FAR1 Antibody
-
中文名稱:FAR1兔多克隆抗體
-
貨號:CSB-PA837860LA01HU
-
規格:¥440
-
圖片:
-
IHC image of CSB-PA837860LA01HU diluted at 1:300 and staining in paraffin-embedded human breast cancer performed on a Leica BondTM system. After dewaxing and hydration, antigen retrieval was mediated by high pressure in a citrate buffer (pH 6.0). Section was blocked with 10% normal goat serum 30min at RT. Then primary antibody (1% BSA) was incubated at 4°C overnight. The primary is detected by a biotinylated secondary antibody and visualized using an HRP conjugated SP system.
-
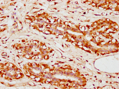
IHC image of CSB-PA837860LA01HU diluted at 1:300 and staining in paraffin-embedded human prostate cancer performed on a Leica BondTM system. After dewaxing and hydration, antigen retrieval was mediated by high pressure in a citrate buffer (pH 6.0). Section was blocked with 10% normal goat serum 30min at RT. Then primary antibody (1% BSA) was incubated at 4°C overnight. The primary is detected by a biotinylated secondary antibody and visualized using an HRP conjugated SP system.
-
-
其他:
產品詳情
-
產品名稱:Rabbit anti-Homo sapiens (Human) FAR1 Polyclonal antibody
-
Uniprot No.:
-
基因名:FAR1
-
別名:FAR1; MLSTD2; UNQ2423/PRO4981; Fatty acyl-CoA reductase 1; Male sterility domain-containing protein 2
-
宿主:Rabbit
-
反應種屬:Human
-
免疫原:Recombinant Human Fatty acyl-CoA reductase 1 protein (182-343AA)
-
免疫原種屬:Homo sapiens (Human)
-
標記方式:Non-conjugated
本頁面中的產品,FAR1 Antibody (CSB-PA837860LA01HU),的標記方式是Non-conjugated。對于FAR1 Antibody,我們還提供其他標記。見下表:
-
克隆類型:Polyclonal
-
抗體亞型:IgG
-
純化方式:>95%, Protein G purified
-
濃度:It differs from different batches. Please contact us to confirm it.
-
保存緩沖液:Preservative: 0.03% Proclin 300
Constituents: 50% Glycerol, 0.01M PBS, pH 7.4 -
產品提供形式:Liquid
-
應用范圍:ELISA, IHC
-
推薦稀釋比:
Application Recommended Dilution IHC 1:200-1:500 -
Protocols:
-
儲存條件:Upon receipt, store at -20°C or -80°C. Avoid repeated freeze.
-
貨期:Basically, we can dispatch the products out in 1-3 working days after receiving your orders. Delivery time maybe differs from different purchasing way or location, please kindly consult your local distributors for specific delivery time.
-
用途:For Research Use Only. Not for use in diagnostic or therapeutic procedures.
相關產品
靶點詳情
-
功能:Catalyzes the reduction of saturated and unsaturated C16 or C18 fatty acyl-CoA to fatty alcohols. It plays an essential role in the production of ether lipids/plasmalogens which synthesis requires fatty alcohols. In parallel, it is also required for wax monoesters production since fatty alcohols also constitute a substrate for their synthesis.
-
基因功能參考文獻:
- A peroxisomal disorder of severe intellectual disability, epilepsy, and cataracts due to fatty acyl-CoA reductase 1 deficiency. PMID: 25439727
- Expression of Far1 increased plasmalogen synthesis in wild-type Chinese hamster ovary cells, strongly suggesting that Far1 is a rate-limiting enzyme for plasmalogen synthesis. PMID: 24108123
- ether lipid biosynthesis in mammalian cells is regulated by a negative feedback mechanism that senses cellular plasmalogen levels and appropriately increases or decreases Far1 PMID: 20071337
-
相關疾病:Peroxisomal fatty acyl-CoA reductase 1 disorder (PFCRD)
-
亞細胞定位:Peroxisome membrane; Single-pass membrane protein.
-
蛋白家族:Fatty acyl-CoA reductase family
-
數據庫鏈接:
Most popular with customers
-
-
YWHAB Recombinant Monoclonal Antibody
Applications: ELISA, WB, IHC, IF, FC
Species Reactivity: Human, Mouse, Rat
-
-
-
-
-
-















