FAM107A Antibody
-
中文名稱:FAM107A兔多克隆抗體
-
貨號:CSB-PA775661
-
規格:¥1100
-
圖片:
-
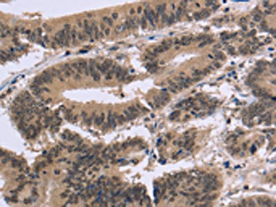
The image on the left is immunohistochemistry of paraffin-embedded Human colon cancer tissue using CSB-PA775661(FAM107A Antibody) at dilution 1/30, on the right is treated with fusion protein. (Original magnification: ×200)
-
The image on the left is immunohistochemistry of paraffin-embedded Human brain tissue using CSB-PA775661(FAM107A Antibody) at dilution 1/30, on the right is treated with fusion protein. (Original magnification: ×200)
-
-
其他:
產品詳情
-
Uniprot No.:
-
基因名:FAM107A
-
別名:Down regulated in renal cell carcinoma 1 antibody; Down-regulated in renal cell carcinoma 1 antibody; Downregulated in renal cell carcinoma antibody; DRR1 antibody; F107A_HUMAN antibody; FAM107A antibody; Family with sequence similarity 107; member A antibody; FLJ30158 antibody; FLJ45473 antibody; Protein FAM107A antibody; Protein TU3A antibody; TU3A antibody
-
宿主:Rabbit
-
反應種屬:Human
-
免疫原:Fusion protein of Human FAM107A
-
免疫原種屬:Homo sapiens (Human)
-
標記方式:Non-conjugated
-
抗體亞型:IgG
-
純化方式:Antigen affinity purification
-
濃度:It differs from different batches. Please contact us to confirm it.
-
保存緩沖液:-20°C, pH7.4 PBS, 0.05% NaN3, 40% Glycerol
-
產品提供形式:Liquid
-
應用范圍:ELISA,IHC
-
推薦稀釋比:
Application Recommended Dilution ELISA 1:2000-1:5000 IHC 1:50-1:200 -
Protocols:
-
儲存條件:Upon receipt, store at -20°C or -80°C. Avoid repeated freeze.
-
貨期:Basically, we can dispatch the products out in 1-3 working days after receiving your orders. Delivery time maybe differs from different purchasing way or location, please kindly consult your local distributors for specific delivery time.
-
用途:For Research Use Only. Not for use in diagnostic or therapeutic procedures.
相關產品
靶點詳情
-
功能:Stress-inducible actin-binding protein that plays a role in synaptic and cognitive functions by modulating actin filamentous (F-actin) dynamics. Mediates polymerization of globular actin to F-actin. Also binds to, stabilizes and bundles F-actin. Involved in synaptic function by regulating neurite outgrowth in an actin-dependent manner and for the acquisition of hippocampus-dependent cognitive function, such as learning and long-term memory. Plays a role in the actin and microtubule cytoskeleton organization; negatively regulates focal adhesion (FA) assembly promoting malignant glial cell migration in an actin-, microtubule- and MAP1A-dependent manner. Also involved in neuroblastoma G1/S phase cell cycle progression and cell proliferation inhibition by stimulating ubiquitination of NF-kappa-B subunit RELA and NF-kappa-B degradation in a COMMD1- and actin-dependent manner. May play a role in tumor development.
-
基因功能參考文獻:
- This study has thus revealed a novel nuclear complex of F-actin, DRR1 and COMMD1 that is involved in NF-kappaB degradation and cell cycle suppression in neuroblastoma cells. PMID: 28604741
- Importance of FAM107A in lung carcinogenesis, although other than promoter hypermethylation mechanism of the gene decreased expression. PMID: 25753555
- Results found that DRR expression leads to elevated AKT activation by recruiting AKT to focal adhesios in a manner dependent on SRC-family kinases (SFKs) and cell adhesion. PMID: 24141773
- DRR1 protein is expressed in normal cells, particularly in the nervous system during embryogenesis, is involved in neuronal cell survival, and is downregulated during neuroblastoma carcinogenesis. PMID: 20298674
- Expression of the down-regulated in renal cell carcinoma gene (DRR1) gene at 3p14.2 was lost in 7 and down regulated in 2 "chr3+" tumours. PMID: 16432833
- TU3A is epigenetically inactivated in human cancer PMID: 18813805
顯示更多
收起更多
-
亞細胞定位:Nucleus. Cytoplasm, cytoskeleton, stress fiber. Cell junction, focal adhesion. Cell projection, ruffle membrane. Cell junction, synapse.
-
蛋白家族:FAM107 family
-
組織特異性:Widely expressed. Expressed in neurons. Expressed in malignant glial tumors. Expression is reduced or absent in a number of cancer cell lines.
-
數據庫鏈接:
Most popular with customers
-
-
YWHAB Recombinant Monoclonal Antibody
Applications: ELISA, WB, IHC, IF, FC
Species Reactivity: Human, Mouse, Rat
-
Phospho-YAP1 (S127) Recombinant Monoclonal Antibody
Applications: ELISA, WB, IHC
Species Reactivity: Human
-
-
-
-
-















