FANK1 Antibody
-
中文名稱:FANK1兔多克隆抗體
-
貨號:CSB-PA819458HA01HU
-
規格:¥440
-
圖片:
-
Immunofluorescence staining of MCF-7 cells with CSB-PA819458HA01HU at 1:333, counter-stained with DAPI. The cells were fixed in 4% formaldehyde, permeabilized using 0.2% Triton X-100 and blocked in 10% normal Goat Serum. The cells were then incubated with the antibody overnight at 4°C. The secondary antibody was Alexa Fluor 488-congugated AffiniPure Goat Anti-Rabbit IgG(H+L).
-
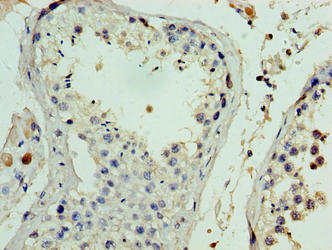
Immunohistochemistry of paraffin-embedded human testis tissue using CSB-PA819458HA01HU at dilution of 1:100
-
-
其他:
產品詳情
-
產品名稱:Rabbit anti-Homo sapiens (Human) FANK1 Polyclonal antibody
-
Uniprot No.:
-
基因名:
-
別名:1700007B22Rik antibody; AI850911 antibody; Fank1 antibody; FANK1_HUMAN antibody; Fibronectin type 3 and ankyrin repeat domains 1 antibody; Fibronectin type 3 and ankyrin repeat domains protein 1 antibody; Fibronectin type III and ankyrin repeat domains 1 antibody; HSD13 antibody
-
宿主:Rabbit
-
反應種屬:Human
-
免疫原:Recombinant Human Fibronectin type 3 and ankyrin repeat domains protein 1 protein (1-345AA)
-
免疫原種屬:Homo sapiens (Human)
-
標記方式:Non-conjugated
本頁面中的產品,FANK1 Antibody (CSB-PA819458HA01HU),的標記方式是Non-conjugated。對于FANK1 Antibody,我們還提供其他標記。見下表:
-
克隆類型:Polyclonal
-
抗體亞型:IgG
-
純化方式:>95%, Protein G purified
-
濃度:It differs from different batches. Please contact us to confirm it.
-
保存緩沖液:Preservative: 0.03% Proclin 300
Constituents: 50% Glycerol, 0.01M PBS, PH 7.4 -
產品提供形式:Liquid
-
應用范圍:ELISA, IHC, IF
-
推薦稀釋比:
Application Recommended Dilution IHC 1:20-1:200 IF 1:50-1:500 -
Protocols:
-
儲存條件:Upon receipt, store at -20°C or -80°C. Avoid repeated freeze.
-
貨期:Basically, we can dispatch the products out in 1-3 working days after receiving your orders. Delivery time maybe differs from different purchasing way or location, please kindly consult your local distributors for specific delivery time.
-
用途:For Research Use Only. Not for use in diagnostic or therapeutic procedures.
相關產品
靶點詳情
-
功能:Through the activation of JUN and AP-1-mediated transcription, may regulate apoptosis.
-
基因功能參考文獻:
- RYBP activates FANK1-mediated activator protein 1 (AP-1) signaling pathway which contributes to tumor cell apoptosis. PMID: 27060496
- we find evidence for many novel candidates, the strongest of which is FANK1, an imprinted gene that suppresses apoptosis, is expressed during meiosis in males. PMID: 25144706
- the TNfnIII 1-5 repeats play an important role in PCO pathology. PMID: 25515583
- found that Jab1 (Jun activation domain-binding protein 1), a co-activator of AP-1, specifically interacted with Fank1 PMID: 20978819
- FANK1 may have a role in regulating gene expression in the transition from the meiotic phase to the haploid phase during spermatogenesis PMID: 17604233
顯示更多
收起更多
-
亞細胞定位:Nucleus. Cytoplasm, cytosol. Cytoplasm, cytoskeleton, cilium basal body. Cell projection, cilium.
-
組織特異性:Mostly restricted to testis.
-
數據庫鏈接:
Most popular with customers
-
-
YWHAB Recombinant Monoclonal Antibody
Applications: ELISA, WB, IHC, IF, FC
Species Reactivity: Human, Mouse, Rat
-
Phospho-YAP1 (S127) Recombinant Monoclonal Antibody
Applications: ELISA, WB, IHC
Species Reactivity: Human
-
-
-
-
-















