FAM110C Antibody
-
中文名稱:FAM110C兔多克隆抗體
-
貨號:CSB-PA637287LA01HU
-
規格:¥440
-
圖片:
-
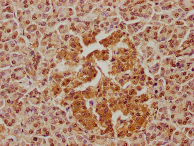
IHC image of CSB-PA637287LA01HU diluted at 1:100 and staining in paraffin-embedded human pancreatic tissue performed on a Leica BondTM system. After dewaxing and hydration, antigen retrieval was mediated by high pressure in a citrate buffer (pH 6.0). Section was blocked with 10% normal goat serum 30min at RT. Then primary antibody (1% BSA) was incubated at 4°C overnight. The primary is detected by a biotinylated secondary antibody and visualized using an HRP conjugated SP system.
-
-
其他:
產品詳情
-
產品名稱:Rabbit anti-Homo sapiens (Human) FAM110C Polyclonal antibody
-
Uniprot No.:
-
基因名:FAM110C
-
別名:FAM110CProtein FAM110C antibody
-
宿主:Rabbit
-
反應種屬:Human
-
免疫原:Recombinant Human Protein FAM110C protein (50-321AA)
-
免疫原種屬:Homo sapiens (Human)
-
標記方式:Non-conjugated
本頁面中的產品,FAM110C Antibody (CSB-PA637287LA01HU),的標記方式是Non-conjugated。對于FAM110C Antibody,我們還提供其他標記。見下表:
-
克隆類型:Polyclonal
-
抗體亞型:IgG
-
純化方式:Antigen Affinity Purified
-
濃度:It differs from different batches. Please contact us to confirm it.
-
保存緩沖液:Preservative: 0.03% Proclin 300
Constituents: 50% Glycerol, 0.01M PBS, pH 7.4 -
產品提供形式:Liquid
-
應用范圍:ELISA, IHC
-
推薦稀釋比:
Application Recommended Dilution IHC 1:20-1:200 -
Protocols:
-
儲存條件:Upon receipt, store at -20°C or -80°C. Avoid repeated freeze.
-
貨期:Basically, we can dispatch the products out in 1-3 working days after receiving your orders. Delivery time maybe differs from different purchasing way or location, please kindly consult your local distributors for specific delivery time.
-
用途:For Research Use Only. Not for use in diagnostic or therapeutic procedures.
相關產品
靶點詳情
-
功能:May play a role in microtubule organization. May play a role in cell spreading and cell migration of epithelial cells; the function may involve the AKT1 signaling pathway.
-
基因功能參考文獻:
- Depletion of FAM110C by short interfering RNA reduced integrin-mediated filopodia formation, hepatocyte growth factor-induced migration, and phosphorylation of the Akt1 kinase in the epithelial cell line HepG2. PMID: 19698782
- Ectopic eexpression impairs cell cycle progression through the G1 phase; overexpression induces aberrant microtubules. PMID: 17499476
-
亞細胞定位:Cytoplasm, cytoskeleton. Cytoplasm, cytoskeleton, microtubule organizing center, centrosome. Cytoplasm, cytoskeleton, spindle pole. Nucleus.
-
蛋白家族:FAM110 family
-
組織特異性:Detected in stomach, thyroid, trachea, adrenal gland and testis, and at low levels in prostate, ovary, intestine, colon, spinal cord and lymph node.
-
數據庫鏈接:
Most popular with customers
-
-
YWHAB Recombinant Monoclonal Antibody
Applications: ELISA, WB, IHC, IF, FC
Species Reactivity: Human, Mouse, Rat
-
Phospho-YAP1 (S127) Recombinant Monoclonal Antibody
Applications: ELISA, WB, IHC
Species Reactivity: Human
-
-
-
-
-















