FEM1A Antibody
-
中文名稱:FEM1A兔多克隆抗體
-
貨號:CSB-PA259482
-
規格:¥1100
-
圖片:
-
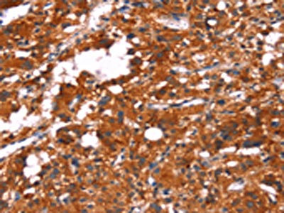
The image on the left is immunohistochemistry of paraffin-embedded Human thyroid cancer tissue using CSB-PA259482(FEM1A Antibody) at dilution 1/20, on the right is treated with synthetic peptide. (Original magnification: ×200)
-
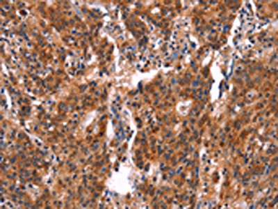
The image on the left is immunohistochemistry of paraffin-embedded Human gastric cancer tissue using CSB-PA259482(FEM1A Antibody) at dilution 1/20, on the right is treated with synthetic peptide. (Original magnification: ×200)
-
-
其他:
產品詳情
-
Uniprot No.:
-
基因名:FEM1A
-
別名:AW611390 antibody; DKFZp762M136 antibody; EPRAP antibody; Fem-1 homolog a (C. elegans) antibody; Fem1 homolog a antibody; FEM1-alpha antibody; FEM1-alpha-A antibody; FEM1a antibody; FEM1a-A antibody; FEM1A_HUMAN antibody; Fem1aa antibody; Feminization 1 homolog a (C. elegans) antibody; Feminization 1 homolog a antibody; MGC114562 antibody; MGC117925 antibody; Prostaglandin E receptor 4-associated protein antibody; Protein fem-1 homolog A antibody; Protein fem-1 homolog A-A antibody
-
宿主:Rabbit
-
反應種屬:Human
-
免疫原:Synthetic peptide of Human FEM1A
-
免疫原種屬:Homo sapiens (Human)
-
標記方式:Non-conjugated
-
抗體亞型:IgG
-
純化方式:Antigen affinity purification
-
濃度:It differs from different batches. Please contact us to confirm it.
-
保存緩沖液:-20°C, pH7.4 PBS, 0.05% NaN3, 40% Glycerol
-
產品提供形式:Liquid
-
應用范圍:ELISA,IHC
-
推薦稀釋比:
Application Recommended Dilution ELISA 1:1000-1:2000 IHC 1:25-1:100 -
Protocols:
-
儲存條件:Upon receipt, store at -20°C or -80°C. Avoid repeated freeze.
-
貨期:Basically, we can dispatch the products out in 1-3 working days after receiving your orders. Delivery time maybe differs from different purchasing way or location, please kindly consult your local distributors for specific delivery time.
-
用途:For Research Use Only. Not for use in diagnostic or therapeutic procedures.
相關產品
靶點詳情
-
功能:Substrate-recognition component of a Cul2-RING (CRL2) E3 ubiquitin-protein ligase complex of the DesCEND (destruction via C-end degrons) pathway, which recognizes a C-degron located at the extreme C terminus of target proteins, leading to their ubiquitination and degradation. The C-degron recognized by the DesCEND pathway is usually a motif of less than ten residues and can be present in full-length proteins, truncated proteins or proteolytically cleaved forms. The CRL2(FEM1A) complex specifically recognizes proteins with an arginine at the C-terminus: recognizes and binds proteins ending with -Lys/Arg-Xaa-Arg and -Lys/Arg-Xaa-Xaa-Arg C-degrons, such as SIL1 or OR51B2, leading to their ubiquitination and degradation. Promotes ubiquitination and degradation of SLBP. Involved in PGE2-EP4-mediated inhibition of inflammation of macrophages via interaction with NFKB1 and PTGER4. Promotes inflammation in brain microglia through MAP2K4/MKK4-mediated signaling.
-
基因功能參考文獻:
- FEM1 proteins are ancient regulators of Stem-Loop Binding Protein. PMID: 28118078
- Particular genotypes of the rs12460989 and rs8111933 loci of FEM1A gene are associated with PCOS in Chinese Han. PMID: 22678803
- Fem1a downregulation may be involved in, and/or a marker of, an early cell fate defect fundamental to rhabdomyosarcoma pathogenesis PMID: 16254458
- PGE(2)-EP4 signaling augments NF-kappaB1 p105 protein stability through EPRAP after proinflammatory stimulation, limiting macrophage activation. PMID: 18270204
- This study presents evidence suggesting a role for FEM1A and FEM1B in the pathogenesis of polycystic ovary syndrome. PMID: 18757445
顯示更多
收起更多
-
亞細胞定位:Mitochondrion. Cytoplasm.
-
蛋白家族:Fem-1 family
-
組織特異性:Present in macrophages derived from peripheral blood monocytes. Also present in atheromata (at protein level).
-
數據庫鏈接:
Most popular with customers
-
-
YWHAB Recombinant Monoclonal Antibody
Applications: ELISA, WB, IHC, IF, FC
Species Reactivity: Human, Mouse, Rat
-
Phospho-YAP1 (S127) Recombinant Monoclonal Antibody
Applications: ELISA, WB, IHC
Species Reactivity: Human
-
-
-
-
-















