FAM110B Antibody
-
中文名稱:FAM110B兔多克隆抗體
-
貨號:CSB-PA008005LA01HU
-
規格:¥440
-
圖片:
-
Western blot
All lanes: Prootein FAM110B antibody at 2μg/ml
Lane 1: Mouse sexual gland tissue
Lane 2: HepG2 whole cell lysate
Lane 3: Mouse spleen tissue
Lane 4: A431 whole cell lysate
Secondary
Goat polyclonal to rabbit IgG at 1/10000 dilution
Predicted band size: 41 kDa
Observed band size: 41 kDa -
Immunohistochemistry of paraffin-embedded human placenta tissue using CSB-PA008005LA01HU at dilution of 1:50
-
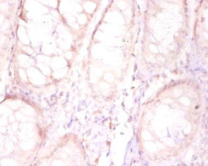
Immunohistochemistry of paraffin-embedded human colon cancer using CSB-PA008005LA01HU at dilution of 1:50
-
-
其他:
產品詳情
-
產品名稱:Rabbit anti-Homo sapiens (Human) FAM110B Polyclonal antibody
-
Uniprot No.:
-
基因名:FAM110B
-
別名:FAM110B antibody; C8orf72Protein FAM110B antibody
-
宿主:Rabbit
-
反應種屬:Human, Mouse
-
免疫原:Recombinant Human Protein FAM110B protein (1-370AA)
-
免疫原種屬:Homo sapiens (Human)
-
標記方式:Non-conjugated
本頁面中的產品,FAM110B Antibody (CSB-PA008005LA01HU),的標記方式是Non-conjugated。對于FAM110B Antibody,我們還提供其他標記。見下表:
-
克隆類型:Polyclonal
-
抗體亞型:IgG
-
純化方式:>95%, Protein G purified
-
濃度:It differs from different batches. Please contact us to confirm it.
-
保存緩沖液:Preservative: 0.03% Proclin 300
Constituents: 50% Glycerol, 0.01M PBS, PH 7.4 -
產品提供形式:Liquid
-
應用范圍:ELISA, WB, IHC
-
推薦稀釋比:
Application Recommended Dilution WB 1:1000-1:5000 IHC 1:20-1:200 -
Protocols:
-
儲存條件:Upon receipt, store at -20°C or -80°C. Avoid repeated freeze.
-
貨期:Basically, we can dispatch the products out in 1-3 working days after receiving your orders. Delivery time maybe differs from different purchasing way or location, please kindly consult your local distributors for specific delivery time.
-
用途:For Research Use Only. Not for use in diagnostic or therapeutic procedures.
相關產品
靶點詳情
-
功能:May be involved in tumor progression.
-
基因功能參考文獻:
- FAM110B was able to regulate androgen receptor signaling in prostate cancer cells and FAM110B itself was regulated by androgens. FAM110B siRNA inhibited the growth of prostate cancer cells in vitro. PMID: 21919029
- Localizes to centrosomes and accumulates at the microtubule organization center in interphase and at spindle poles in mitosis; ectopic expression impairs cell cycle progression in the G1 phase. PMID: 17499476
-
亞細胞定位:Cytoplasm. Cytoplasm, cytoskeleton, microtubule organizing center, centrosome.
-
蛋白家族:FAM110 family
-
組織特異性:Detected in thyroid, spleen and testis, and at lower levels in stomach, spinal cord, lymph node, trachea, adrenal gland, prostate, ovary and intestine.
-
數據庫鏈接:
Most popular with customers
-
-
YWHAB Recombinant Monoclonal Antibody
Applications: ELISA, WB, IHC, IF, FC
Species Reactivity: Human, Mouse, Rat
-
Phospho-YAP1 (S127) Recombinant Monoclonal Antibody
Applications: ELISA, WB, IHC
Species Reactivity: Human
-
-
-
-
-















