FBXO4 Antibody
-
中文名稱:FBXO4兔多克隆抗體
-
貨號:CSB-PA891538ESR2HU
-
規格:¥440
-
圖片:
-
Immunohistochemistry of paraffin-embedded human brain tissue using CSB-PA891538ESR2HU at dilution of 1:100
-
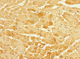
Immunohistochemistry of paraffin-embedded human heart tissue using CSB-PA891538ESR2HU at dilution of 1:100
-
Immunoprecipitating FBXO4 in HepG2 whole cell lysate
Lane 1: Rabbit control IgG instead of (1μg) instead of CSB-PA891538ESR2HU in HepG2 whole cell lysate. For western blotting, a HRP-conjugated anti-rabbit IgG, specific to the non-reduced form of IgG was used as the Secondary antibody (1/50000)
Lane 2: CSB-PA891538ESR2HU (4μg) + HepG2 whole cell lysate (500μg)
Lane 3: HepG2 whole cell lysate (20μg)
-
-
其他:
產品詳情
-
產品名稱:Rabbit anti-Homo sapiens (Human) FBXO4 Polyclonal antibody
-
Uniprot No.:
-
基因名:
-
別名:DKFZp547N213 antibody; F box only protein 4 antibody; F box protein 4 antibody; F box protein Fbx4 antibody; F-box only protein 4 antibody; FBX4 antibody; FBX4_HUMAN antibody; FBXO 4 antibody; FBXO4 antibody; FLJ10141 antibody
-
宿主:Rabbit
-
反應種屬:Human
-
免疫原:Recombinant Human F-box only protein 4 protein (138-387AA)
-
免疫原種屬:Homo sapiens (Human)
-
標記方式:Non-conjugated
-
克隆類型:Polyclonal
-
抗體亞型:IgG
-
純化方式:Antigen Affinity Purified
-
濃度:It differs from different batches. Please contact us to confirm it.
-
保存緩沖液:PBS with 0.02% sodium azide, 50% glycerol, pH7.3.
-
產品提供形式:Liquid
-
應用范圍:ELISA, IHC, IP
-
推薦稀釋比:
Application Recommended Dilution IHC 1:20-1:200 IP 1:200-1:2000 -
Protocols:
-
儲存條件:Upon receipt, store at -20°C or -80°C. Avoid repeated freeze.
-
貨期:Basically, we can dispatch the products out in 1-3 working days after receiving your orders. Delivery time maybe differs from different purchasing way or location, please kindly consult your local distributors for specific delivery time.
-
用途:For Research Use Only. Not for use in diagnostic or therapeutic procedures.
相關產品
靶點詳情
-
功能:Substrate recognition component of a SCF (SKP1-CUL1-F-box protein) E3 ubiquitin-protein ligase complex that mediates the ubiquitination and subsequent proteasomal degradation of target proteins. Promotes ubiquitination of CCND1 and its subsequent proteasomal degradation. Recognizes TERF1 and promotes its ubiquitination together with UBE2D1.
-
基因功能參考文獻:
- in head and neck squamous cell carcinoma, fragile X mental retardation syndrome related protein 1 (Fxr1) overexpression correlates with reduced F-box protein 4 (Fbxo4) levels. PMID: 29142209
- FBXO4 is the E3 ubiquitin ligase to interact with and promote Mcl-1 ubiquitination and degradation. PMID: 28776569
- results define the impact of alternative splicing on Fbx4 function, and suggest that the attenuated cyclin D1 degradation by these novel Fbx4 isoforms provides a new insight for aberrant cyclin D1 expression in human cancers. PMID: 24704453
- The FBXO4 I377M mutant exhibits impaired cyclin D1 recruitment and ubiquitylation. PMID: 24019069
- 14-3-3varepsilon binds to Ser12-phosphorylated Fbx4 to mediate dimerization and function. PMID: 21242966
- Biochemical studies indicate that both the N-terminal domain and a loop connecting the linker and C-terminal domain of Fbx4 are critical for the dimerization and activation of the protein. PMID: 20181953
- results reveal an atypical small GTPase domain within Fbx4 as a substrate-binding motif for SCF(Fbx4) and uncover a mechanism for selective ubiquitination and degradation of TRF1 in telomere homeostasis control PMID: 20159592
- Fbx4 is a central regulator of Pin2/TRF1 protein abundance and alterations in the stability of Pin2/TRF1 can have a dramatic impact on telomere length PMID: 16275645
- SCF(FBX4-alphaB crystallin) is an E3 ubiquitin ligase that promotes ubiquitin-dependent degradation of Thr286-phosphorylated cyclin D1. PMID: 17081987
- Mutations in Fbx4 inhibit dimerization of the SCF(Fbx4) ligase and contribute to cyclin D1 overexpression in human cancer. PMID: 18598945
顯示更多
收起更多
-
亞細胞定位:Cytoplasm.
-
數據庫鏈接:
Most popular with customers
-
-
Phospho-YAP1 (S127) Recombinant Monoclonal Antibody
Applications: ELISA, WB, IHC
Species Reactivity: Human
-
-
-
-
-
-















