FASN Antibody
-
中文名稱:FASN兔多克隆抗體
-
貨號:CSB-PA13179A0Rb
-
規格:¥440
-
圖片:
-
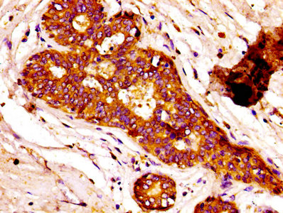
IHC image of CSB-PA13179A0Rb diluted at 1:100 and staining in paraffin-embedded human breast cancer performed on a Leica BondTM system. After dewaxing and hydration, antigen retrieval was mediated by high pressure in a citrate buffer (pH 6.0). Section was blocked with 10% normal goat serum 30min at RT. Then primary antibody (1% BSA) was incubated at 4°C overnight. The primary is detected by a biotinylated secondary antibody and visualized using an HRP conjugated SP system.
-
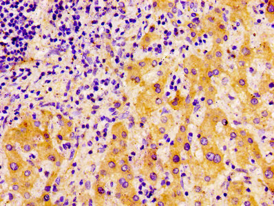
IHC image of CSB-PA13179A0Rb diluted at 1:100 and staining in paraffin-embedded human liver cancer performed on a Leica BondTM system. After dewaxing and hydration, antigen retrieval was mediated by high pressure in a citrate buffer (pH 6.0). Section was blocked with 10% normal goat serum 30min at RT. Then primary antibody (1% BSA) was incubated at 4°C overnight. The primary is detected by a biotinylated secondary antibody and visualized using an HRP conjugated ABC system.
-
Immunofluorescence staining of Hela cells with CSB-PA13179A0Rb at 1:100, counter-stained with DAPI. The cells were fixed in 4% formaldehyde, permeabilized using 0.2% Triton X-100 and blocked in 10% normal Goat Serum. The cells were then incubated with the antibody overnight at 4°C. The secondary antibody was Alexa Fluor 488-congugated AffiniPure Goat Anti-Rabbit IgG(H+L).
-
-
其他:
產品詳情
-
產品名稱:Rabbit anti-Homo sapiens (Human) FASN Polyclonal antibody
-
Uniprot No.:
-
基因名:
-
別名:[Acyl-carrier-protein] S acetyltransferase antibody; [Acyl-carrier-protein] S malonyltransferase antibody; 3-hydroxypalmitoyl-[acyl-carrier-protein] dehydratase antibody; 3-oxoacyl-[acyl-carrier-protein] reductase antibody; 3-oxoacyl-[acyl-carrier-protein] synthase antibody; Enoyl-[acyl-carrier-protein] reductase antibody; FAS antibody; FAS_HUMAN antibody; FASN antibody; Fatty acid synthase antibody; MGC14367 antibody; MGC15706 antibody; OA 519 antibody; Oleoyl-[acyl-carrier-protein] hydrolase antibody; SDR27X1 antibody; Short chain dehydrogenase/reductase family 27X member 1 antibody
-
宿主:Rabbit
-
反應種屬:Human
-
免疫原:Recombinant Human Fatty acid synthase protein (2155-2495AA)
-
免疫原種屬:Homo sapiens (Human)
-
標記方式:Non-conjugated
本頁面中的產品,FASN Antibody (CSB-PA13179A0Rb),的標記方式是Non-conjugated。對于FASN Antibody,我們還提供其他標記。見下表:
-
克隆類型:Polyclonal
-
抗體亞型:IgG
-
純化方式:>95%, Protein G purified
-
濃度:It differs from different batches. Please contact us to confirm it.
-
保存緩沖液:Preservative: 0.03% Proclin 300
Constituents: 50% Glycerol, 0.01M PBS, PH 7.4 -
產品提供形式:Liquid
-
應用范圍:ELISA, IHC, IF
-
推薦稀釋比:
Application Recommended Dilution IHC 1:20-1:200 IF 1:50-1:200 -
Protocols:
-
儲存條件:Upon receipt, store at -20°C or -80°C. Avoid repeated freeze.
-
貨期:Basically, we can dispatch the products out in 1-3 working days after receiving your orders. Delivery time maybe differs from different purchasing way or location, please kindly consult your local distributors for specific delivery time.
-
用途:For Research Use Only. Not for use in diagnostic or therapeutic procedures.
相關產品
靶點詳情
-
功能:Fatty acid synthetase is a multifunctional enzyme that catalyzes the de novo biosynthesis of long-chain saturated fatty acids starting from acetyl-CoA and malonyl-CoA in the presence of NADPH. This multifunctional protein contains 7 catalytic activities and a site for the binding of the prosthetic group 4'-phosphopantetheine of the acyl carrier protein ([ACP]) domain.
-
基因功能參考文獻:
- Evaluation of FAS/FASL polymorphisms can predict lack of response to BCG immunotherapy and prevent the loss of valuable time before such alternative treatments as early cystectomy are initiated. PMID: 29453645
- FASN-induced S6 kinase facilitates USP11-eIF4B complex formation for sustained oncogenic translation in diffuse large B-cell lymphoma. PMID: 29483509
- HIV-1 infection increases intracellular levels of fatty acid synthase (FASN). Despite the requirement of FASN for nascent virion production, FASN activity was not required for intracellular Gag protein production, indicating that FASN dependent de novo fatty acid biosynthesis contributes to a late step of HIV-1 replication PMID: 28962653
- Findings showed that FASN is upregulated in colorectal cancer cell lines that overexpress PGC-1alpha and indicated that FASN expression may enhance cancer cell proliferation by regulating antioxidant enzyme production and resistance to ROS-induced apoptosis. Further data provided evidence that FASN expression was regulated indirectly by PGC-1alpha. PMID: 29130104
- Repression of FAS mRNA expression is the consequence of feedback inhibition of FAS expression by long chain fatty acyl-CoAs, which are formed by FACL3 during its upregulation by vitamin D3 in prostate cancer cells. PMID: 15556626
- analysis of the expression of fatty acid synthase, Ki-67 and p53 in squamous cell carcinomas of the larynx PMID: 18949744
- Fatty acid synthase (FASN) mRNA and protein overexpression were associated with unfavorable clinicopathologic factors and poor outcomes. PMID: 28442505
- KRAS is associated with activation of ERK2, induction of FASN, and promotion of lipogenesis. PMID: 28400509
- The study has shown that the high frequency of FASN expression in intraepithelial neoplasia (hPIN)and cancer and no expression in most structures of benign hyperplasia make it possible to use this protein as an additional marker in the differential diagnosis of prostatic neoplasms. PMID: 28418352
- FASN inhibition/knockdown significantly increased the susceptibility of cisplatin-resistant cells to NK cell cytotoxicity. PMID: 29306075
- FASN has a role in leucine deprivation-inhibited proliferation and apoptosis of human breast cancer cells PMID: 27579768
- HER2-FASN lipogenic axis delineates a group of breast cancer patients that might benefit from treatment with therapeutic regimens containing FASN inhibitors PMID: 27714708
- FASN expression is down-regulated by miR-15a and miR-16-1 in breast cancer cells, regulating cell proliferation. PMID: 27713175
- These findings implicate Spot14 as a direct protein enhancer of FASN catalysis in the mammary gland during lactation when maximal MCFA production is needed. PMID: 24771867
- High FASN expression is associated with prostate cancer growth. PMID: 26934656
- We show that elevated levels of PPARG strongly correlate with elevation of FASN in human prostate cancer (CaP) and that high levels of PPARG/FASN and PI3K/pAKT pathway activation confer a poor prognosis.These data suggest that CaP patients could be stratified in terms of PPARG/FASN and PTEN levels to identify patients with aggressive CaP who may respond favorably to PPARG/FASN inhibition. PMID: 27357679
- High FASN expression is associated with meningioma and schwannoma. PMID: 28729415
- our findings show that microRNA-195 inhibits pancreatic cancer cell proliferation and invasion by regulating the fatty acid synthase/Wnt signaling pathway, suggesting a tumor suppressive role for microRNA-195 in the development and progression of pancreatic cancer. Thus, inhibiting fatty acid synthase by microRNA-195 may serve as a novel therapeutic approach for the treatment of pancreatic cancer. PMID: 28639885
- Inhibition of FASN can decrease the levels of IGFBP1, and the expression, activity, and ubiquitination of HIF-1alpha. Inhibition of FASN can suppress migration, invasion and healing of hepatoma carcinoma cells by decreasing HIF-1alpha, and IGFBP1. PMID: 28197637
- The involvement of SREBP-1c and ChREBP in FASN promoter histone modification.Histone acetylation affects FASN transcription by influencing ChREBP-binding carbohydrate-responsive elements. PMID: 28027934
- Fatty acid synthase (FASN) inhibitors reduce proliferation and promote apoptosis in high FASN producers lymphatic endothelial cells (HDLEC) cells. PMID: 27918556
- MACC1 and FASN are positively correlated and responsible for the poor prognoses in gastric cancer patients.FASN role in gastric cancer resistance to oxaliplatin. PMID: 28339092
- Fatty acid synthase fine-tunes the cell's response to stress and injury by remodeling cellular O-GlcNAcylation PMID: 28232487
- B7-H3 hijacks SREBP-1/FASN signaling mediating abnormal lipid metabolism in lung cancer PMID: 27939887
- Uterine leiomyomata risk was positively associated with FASN AA genotype of SNP rs4247357 among the 7% of African American women with >40% European ancestry. PMID: 27375065
- DNA methylation in HIF3A shares moderate correlation between adipose tissue and blood, and both are associated with BMI. In contrast, methylation in FASN is poorly correlated across tissues, but the DNA methylation in adipose tissue but not blood is highly associated with BMI PMID: 26891033
- the present study provided evidence that miR320 may directly target fatty acid synthase. These results suggest that miR320 may serve as a therapeutic biomarker of NSCLC in the future. PMID: 27277534
- increased expression of NF-YA may promote a malignant phenotype in OS cells via modulation of FASN expression. PMID: 27840951
- Results suggest investigation of combined fatty acid synthase (FASN) inhibition and taxane treatment as a therapy for a variety of cancers. PMID: 28159572
- our study suggests that miR12075p/FASN plays an important role in hepatocellular carcinoma PMID: 27461404
- Our observations suggest a physiological role of placental FASN in human pregnancy. Future studies will clarify whether circulating FASN of placental origin does actually regulate placental and fetal growth PMID: 27090298
- Results suggest that FASN plays a pivotal role in glioma neovascularization, and inhibition of FASN may be a potential target for anti-angiogenic therapy for glioma. PMID: 27601165
- The role of FASN in breast cancer [review] PMID: 26951539
- FASN, ErbB2-high-expressing SK-BR-3 cells displayed higher levels of glycolysis and migration than FASN, ErbB2-low-expressing MCF7 cells. PMID: 26936618
- S-nitrosylation of FAS at normal physiological levels of NO increases its activity through dimerization and may contribute to the proper regulation of adipogenesis PMID: 26851298
- concluded that EGFR can be activated intracellularly by FASN-dependent palmitoylation PMID: 26378037
- Our results suggest that FASN upregulation and PTEN downregualtion may be involved in peritoneal dissemination for gastric cancer progression. PMID: 26514456
- Data suggest that thioesterase 2 (TE2) catalytic domain of FASN exhibits novel capping domain insert within the alpha/beta hydrolase core; TE2 (as opposed to TE1 domain) readily releases short chain fatty acids from full-length FASN during turnover. PMID: 26663084
- data demonstrate that selective and potent FASN inhibition with TVB-3166 leads to selective death of tumor cells, without significant effect on normal cells, and inhibits in vivo xenograft tumor growth at well-tolerated doses. PMID: 26425687
- Results showed correlated FASN regulation relative to key signaling genes with tumor invasion and differentiation in primary retinoblastoma (RB) tissues. Its silencing exerted definite anti-cancer effects in RB cells through PI3K/AKT signaling pathway. PMID: 25958981
- Findings indicate that overexpression of FASN plays a crucial role in maintaining energy homeostasis in CRC via increased oxidation of endogenously synthesized lipids. PMID: 25970773
- TG levels are regulated by HCBP6-sterol regulatory element binding protein 1c (SREBP1c)-mediated fatty acid synthase (FASN) expression. PMID: 25855506
- Loss of fatty acid synthase suppresses the malignant phenotype of colorectal cancer cells by down-regulating energy metabolism and mTOR signaling pathway. PMID: 26109148
- In the present study it was determined whether three key enzymes for glycolysis, glutaminolysis and de novo synthesis of FAs, hexokinase-2, glutaminase and fatty acid synthase PMID: 26134042
- FASN and HER2 have roles in breast cancer and are blocked by EGCG with pertuzumab or temsirolimus PMID: 26107737
- Overall, no SNPs were associated with any known aggressiveness indicators. FASN staining intensity was stronger in malignant than in benign tissue, and NADT was associated with decreased FASN staining in both benign and malignant tissue PMID: 25868764
- The results suggested that differential levels of P-glycoprotein, Caveolin-1 and Fatty acid synthase except CYP450 play a major role in acquired resistant phenotype in bladder cancer. PMID: 26025399
- FASN inhibition induced apoptosis in chemosensitive and platinum-resistant ovarian cancer cells and may reverse cisplatin resistance. PMID: 25947066
- These results for the first time indicated that a cross talk in FASN and HER2 expressions might be associated with prognosis in malignant ovarian cancer. PMID: 25433947
- The results reveal that the cytotoxic effects of FASN inhibitors in sensitive lines may be due to the robust depletion of oncogenic signaling lipids, such as diacylglycerols and the elevation of tumor-suppressing ceramides. PMID: 25871544
顯示更多
收起更多
-
亞細胞定位:Cytoplasm. Melanosome. Note=Identified by mass spectrometry in melanosome fractions from stage I to stage IV.
-
組織特異性:Ubiquitous. Prominent expression in brain, lung, liver and mammary gland.
-
數據庫鏈接:
Most popular with customers
-
-
YWHAB Recombinant Monoclonal Antibody
Applications: ELISA, WB, IHC, IF, FC
Species Reactivity: Human, Mouse, Rat
-
Phospho-YAP1 (S127) Recombinant Monoclonal Antibody
Applications: ELISA, WB, IHC
Species Reactivity: Human
-
-
-
-
-















