-
中文名稱:FAM20C兔多克隆抗體
-
貨號:CSB-PA816901LA01HU
-
規格:¥440
-
圖片:
-
Western Blot
Positive WB detected in: HepG2 whole cell lysate
All lanes: FAM20C antibody at 4.1µg/ml
Secondary
Goat polyclonal to rabbit IgG at 1/50000 dilution
Predicted band size: 67, 30 kDa
Observed band size: 67 kDa -
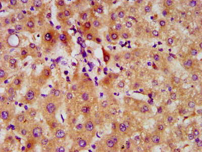
IHC image of CSB-PA816901LA01HU diluted at 1:500 and staining in paraffin-embedded human liver tissue performed on a Leica BondTM system. After dewaxing and hydration, antigen retrieval was mediated by high pressure in a citrate buffer (pH 6.0). Section was blocked with 10% normal goat serum 30min at RT. Then primary antibody (1% BSA) was incubated at 4°C overnight. The primary is detected by a biotinylated secondary antibody and visualized using an HRP conjugated SP system.
-
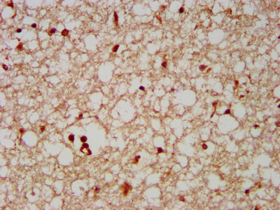
IHC image of CSB-PA816901LA01HU diluted at 1:500 and staining in paraffin-embedded human brain tissue performed on a Leica BondTM system. After dewaxing and hydration, antigen retrieval was mediated by high pressure in a citrate buffer (pH 6.0). Section was blocked with 10% normal goat serum 30min at RT. Then primary antibody (1% BSA) was incubated at 4°C overnight. The primary is detected by a biotinylated secondary antibody and visualized using an HRP conjugated SP system.
-
-
其他:
產品詳情
-
產品名稱:Rabbit anti-Homo sapiens (Human) FAM20C Polyclonal antibody
-
Uniprot No.:
-
基因名:FAM20C
-
別名:C76981 antibody; Dentin matrix protein 4 antibody; DKFZp547C074 antibody; DMP-4 antibody; DMP4 antibody; DMP4_HUMAN antibody; Extracellular serine/threonine protein kinase Fam20C antibody; Fam20c antibody; Family with sequence similarity 20 member C antibody; GEF CK antibody; Golgi enriched fraction casein kinase antibody; Protein FAM20C antibody; RNS antibody
-
宿主:Rabbit
-
反應種屬:Human
-
免疫原:Recombinant Human Extracellular serine/threonine protein kinase FAM20C protein (107-224AA)
-
免疫原種屬:Homo sapiens (Human)
-
標記方式:Non-conjugated
本頁面中的產品,FAM20C Antibody (CSB-PA816901LA01HU),的標記方式是Non-conjugated。對于FAM20C Antibody,我們還提供其他標記。見下表:
-
克隆類型:Polyclonal
-
抗體亞型:IgG
-
純化方式:>95%, Protein G purified
-
濃度:It differs from different batches. Please contact us to confirm it.
-
保存緩沖液:Preservative: 0.03% Proclin 300
Constituents: 50% Glycerol, 0.01M PBS, pH 7.4 -
產品提供形式:Liquid
-
應用范圍:ELISA, WB, IHC
-
推薦稀釋比:
Application Recommended Dilution WB 1:500-1:5000 IHC 1:500-1:1000 -
Protocols:
-
儲存條件:Upon receipt, store at -20°C or -80°C. Avoid repeated freeze.
-
貨期:Basically, we can dispatch the products out in 1-3 working days after receiving your orders. Delivery time maybe differs from different purchasing way or location, please kindly consult your local distributors for specific delivery time.
-
用途:For Research Use Only. Not for use in diagnostic or therapeutic procedures.
引用文獻
- Epigenetic and transcriptional activation of the secretory kinase FAM20C as an oncogene in glioma B Gong,Journal of Genetics and Genomics,2023
相關產品
靶點詳情
-
功能:Golgi serine/threonine protein kinase that phosphorylates secretory pathway proteins within Ser-x-Glu/pSer motifs and plays a key role in biomineralization of bones and teeth. Constitutes the main protein kinase for extracellular proteins, generating the majority of the extracellular phosphoproteome. Mainly phosphorylates proteins within the Ser-x-Glu/pSer motif, but also displays a broader substrate specificity. Phosphorylates casein as well as a number of proteins involved in biomineralization such as AMELX, AMTN, ENAM and SPP1. In addition to its role in biomineralization, also plays a role in lipid homeostasis, wound healing and cell migration and adhesion.
-
基因功能參考文獻:
- that FAM20C may affect the biomineralization by the means more than local phosphorylation of extracellular matrix proteins and systemic phosphorus homeostasis PMID: 28926103
- Histidine-rich Ca-binding protein (HRC) was phosphorylated by family with sequence similarity 20C (Fam20C) both in vitro and in vivo. PMID: 28784772
- These results suggest that TET1 potentially promotes the cytodifferentiation potential of human dental pulp cells through its DNA demethylation machinery and upregulation of FAM20C protein expression. PMID: 29277934
- findings clarify FAM20C's role in hard tissue formation and mineralization, and show that Raine syndrome is congenital sclerosing osteomalacia with cerebral calcification. PMID: 27862258
- Alterations of Fam20C activity, promoted by myriocin and sphingolipids, are not accompanied by any significant change in Fam20C protein. These data provide the proof of concept that Fam20C activity is under the control of sphingolipid signaling PMID: 28236661
- Our report reinforces that Raine syndrome is compatible with life, and that mild hypophosphatemia and amelogenesis imperfecta are key features of the attenuated form. PMID: 27667191
- The Fam20C-and VLK-family of kinases mediate the phosphorylation of proteins in the secretory pathway and extracellular space.Mutation in several secretory pathway kinases cause human disease PMID: 25862977
- by treating Fam20C expressing HEK293T cells with myriocin, a potent inhibitor of the sphingosine biosynthetic pathway, the activity of Fam20C released into the conditioned medium is substantially decreased corroborating the concept that sphingosine PMID: 25936777
- Using CRISPR/Cas9 genome editing, mass spectrometry, and biochemistry, study identifies more than 100 secreted phosphoproteins as genuine Fam20C substrates; further, study shows that Fam20C exhibits broader substrate specificity than previously appreciated. PMID: 26091039
- phenotype in two families with non-lethal Raine syndrome with FAM20C mutations PMID: 25928877
- Findings suggest that certain homozygous FAM20C mutations can cause FGF23-related hypophosphatemic osteomalacia and indicate the multiple roles of FAM20C in bone. PMID: 24982027
- Results suggest that FAM20C suppresses FGF23 production by enhancing DMP1 expression, and inactivating mutations in FAM20C cause FGF23-related hypophosphatemia by decreasing transcription of DMP1. PMID: 25026495
- We report on a child who is homozygous for a 487-kb deletion in 7p22.3 that contains FAM20C PMID: 24039075
- Fam20C phosphorylates FGF23, which promotes FGF23 proteolysis by furin by blocking O-glycosylation by polypeptide N-acetylgalactosaminyltransferase 3. PMID: 24706917
- mutations in FAM20C provide a putative new mechanism in human subjects leading to dysregulated FGF23 levels, hypophosphatemia, hyperphosphaturia, dental anomalies, intracerebral calcifications and osteosclerosis of the long bones PMID: 23325605
- Our results identify FAM20C as a kinase for secreted phosphoproteins and establish a biochemical basis for Raine syndrome. PMID: 22900076
- Fam20C appears to be the Golgi casein kinase that phosphorylates secretory pathway proteins within S-x-E motifs; Fam20C phosphorylates caseins and several secreted proteins implicated in biomineralization; mutations in Fam20C cause an osteosclerotic bone dysplasia known as Raine syndrome PMID: 22582013
- Osteosclerotic bone dysplasia in siblings with a Fam20C mutation PMID: 20825432
- This study defines the causative role of FAM20C in this lethal osteosclerotic disorder and its crucial role in normal bone development. PMID: 17924334
- Mutation of FAM20C does not always lead to the infantile lethality previously seen as a prerequisite for Raine syndrome diagnosis. PMID: 19250384
顯示更多
收起更多
-
相關疾病:Raine syndrome (RNS)
-
亞細胞定位:Secreted. Golgi apparatus.
-
蛋白家族:FAM20 family
-
組織特異性:Widely expressed.
-
數據庫鏈接:
Most popular with customers
-
-
Phospho-YAP1 (S127) Recombinant Monoclonal Antibody
Applications: ELISA, WB, IHC
Species Reactivity: Human
-
-
-
-
-
-















