FARSB Antibody
-
中文名稱:FARSB兔多克隆抗體
-
貨號:CSB-PA193095
-
規格:¥1100
-
圖片:
-
The image on the left is immunohistochemistry of paraffin-embedded Human thyroid cancer tissue using CSB-PA193095(FARSB Antibody) at dilution 1/20, on the right is treated with fusion protein. (Original magnification: ×200)
-
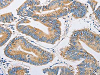
The image on the left is immunohistochemistry of paraffin-embedded Human colon cancer tissue using CSB-PA193095(FARSB Antibody) at dilution 1/20, on the right is treated with fusion protein. (Original magnification: ×200)
-
Gel: 8%SDS-PAGE, Lysate: 40 μg, Lane 1-3: A172 cells, K562 cells, hela cells, Primary antibody: CSB-PA193095(FARSB Antibody) at dilution 1/225, Secondary antibody: Goat anti rabbit IgG at 1/8000 dilution, Exposure time: 1 minute
-
-
其他:
產品詳情
-
Uniprot No.:
-
基因名:FARSB
-
別名:C76708 antibody; Farsa antibody; FARSB antibody; Farsl antibody; Farslb antibody; FRSB antibody; HSPC173 antibody; PheHB antibody; Phenylalanine tRNA ligase beta subunit antibody; phenylalanine tRNA ligase 1, beta, cytoplasmic antibody; Phenylalanine tRNA ligase beta chain antibody; Phenylalanine--tRNA ligase beta chain antibody; phenylalanine-tRNA synthetase-like, beta subunit antibody; Phenylalanyl tRNA synthetase beta chain antibody; Phenylalanyl-tRNA synthetase beta chain antibody; phenylalanyl-tRNA synthetase beta-subunit antibody; phenylalanyl-tRNA synthetase-like, beta subunit antibody; PheRS antibody; SYFB_HUMAN antibody
-
宿主:Rabbit
-
反應種屬:Human,Mouse
-
免疫原:Fusion protein of Human FARSB
-
免疫原種屬:Homo sapiens (Human)
-
標記方式:Non-conjugated
-
抗體亞型:IgG
-
純化方式:Antigen affinity purification
-
濃度:It differs from different batches. Please contact us to confirm it.
-
保存緩沖液:-20°C, pH7.4 PBS, 0.05% NaN3, 40% Glycerol
-
產品提供形式:Liquid
-
應用范圍:ELISA,WB,IHC
-
推薦稀釋比:
Application Recommended Dilution ELISA 1:1000-1:2000 WB 1:200-1:1000 IHC 1:25-1:100 -
Protocols:
-
儲存條件:Upon receipt, store at -20°C or -80°C. Avoid repeated freeze.
-
貨期:Basically, we can dispatch the products out in 1-3 working days after receiving your orders. Delivery time maybe differs from different purchasing way or location, please kindly consult your local distributors for specific delivery time.
-
用途:For Research Use Only. Not for use in diagnostic or therapeutic procedures.
相關產品
靶點詳情
-
基因功能參考文獻:
- Human PheRS recognizes C74, the G1-C72 base pair, and the "discriminator" base A73, proposed to contribute to tRNA(Phe) identity in the yeast mitochondrial enzyme. PMID: 22137894
- Structure of human cytosolic phenylalanyl-tRNA synthetase: evidence for kingdom-specific design of the active sites and tRNA binding patterns PMID: 20223217
-
亞細胞定位:Cytoplasm.
-
蛋白家族:Phenylalanyl-tRNA synthetase beta subunit family, Type 2 subfamily
-
數據庫鏈接:
Most popular with customers
-
-
-
-
-
-
-
-
VDAC1 Recombinant Monoclonal Antibody
Applications: ELISA, WB, IHC
Species Reactivity: Human, Mouse, Rat















