FERMT2 Antibody
-
中文名稱:FERMT2兔多克隆抗體
-
貨號:CSB-PA853382LA01HU
-
規格:¥440
-
圖片:
-
IHC image of CSB-PA853382LA01HU diluted at 1:500 and staining in paraffin-embedded human skeletal muscle tissue performed on a Leica BondTM system. After dewaxing and hydration, antigen retrieval was mediated by high pressure in a citrate buffer (pH 6.0). Section was blocked with 10% normal goat serum 30min at RT. Then primary antibody (1% BSA) was incubated at 4°C overnight. The primary is detected by a biotinylated secondary antibody and visualized using an HRP conjugated SP system.
-
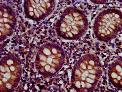
IHC image of CSB-PA853382LA01HU diluted at 1:500 and staining in paraffin-embedded human appendix tissue performed on a Leica BondTM system. After dewaxing and hydration, antigen retrieval was mediated by high pressure in a citrate buffer (pH 6.0). Section was blocked with 10% normal goat serum 30min at RT. Then primary antibody (1% BSA) was incubated at 4°C overnight. The primary is detected by a biotinylated secondary antibody and visualized using an HRP conjugated SP system.
-
Immunofluorescence staining of Hela cells with CSB-PA853382LA01HU at 1:166, counter-stained with DAPI. The cells were fixed in 4% formaldehyde, permeabilized using 0.2% Triton X-100 and blocked in 10% normal Goat Serum. The cells were then incubated with the antibody overnight at 4°C. The secondary antibody was Alexa Fluor 488-congugated AffiniPure Goat Anti-Rabbit IgG(H+L).
-
-
其他:
產品詳情
-
產品名稱:Rabbit anti-Homo sapiens (Human) FERMT2 Polyclonal antibody
-
Uniprot No.:
-
基因名:
-
別名:FLJ34213 antibody; FLJ44462 antibody; UNC112 antibody; FERM2_HUMAN antibody; Fermitin family homolog 2 antibody; Fermt2 antibody; KIND2 antibody; Kindlin-2 antibody; MIG-2 antibody; MIG2 antibody; Mitogen-inducible gene 2 protein antibody; PH domain-containing family C member 1 antibody; Pleckstrin homology domain containing family C (with FERM domain) member 1 antibody; Pleckstrin homology domain-containing family C member 1 antibody; PLEKHC1 antibody; UNC112B antibody
-
宿主:Rabbit
-
反應種屬:Human
-
免疫原:Recombinant Human Fermitin family homolog 2 protein (155-232AA)
-
免疫原種屬:Homo sapiens (Human)
-
標記方式:Non-conjugated
本頁面中的產品,FERMT2 Antibody (CSB-PA853382LA01HU),的標記方式是Non-conjugated。對于FERMT2 Antibody,我們還提供其他標記。見下表:
-
克隆類型:Polyclonal
-
抗體亞型:IgG
-
純化方式:>95%, Protein G purified
-
濃度:It differs from different batches. Please contact us to confirm it.
-
保存緩沖液:Preservative: 0.03% Proclin 300
Constituents: 50% Glycerol, 0.01M PBS, pH 7.4 -
產品提供形式:Liquid
-
應用范圍:ELISA, IHC, IF
-
推薦稀釋比:
Application Recommended Dilution IHC 1:500-1:1000 IF 1:50-1:200 -
Protocols:
-
儲存條件:Upon receipt, store at -20°C or -80°C. Avoid repeated freeze.
-
貨期:Basically, we can dispatch the products out in 1-3 working days after receiving your orders. Delivery time maybe differs from different purchasing way or location, please kindly consult your local distributors for specific delivery time.
-
用途:For Research Use Only. Not for use in diagnostic or therapeutic procedures.
相關產品
靶點詳情
-
功能:Scaffolding protein that enhances integrin activation mediated by TLN1 and/or TLN2, but activates integrins only weakly by itself. Binds to membranes enriched in phosphoinositides. Enhances integrin-mediated cell adhesion onto the extracellular matrix and cell spreading; this requires both its ability to interact with integrins and with phospholipid membranes. Required for the assembly of focal adhesions. Participates in the connection between extracellular matrix adhesion sites and the actin cytoskeleton and also in the orchestration of actin assembly and cell shape modulation. Recruits FBLIM1 to focal adhesions. Plays a role in the TGFB1 and integrin signaling pathways. Stabilizes active CTNNB1 and plays a role in the regulation of transcription mediated by CTNNB1 and TCF7L2/TCF4 and in Wnt signaling.
-
基因功能參考文獻:
- Using molecular modeling and molecular dynamics simulations, we show that Asp344, Asp352, and Thr356 in kindlin-2 and Arg243 and Arg334 in ILK kinase domain (KD) are important in kindlin-2/ILK complex formation. Mutations that disrupt these interactions abrogate kindlin-2 and ILK colocalization in HeLa cells. PMID: 29237230
- Results found Kindlin-2 expression upregulated in hepatocellular carcinoma (HCC) tissues and cell lines and it correlates with aggressive clinicopathological features and poor prognosis. Mechanistically, Kindlin-2 promotes HCC invasion, metastasis and epithelial-mesenchymal transition through Wnt/beta-catenin signaling. PMID: 28969700
- Kindlin-2 is mainly expressed in the cytoplasm and nuclei of fibroblasts in the Esophageal cancer (EC) stroma. Kindlin-2 is upregulated in ECs compared with normal esophageal tissues. Kindlin-2 is more prevalent in poorly differentiated tumors. Kindlin-2 is expressed higher in EC smoker patients than non-smoker patients. Patients with a family history of EC show lower Kindlin-2 expression. PMID: 28667517
- Long noncoding RNA-ATB functions as a molecular sponge for miR-200b and Kindlin-2. PMID: 28640252
- Kindlin-2 is up-regulated in glioma cells and acts as an oncogene. It is an independent risk factor for poor prognosis. The Kindlin-2/YB-1/beta-catenin complex promotes EGFR transcription and contributes to glioma progression. Kindlin-2 is a potential diagnostic and prognostic marker in glioma, and inhibition of Kindlin-2 may be a novel strategy for glioma treatment. PMID: 27713156
- the rs17125944 polymorphism in FERMT2 gene might not be association with late-onset Alzheimer's disease in northern Han Chinese population PMID: 27244899
- analysis of the Kindlin-2-RhoGDIalpha-Rac1 signaling axis that is critical for regulation of podocyte structure and function in vivo PMID: 28775002
- Study found that FERMT2 (a beta3-integrin co-activator) was significantly associated with a variation in cerebrospinal fluid Abeta peptide levels in 2886 Alzheimer's disease cases.Under-expression of FERMT2 increases Abeta peptide production by raising levels of mature APP at the cell surface and facilitating its recycling PMID: 27933404
- High kindlin 2 expression is associated with Breast Cancer. PMID: 28687620
- Data suggest that the extreme C terminus of kindlin-2 is essential for interaction with and activation of integrin alphaIIBbeta3; these studies were conducted in macrophage cell line and erythroleukemia cell line. PMID: 28652408
- We show a direct relationship between kindlin-1 abundance and UV-B induced apoptosis in keratinocytes, whereas kindlin-2 overexpression has no compensatory effect. PMID: 27798104
- The F0 domain of K2 binds actin. PMID: 27044892
- data indicate that kindlin-2 promotes the invasiveness of prostate cancer cells largely through NF-kappaB-dependent upregulation of MMP-9 and MMP-2 PMID: 26551397
- High kindlin-2 expression is associated with esophageal squamous cell carcinoma. PMID: 25605255
- our findings suggested that Kindlin-2 was highly expressed in hepatocellular carcinoma tissues and was closely related to clinical progression. Kindlin-2 protein could be a potential biomarker for predicting poor prognosis of HCC patients after surgery. PMID: 25618552
- findings suggest that Src, Kindlin-2 and Migfilin together constitute a positive feedback loop that controls Src activity and regulates integrin-mediated cellular func PMID: 26037143
- Data indicate that Kindlin-2 mRNA levels in adult is highly expressed in mesoderm-derived organs. PMID: 24907935
- A major ILK binding site in the kindlin-2 FERM domain for regulating cell adhesion has been mapped. PMID: 25160619
- the first evidence that interaction between the integrin beta1 cytoplasmic tail and kindlin-2, a member of a family of adapters implicated in human disease pathogenesis, is mainly governed by the beta1 C-terminal carboxylate moiety PMID: 24599960
- Kindlin-2 was highly expressed in the peritumoral stroma of pancreatic ductal adenocarcinomas. Stromal kindlin-2 expression was related to nodal metastasis (P = 0.03). PMID: 23508013
- Kindlin-2 mediates activation of TGF-beta/Smad signaling and renal fibrosis. PMID: 23723426
- Kindlin-2 might promote the invasion of gastric cancer cells through enhancing proliferation and adhesion by the phosphorylation of integrin beta1 and beta3. PMID: 23857544
- Kindlin 2 plays a novel role in epigenetic repression of miR-200 family, a mechanism that promotes breast cancer invasion. PMID: 23483548
- Kindlin-1 and Kindlin-2 have opposite roles in lung cancers PMID: 23209705
- the novel focal adhesion gene kindlin-2 may play an important role in promoting the invasion of gastric cancer cells mediated by tumor-associated macrophages through regulating interleukin expression. PMID: 23151599
- A novel regulatory loop has been described between GLI1 and Kindlin-2 that determines cancer cell viability. PMID: 23337877
- Kindlin-2 regulates breast cancer progression by inducing genome instability. PMID: 23211537
- Low expression of kindlin-2 correlated with a favorable prognosis for acute myeloid leukemia. PMID: 22391155
- Kindlin 2 forms a tripartite complex with beta-catenin and TCF4. PMID: 22699938
- Kindlin-2 and talin head do not interact with one another but can bind simultaneously to the integrin beta(3) tail without enhancing or inhibiting the interaction of the other binding partner. PMID: 22648415
- Kindlin-2 was up-regulated both at RNA (P = .027) and protein levels (P = .014) in gastric cancer tissues and may play an important role in the development and prognosis of gastric cancer. PMID: 22056622
- Results define a specific PIP3 recognition mode for the kindlin PH domain and shed light upon a mechanism as to how the PH domain mediates membrane engagement of kindlin-2 to promote integrin activation. PMID: 22030399
- a membrane-binding function of the ubiquitin-like domain of kindlin-2, which is likely common for all kindlins, promotes localization to the plasma membrane and controls integrin activation PMID: 22078565
- Functional characterization of human Kindlin-2 core promoter identifies a key role of SP1 in Kindlin-2 transcriptional regulation. PMID: 21922223
- secondary structures predicted from amino-acid sequence alignment of kindlin PH domains indicated that our crystallized kindlin-2 PH domain has an additional C-terminal helix (alpha-2) which is highly conserved in all three kindlin-family proteins PMID: 21636915
- Kindlin-2 is expressed in a small subset of high-grade invasive bladder cancers and may have a role in tumor progression PMID: 21624607
- Kindlin-2 regulates podocyte adhesion and fibronectin deposition through interactions with phosphoinositides and integrinb1 and b3. PMID: 21325030
- The phenotype of kindlin-1-deficient cells can be modulated by regulating kindlin-2 gene expression and vice versa. PMID: 21356350
- physiological role for kindlin-2 in skin fibroblasts under normal steady-state conditions and during tissue regeneration PMID: 20861856
- Tyrosine phosphorylation of integrin beta3 regulates kindlin-2 binding and integrin activation. PMID: 20702409
- our study suggests that heightened expression of Kindlin-2 might contribute to tumor progression in MM. PMID: 20127858
- cellular functions and possible clinical relevance of kindlin-2 [REVIEW] PMID: 19854292
- Mig-2 expression is transcriptionally elevated in leiomyomas and could be involved in its hormone-mediated growth of leiomyomas of the uterus. PMID: 14745725
- Results identify kindlin-2 as a novel regulator of integrin beta3 activation; it functions as a coactivator. PMID: 18458155
- Loss-of-function mutations in KIND1 result in marked variability in kindlin-1 immunolabeling in Kindler syndrome skin, which is mirrored by similar changes in kindlin-2 and migfilin immunoreactivity. PMID: 18528435
顯示更多
收起更多
-
亞細胞定位:Cytoplasm. Cytoplasm, cell cortex. Cytoplasm, cytoskeleton. Cytoplasm, cytoskeleton, stress fiber. Cell junction, focal adhesion. Membrane; Peripheral membrane protein; Cytoplasmic side. Cell projection, lamellipodium membrane; Peripheral membrane protein; Cytoplasmic side. Nucleus. Cytoplasm, myofibril, sarcomere, I band. Cell surface. Note=Colocalizes with actin stress fibers at cell-ECM focal adhesion sites. Colocalizes with ITGB3 at lamellipodia at the leading edge of spreading cells. Binds to membranes that contain phosphatidylinositides.
-
蛋白家族:Kindlin family
-
組織特異性:Ubiquitous. Found in numerous tumor tissues.
-
數據庫鏈接:
Most popular with customers
-
-
YWHAB Recombinant Monoclonal Antibody
Applications: ELISA, WB, IHC, IF, FC
Species Reactivity: Human, Mouse, Rat
-
Phospho-YAP1 (S127) Recombinant Monoclonal Antibody
Applications: ELISA, WB, IHC
Species Reactivity: Human
-
-
-
-
-















