液:-20°C, pH7.4 PBS, 0.05% NaN3, 40% Glycerol
-
產品提供形式:Liquid
-
應用范圍:ELISA,IHC
-
推薦稀釋比:
Application Recommended Dilution ELISA 1:1000-1:2000 IHC 1:25-1:100 -
Protocols:
-
儲存條件:Upon receipt, store at -20°C or -80°C. Avoid repeated freeze.
-
貨期:Basically, we can dispatch the products out in 1-3 working days after receiving your orders. Delivery time maybe differs from different purchasing way or location, please kindly consult your local distributors for specific delivery time.
-
用途:For Research Use Only. Not for use in diagnostic or therapeutic procedures.
相關產品
靶點詳情
-
功能:Tyrosine-protein kinase that acts downstream of cell surface receptors and plays a role in the regulation of the actin cytoskeleton, microtubule assembly, cell attachment and cell spreading. Plays a role in FCER1 (high affinity immunoglobulin epsilon receptor)-mediated signaling in mast cells. Acts down-stream of the activated FCER1 receptor and the mast/stem cell growth factor receptor KIT. Plays a role in the regulation of mast cell degranulation. Plays a role in the regulation of cell differentiation and promotes neurite outgrowth in response to NGF signaling. Plays a role in cell scattering and cell migration in response to HGF-induced activation of EZR. Phosphorylates BCR and down-regulates BCR kinase activity. Phosphorylates HCLS1/HS1, PECAM1, STAT3 and TRIM28.
-
基因功能參考文獻:
- analysis of the JAK-Fes-phospholipase D signaling pathway that is enhanced in highly proliferative breast cancer cells PMID: 23404507
- c-fes gene expression was found in myeloid leukemias, whereas low or no expression in lymphocytic leukemias. PMID: 20030920
- FES kinase is a mediator of wild-type KIT signalling implicated in cell migration. PMID: 20117079
- Fes naturally adopts an inactive conformation in vivo, and maintenance of the inactive structure requires the coiled-coil and SH2 domains. PMID: 12653561
- Fes transduces inductive signals for terminal macrophage and granulocyte differentiation, and this biological activity is mediated through the activation of lineage-specific transcription factors. PMID: 15003822
- FPS mediates enhanced sensitization to VEGF and PDGF signaling in ECs; this hypersensitization contributes to excessive angiogenic signaling and underlies the observed hypervascular phenotype of human myristoylated FPS expressed in transgenic mice. PMID: 15099290
- c-Fes is a regulator of the tubulin cytoskeleton and may contribute to Fes-induced morphological changes in myeloid hematopoietic and neuronal cells PMID: 15485904
- NMR assignment of the SH2 domain PMID: 15630569
- PEDF downregulates Fyn through Fes, resulting in inhibition of FGF-2-induced capillary morphogenesis of endothelial cells PMID: 15713745
- NMR analysis of Src homology 2 domain from the human feline sarcoma oncogene Fes PMID: 15929003
- FES has a growth suppressive function in colorectal neoplasms. PMID: 16455651
- A novel Fes-KAP-1 interaction is reported, suggesting a dual role for KAP-1 as both a Fes activator and downstream effector. PMID: 16792528
- These novel results indicate the involvement of Fes in VEGF-A-induced cellular responses by cultured endothelial cells. PMID: 17521372
- shows a major function of FES downstream of activated KIT receptor and thereby points to FES as a novel target in KIT-related pathologi PMID: 17595334
- Ezrin/Fes interaction at cell-cell contacts plays an essential role in hepatocyte growth factor-induced cell scattering and implicates Fes in the cross-talk between cell-cell and cell-matrix adhesion. PMID: 18046454
- The SH2 and catalytic domains of active Fes and Abl pro-oncogenic kinases form integrated structures essential for effective tyrosine kinase signaling. PMID: 18775312
- study shows Fes phosphorylates C-terminal tyrosine residues in HS1 implicated in actin stabilization; coordinated action of F-BAR & SH2 domains of Fes allow for coupling to FcepsilonRI signaling & potential regulation of actin reorganization in mast cells PMID: 19001085
- Study of promoter methylation as important mechanism responsible for downregulation of FES gene expression in colorectal cancer cells. Treatment with DNA methyltransferase inhibitor resulted in expression of functional FES transcripts in CRC cell lines. PMID: 19051325
- Downregulation of the c-Fes protein-tyrosine kinase inhibits the proliferation of renal carcinoma. PMID: 19082481
- c-Fes oligomerization is independent of activation; data suggest that conformational changes, rather than oligomerization, govern c-Fes kinase activation and downstream signaling in vivo. PMID: 19382747
- FGF-2 activates Fes via the second coiled-coil domain, leading to lamellipodium formation and chemotaxis by endothelial cells PMID: 19885553
顯示更多
收起更多
-
相關疾病:Has been shown to act as proto-oncogene in some types of cancer, possibly due to abnormal activation of the kinase. Has been shown to act as tumor suppressor in other types of cancer. Expressed and present as activated kinase in a subset of acute myeloid leukemia patients; promotes survival of leukemia cells (PubMed:20111072). Expression is absent in K562 leukemia cells; ectopic expression of FSP/FES restores myeloid differentiation (PubMed:2656706). May function as tumor suppressor in colorectal cancer; expression is reduced or absent in samples from some colon cancer patients (PubMed:16455651). Ectopic expression of FSP/FES suppresses anchorage-independent growth in colon cancer cell lines (PubMed:16455651). Up-regulated in prostate cancer, and might be a predictor of recurrence after radical surgery (PubMed:21563194). May promote growth of renal carcinoma cells (PubMed:19082481).
-
亞細胞定位:Cytoplasm, cytosol. Cytoplasm, cytoskeleton. Cell membrane; Peripheral membrane protein; Cytoplasmic side. Cytoplasmic vesicle. Golgi apparatus. Cell junction, focal adhesion. Note=Distributed throughout the cytosol when the kinase is not activated. Association with microtubules requires activation of the kinase activity. Shuttles between focal adhesions and cell-cell contacts in epithelial cells. Recruited to the lateral cell membrane in polarized epithelial cells by interaction with phosphorylated EZR. Detected at tubular membrane structures in the cytoplasm and at the cell periphery.
-
蛋白家族:Protein kinase superfamily, Tyr protein kinase family, Fes/fps subfamily
-
組織特異性:Widely expressed. Detected in adult colon epithelium (at protein level). Expressed in melanocytes (at protein level).
-
數據庫鏈接:
Most popular with customers
-
-
YWHAB Recombinant Monoclonal Antibody
Applications: ELISA, WB, IHC, IF, FC
Species Reactivity: Human, Mouse, Rat
-
Phospho-YAP1 (S127) Recombinant Monoclonal Antibody
Applications: ELISA, WB, IHC
Species Reactivity: Human
-
-
-
-
-















