FAIM3 Antibody
-
中文名稱:FAIM3兔多克隆抗體
-
貨號:CSB-PA127416
-
規格:¥1100
-
圖片:
-
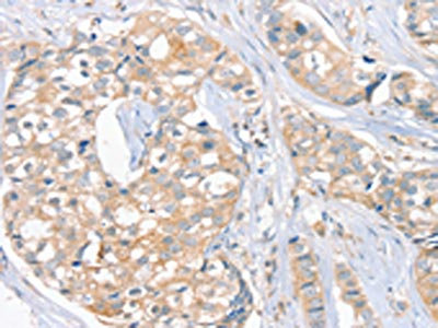
The image on the left is immunohistochemistry of paraffin-embedded Human breast cancer tissue using CSB-PA127416(FAIM3 Antibody) at dilution 1/20, on the right is treated with fusion protein. (Original magnification: ×200)
-
Gel: 8%SDS-PAGE, Lysate: 40 μg, Lane: Human lymphoma tissue, Primary antibody: CSB-PA127416(FAIM3 Antibody) at dilution 1/200, Secondary antibody: Goat anti rabbit IgG at 1/8000 dilution, Exposure time: 40 seconds
-
-
其他:
產品詳情
-
Uniprot No.:
-
基因名:FCMR
-
別名:FCMR; FAIM3; TOSO; Fas apoptotic inhibitory molecule 3; IgM Fc fragment receptor; Regulator of Fas-induced apoptosis Toso
-
宿主:Rabbit
-
反應種屬:Human
-
免疫原:Fusion protein of Human FAIM3
-
免疫原種屬:Homo sapiens (Human)
-
標記方式:Non-conjugated
-
抗體亞型:IgG
-
純化方式:Antigen affinity purification
-
濃度:It differs from different batches. Please contact us to confirm it.
-
保存緩沖液:-20°C, pH7.4 PBS, 0.05% NaN3, 40% Glycerol
-
產品提供形式:Liquid
-
應用范圍:ELISA,WB,IHC
-
推薦稀釋比:
Application Recommended Dilution ELISA 1:1000-1:2000 WB 1:200-1:1000 IHC 1:20-1:100 -
Protocols:
-
儲存條件:Upon receipt, store at -20°C or -80°C. Avoid repeated freeze.
-
貨期:Basically, we can dispatch the products out in 1-3 working days after receiving your orders. Delivery time maybe differs from different purchasing way or location, please kindly consult your local distributors for specific delivery time.
-
用途:For Research Use Only. Not for use in diagnostic or therapeutic procedures.
相關產品
靶點詳情
-
功能:May play a role in the immune system processes. Protects cells from FAS-, TNF alpha- and FADD-induced apoptosis without increasing expression of the inhibitors of apoptosis BCL2 and BCLXL. Seems to activate an inhibitory pathway that prevents CASP8 activation following FAS stimulation, rather than blocking apoptotic signals downstream. May inhibit FAS-induced apoptosis by preventing CASP8 processing through CFLAR up-regulation.
-
基因功能參考文獻:
- Overexpression of TOSO gene is associated with chronic lymphocytic leukemia. PMID: 21264533
- Toso/FcmuR is an IgM receptor capable of activating signaling molecules and whose expression alone is not inherently antiapoptotic. PMID: 22675200
- Overexpression of TOSO in chronic lymphocytic leukemia is associated with disease progression. PMID: 21756805
- Enhanced levels of both membrane-bound and soluble forms of FcmuR in CLL patients. PMID: 21908424
- TOSO/FAIM3 may play a role in immune surveillance and contribute to B cell activation PMID: 21908732
- TOSO is overexpressed and correlated with disease progression in chronic lymphocytic leukemia. PMID: 21133733
- This review focuses on possible functional consequences of Plasmodium falciparum EMP1 protein interaction with the IgM receptor, including interference with immunologic signaling and clearance mechanisms and blocking of specific antibody binding. PMID: 20410497
- These results identify TOSO/FAIM3 as a receptor for IgM PMID: 20042454
- enzymatically modified-LDL-generated foam cells are protected from cell death most likely through the expression of TOSO by a FLIP(L) independent mechanism PMID: 17553462
- demonstrated a 5.6-fold increase of TOSO protein in circulating CLL cells and lymph nodes PMID: 18434611
- association with unmutated IgV(H) and the specific induction of TOSO via the BCR suggest autoreactive BCR signaling as a key mediator of apoptosis resistance in CLL. PMID: 18708628
- TOSO as a mediator of resistance to apoptosis in chronic lymphocytic leukemia [review] PMID: 19347734
- Although this receptor was initially designated as Fas apoptotic inhibitory molecule 3, or TOSO, our results indicate that FcmuR per se has no inhibitory activity in Fas-mediated apoptosis PMID: 19858324
顯示更多
收起更多
-
亞細胞定位:[Isoform 1]: Membrane; Single-pass membrane protein.; [Isoform 3]: Secreted.
-
組織特異性:Expressed in lymph nodes, peripheral blood leukocytes, lung, thymus and kidneys. Very weak expression detected in spleen, liver, heart, and salivary gland. Expressed in lymphoid cell lines such as Jurkat, CEM-T4, MOLT-4, HB11;19 and Reh. No expression det
-
數據庫鏈接:
Most popular with customers
-
-
YWHAB Recombinant Monoclonal Antibody
Applications: ELISA, WB, IHC, IF, FC
Species Reactivity: Human, Mouse, Rat
-
Phospho-YAP1 (S127) Recombinant Monoclonal Antibody
Applications: ELISA, WB, IHC
Species Reactivity: Human
-
-
-
-
-















