FDXR Antibody
-
中文名稱:FDXR兔多克隆抗體
-
貨號:CSB-PA008575LA01HU
-
規格:¥440
-
圖片:
-
Western blot
All lanes: FDXR antibody at 6µg/ml
Lane 1: A549 whole cell lysate
Lane 2: Mouse liver tissue
Lane 3: HepG2 whole cell lysate
Lane 4: U251 whole cell lysate
Secondary
Goat polyclonal to rabbit IgG at 1/10000 dilution
Predicted band size: 54, 55, 59, 49, 53, 50, 58 kDa
Observed band size: 54 kDa -
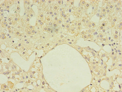
Immunohistochemistry of paraffin-embedded human adrenal gland tissue using CSB-PA008575LA01HU at dilution of 1:100
-
-
其他:
產品詳情
-
產品名稱:Rabbit anti-Homo sapiens (Human) FDXR Polyclonal antibody
-
Uniprot No.:
-
基因名:
-
別名:Adrenodoxin reductase antibody; ADRO_HUMAN antibody; ADXR antibody; AR antibody; FDXR antibody; Ferredoxin NADP(+) reductase antibody; Ferredoxin reductase antibody; Ferredoxin--NADP(+) reductase antibody; mitochondrial antibody; NADPH adrenodoxin oxidoreductase mitochondrial antibody; NADPH:adrenodoxin oxidoreductase antibody
-
宿主:Rabbit
-
反應種屬:Human, Mouse
-
免疫原:Recombinant Human NADPH:adrenodoxin oxidoreductase, mitochondrial protein (33-451AA)
-
免疫原種屬:Homo sapiens (Human)
-
標記方式:Non-conjugated
本頁面中的產品,FDXR Antibody (CSB-PA008575LA01HU),的標記方式是Non-conjugated。對于FDXR Antibody,我們還提供其他標記。見下表:
-
克隆類型:Polyclonal
-
抗體亞型:IgG
-
純化方式:>95%, Protein G purified
-
濃度:It differs from different batches. Please contact us to confirm it.
-
保存緩沖液:Preservative: 0.03% Proclin 300
Constituents: 50% Glycerol, 0.01M PBS, PH 7.4 -
產品提供形式:Liquid
-
應用范圍:ELISA, WB, IHC
-
推薦稀釋比:
Application Recommended Dilution WB 1:500-1:2000 IHC 1:20-1:200 -
Protocols:
-
儲存條件:Upon receipt, store at -20°C or -80°C. Avoid repeated freeze.
-
貨期:Basically, we can dispatch the products out in 1-3 working days after receiving your orders. Delivery time maybe differs from different purchasing way or location, please kindly consult your local distributors for specific delivery time.
-
用途:For Research Use Only. Not for use in diagnostic or therapeutic procedures.
相關產品
靶點詳情
-
功能:Serves as the first electron transfer protein in all the mitochondrial P450 systems including cholesterol side chain cleavage in all steroidogenic tissues, steroid 11-beta hydroxylation in the adrenal cortex, 25-OH-vitamin D3-24 hydroxylation in the kidney, and sterol C-27 hydroxylation in the liver.
-
基因功能參考文獻:
- These data provide further insight into the pathogenic mechanism of FDXR-mediated central neuropathy, and suggest an avenue for mechanistic studies that will ultimately inform treatment. PMID: 30250212
- we identified a novel disease-causing gene FDXR associated with mitochondrial diseases. The biallelic FDXR mutations cause optic atrophy and neuropathy. we found that FDXR levels are significantly lower in the patient fibroblast cells with the homozygous mutations R392W. Fourteen missense or nonsense FDXR mutations were identified in this study and eight of them (I143F, V158M, T211A, I213F, K280*, R315*, C359Y, D374N) clu PMID: 29040572
- Using surface plasmon resonance, physiologically relevant concentrations of isatin (25-100 muM) were found to increase affinity of interactions between human recombinant ferrochelatase (FECH) and NADPH-dependent adrenodoxin reductase (ADR). PMID: 28905435
- Mutation in FDXR gene is associated with Sensorial Neuropathies. PMID: 28965846
- NOS-3 overexpression resulted in an increased sensitivity to anti-Fas induced cell death, independently of AR expression and CatD activity. PMID: 25712867
- These results indicated that abundant FDXR expression in these steroidogenic cells was maintained through SF-1 binding to the intronic enhancer of the FDXR gene PMID: 24321386
- results suggest that both FDX1 and FDX2 and their likely reductase partner, FDXR, contribute to iron-sulfur cluster biogenesis PMID: 22101253
- comparison of catalytic properties between conditions of limiting and saturating adrenodoxin reductase [cytochrome P450scc] PMID: 12137805
- The ferredoxin reductase gene is regulated by the p53 family and sensitizes cells to oxidative stress-induced apoptosis PMID: 12370809
- ADXR rate of hydroxylation was linear with incubation time. PMID: 12782149
顯示更多
收起更多
-
亞細胞定位:Mitochondrion inner membrane; Peripheral membrane protein.
-
蛋白家族:Ferredoxin--NADP reductase type 1 family
-
數據庫鏈接:
Most popular with customers
-
-
YWHAB Recombinant Monoclonal Antibody
Applications: ELISA, WB, IHC, IF, FC
Species Reactivity: Human, Mouse, Rat
-
Phospho-YAP1 (S127) Recombinant Monoclonal Antibody
Applications: ELISA, WB, IHC
Species Reactivity: Human
-
-
-
-
-















