FAM83D Antibody
-
中文名稱:FAM83D兔多克隆抗體
-
貨號:CSB-PA887979LA01HU
-
規格:¥440
-
圖片:
-
Western Blot
Positive WB detected in: K562 whole cell lysate(20μg), 293T whole cell lysate(20μg)
All lanes: FAM83D antibody at 1:1000
Secondary
Goat polyclonal to rabbit IgG at 1/20000 dilution
Predicted band size: 63, 65 kDa
Observed band size: 65 kDa
Exposure time: 120s -
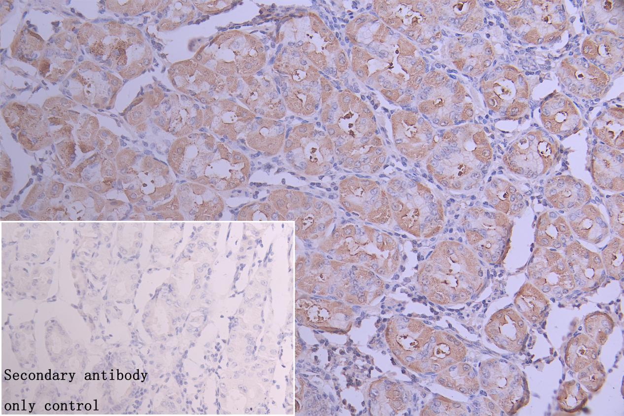
IHC image of CSB-PA887979LA01HU diluted at 1:300 and staining in paraffin-embedded human stomach tissue performed on a Leica BondTM system. After dewaxing and hydration, antigen retrieval was mediated by high pressure in a citrate buffer (pH 6.0). Section was blocked with 10% normal goat serum 30min at RT. Then primary antibody (1% BSA) was incubated at 4°C overnight. The primary is detected by a Goat anti-rabbit polymer IgG labeled by HRP and visualized using 0.05% DAB. Secondary antibody only control: uses 1% BSA instead of primary antibody
-
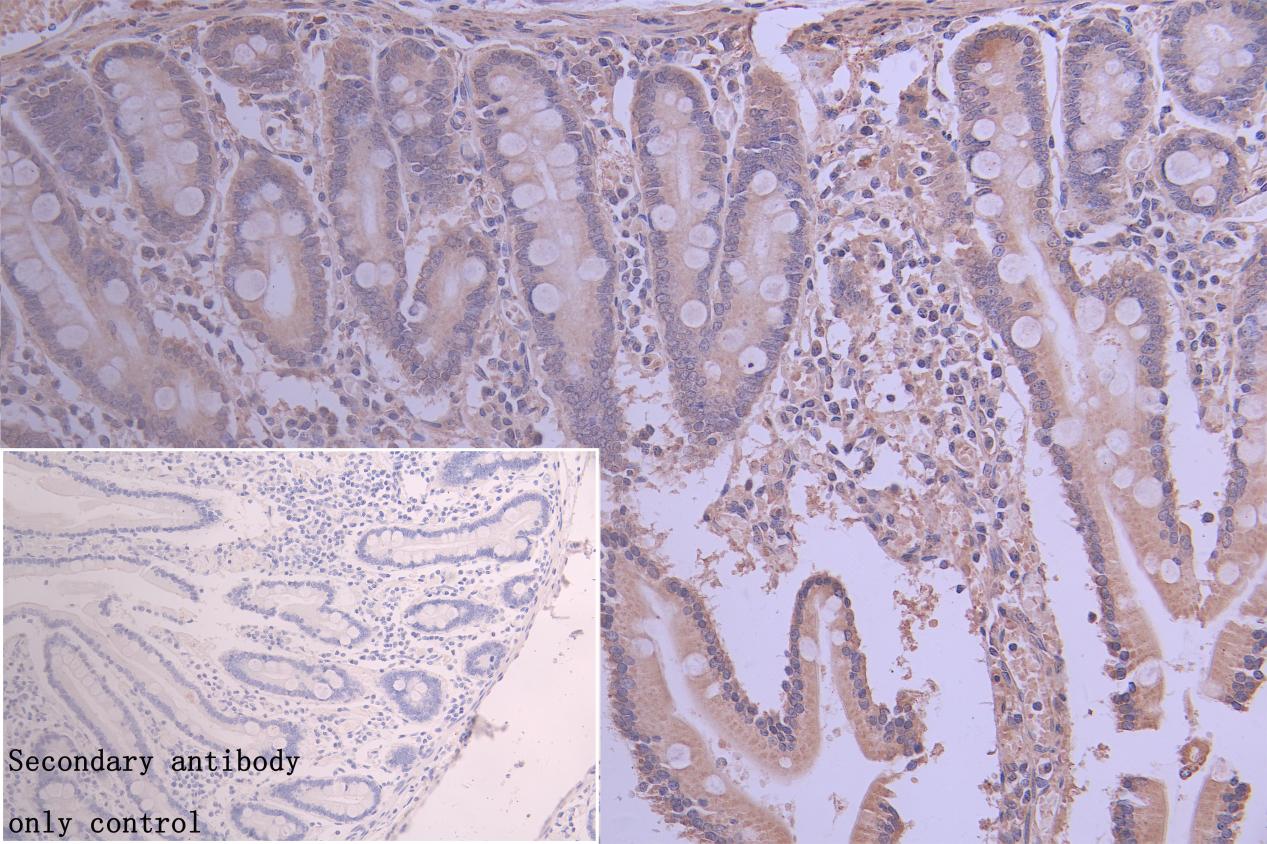
IHC image of CSB-PA887979LA01HU diluted at 1:300 and staining in paraffin-embedded human gastric tissue performed on a Leica BondTM system. After dewaxing and hydration, antigen retrieval was mediated by high pressure in a citrate buffer (pH 6.0). Section was blocked with 10% normal goat serum 30min at RT. Then primary antibody (1% BSA) was incubated at 4°C overnight. The primary is detected by a Goat anti-rabbit polymer IgG labeled by HRP and visualized using 0.05% DAB. Secondary antibody only control: uses 1% BSA instead of primary antibody
-
-
其他:
產品詳情
-
產品描述:
FAM83D antibody is generated from rabbits immunized with a recombinant peptide between 339-470 amino acids from the human FAM83D. Its purity is greater than 95% using protein G purified. This FAM83D antibody can be used to detect the human FAM83D protein in ELISA, WB, and IF applications.
The FAM83D protein mainly regulates cell proliferation and differentiation. It has been shown to promote epithelial-mesenchymal transition (EMT) by activating the expression of genes that are involved in cell migration and invasion. FAM83D dysregulation has been associated with various pathological conditions, including cancer, inflammatory disorders, and developmental defects.
-
產品名稱:Rabbit anti-Homo sapiens (Human) FAM83D Polyclonal antibody
-
Uniprot No.:
-
基因名:FAM83D
-
別名:2310007D09Rik antibody; BB104611 antibody; C20orf129 antibody; CHICA antibody; dJ616B8.3 antibody; FA83D antibody; FA83D_HUMAN antibody; FAM83D antibody; Family with sequence similarity 83; member D antibody; FLJ38341 antibody; MGC92947 antibody; Protein FAM83D antibody; RGD1565583 antibody; RP23-119H5.1 antibody; Spindle protein CHICA antibody
-
宿主:Rabbit
-
反應種屬:Human
-
免疫原:Recombinant Human Protein FAM83D protein (339-470AA)
-
免疫原種屬:Homo sapiens (Human)
-
標記方式:Non-conjugated
本頁面中的產品,FAM83D Antibody (CSB-PA887979LA01HU),的標記方式是Non-conjugated。對于FAM83D Antibody,我們還提供其他標記。見下表:
-
克隆類型:Polyclonal
-
抗體亞型:IgG
-
純化方式:Antigen?affinity?purification
-
濃度:It differs from different batches. Please contact us to confirm it.
-
保存緩沖液:Preservative: 0.03% Proclin 300
Constituents: 50% Glycerol, 0.01M PBS, pH 7.4 -
產品提供形式:Liquid
-
應用范圍:ELISA, WB, IHC
-
推薦稀釋比:
Application Recommended Dilution WB 1:500-1:5000 IHC 1:100-1:300 -
Protocols:
-
儲存條件:Upon receipt, store at -20°C or -80°C. Avoid repeated freeze.
-
貨期:Basically, we can dispatch the products out in 1-3 working days after receiving your orders. Delivery time maybe differs from different purchasing way or location, please kindly consult your local distributors for specific delivery time.
-
用途:For Research Use Only. Not for use in diagnostic or therapeutic procedures.
相關產品
靶點詳情
-
功能:Through the degradation of FBXW7, may act indirectly on the expression and downstream signaling of MTOR, JUN and MYC. May play also a role in cell proliferation through activation of the ERK1/ERK2 signaling cascade. May also be important for proper chromosome congression and alignment during mitosis through its interaction with KIF22.
-
基因功能參考文獻:
- FAM83D promotes HCC recurrence by promoting CD44 expression and CD44+ CSCs malignancy. PMID: 27769048
- Higher level of FAM83D expression is positively correlated with an increase in genome instability in many cancer. PMID: 26678035
- upregulation of FAM83D, a potential oncotarget gene, may be triggered by epigenetic events and can contribute to hepatocarcinogenesis PMID: 26125229
- NMR-derived secondary chemical shifts and relaxation properties show that the Chica LC8 binding domain is essentially disordered with a dynamically restricted segment in one linker between motifs. PMID: 26652654
- Taken together, these results demonstrate that FAM83D is a novel oncogene in HCC development and may constitute a potential therapeutic target in HCC. PMID: 25646692
- Results demonstrate that FAM83D has prognostic value for breast cancer patients and is a novel oncogene in breast cancer development that at least in part acts through mTOR hyper-activation by inhibiting FBXW7. PMID: 24344117
- interaction partner of the chromokinesin Kid that is required for the generation of polar ejection forces and chromosome congression PMID: 18485706
顯示更多
收起更多
-
亞細胞定位:Cytoplasm. Cytoplasm, cytoskeleton, spindle. Cytoplasm, cytoskeleton, spindle pole.
-
蛋白家族:FAM83 family
-
組織特異性:Expressed in the testis.
-
數據庫鏈接:
Most popular with customers
-
-
YWHAB Recombinant Monoclonal Antibody
Applications: ELISA, WB, IHC, IF, FC
Species Reactivity: Human, Mouse, Rat
-
Phospho-YAP1 (S127) Recombinant Monoclonal Antibody
Applications: ELISA, WB, IHC
Species Reactivity: Human
-
-
-
-
-















