FAT3 Antibody
-
中文名稱:FAT3兔多克隆抗體
-
貨號:CSB-PA068600
-
規格:¥1100
-
圖片:
-
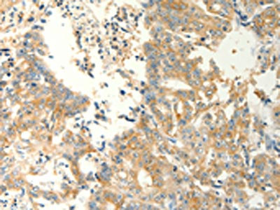
The image on the left is immunohistochemistry of paraffin-embedded Human esophagus cancer tissue using CSB-PA068600(FAT3 Antibody) at dilution 1/30, on the right is treated with synthetic peptide. (Original magnification: ×200)
-
The image on the left is immunohistochemistry of paraffin-embedded Human gastric cancer tissue using CSB-PA068600(FAT3 Antibody) at dilution 1/30, on the right is treated with synthetic peptide. (Original magnification: ×200)
-
-
其他:
產品詳情
-
產品描述:
Immunization of rabbits with the synthesized peptide of human FAT3 protein yields the anti-serum, which further undergoes antigen affinity purification to get the FAT3 antibody. This FAT3 antibody is a polyclonal antibody and exists as an unconjugated IgG. It can cross-react with human, mouse, and rat FAT3 protein. Validations of this antibody in ELISA and IHC assays have been tested. The target protein FAT3 plays an important role in axon fasciculation and regulation of the extracellular space surrounding axons during embryonic development.
-
Uniprot No.:
-
基因名:
-
別名:Cadherin family member 15 antibody; CDHF15 antibody; CDHR10 antibody; FAT tumor suppressor homolog 3 antibody; Fat3 antibody; FAT3_HUMAN antibody; hFat3 antibody; KIAA1989 antibody; Protocadherin Fat 3 antibody
-
宿主:Rabbit
-
反應種屬:Human,Mouse,Rat
-
免疫原:Synthetic peptide of Human FAT3
-
免疫原種屬:Homo sapiens (Human)
-
標記方式:Non-conjugated
-
抗體亞型:IgG
-
純化方式:Antigen affinity purification
-
濃度:It differs from different batches. Please contact us to confirm it.
-
保存緩沖液:-20°C, pH7.4 PBS, 0.05% NaN3, 40% Glycerol
-
產品提供形式:Liquid
-
應用范圍:ELISA,IHC
-
推薦稀釋比:
Application Recommended Dilution ELISA 1:2000-1:5000 IHC 1:25-1:100 -
Protocols:
-
儲存條件:Upon receipt, store at -20°C or -80°C. Avoid repeated freeze.
-
貨期:Basically, we can dispatch the products out in 1-3 working days after receiving your orders. Delivery time maybe differs from different purchasing way or location, please kindly consult your local distributors for specific delivery time.
-
用途:For Research Use Only. Not for use in diagnostic or therapeutic procedures.
相關產品
靶點詳情
-
功能:May play a role in the interactions between neurites derived from specific subsets of neurons during development.
-
基因功能參考文獻:
- For Fat3, the Kif5-ID is regulated by alternative splicing, and the timecourse of splicing suggests that the distribution of Fat3 may switch between early and later stages of retinal development. In contrast, P75NTR binding to Kif5B is enhanced by tyrosine phosphorylation and thus has the potential to be dynamically regulated on a more rapid time scale PMID: 27788242
-
亞細胞定位:Membrane; Single-pass type I membrane protein.
-
組織特異性:Expressed in ES cells, primitive neuroectoderm, fetal brain, infant brain, adult neural tissues and prostate.
-
數據庫鏈接:
Most popular with customers
-
-
YWHAB Recombinant Monoclonal Antibody
Applications: ELISA, WB, IHC, IF, FC
Species Reactivity: Human, Mouse, Rat
-
Phospho-YAP1 (S127) Recombinant Monoclonal Antibody
Applications: ELISA, WB, IHC
Species Reactivity: Human
-
-
-
-
-















