F7 Antibody
-
中文名稱:F7兔多克隆抗體
-
貨號:CSB-PA007930HA01HU
-
規格:¥440
-
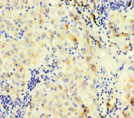
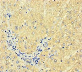
圖片:
-
其他:
產品詳情
-
產品名稱:Rabbit anti-Homo sapiens (Human) F7 Polyclonal antibody
-
Uniprot No.:
-
基因名:
-
別名:coagulation factor VII (serum prothrombin conversion accelerator) antibody; Coagulation factor VII antibody; Eptacog alfa antibody; F7 antibody; FA7_HUMAN antibody; Factor VII antibody; Factor VII heavy chain antibody; Factor VII light chain antibody; FVII coagulation protein antibody; OTTHUMP00000018733 antibody; OTTHUMP00000018734 antibody; Proconvertin antibody; Serum prothrombin conversion accelerator antibody; SPCA antibody
-
宿主:Rabbit
-
反應種屬:Human
-
免疫原:Recombinant Human Coagulation factor VII protein (61-212AA)
-
免疫原種屬:Homo sapiens (Human)
-
標記方式:Non-conjugated
本頁面中的產品,F7 Antibody (CSB-PA007930HA01HU),的標記方式是Non-conjugated。對于F7 Antibody,我們還提供其他標記。見下表:
-
克隆類型:Polyclonal
-
抗體亞型:IgG
-
純化方式:>95%, Protein G purified
-
濃度:It differs from different batches. Please contact us to confirm it.
-
保存緩沖液:Preservative: 0.03% Proclin 300
Constituents: 50% Glycerol, 0.01M PBS, PH 7.4 -
產品提供形式:Liquid
-
應用范圍:ELISA, IHC
-
推薦稀釋比:
Application Recommended Dilution IHC 1:20-1:200 -
Protocols:
-
儲存條件:Upon receipt, store at -20°C or -80°C. Avoid repeated freeze.
-
貨期:Basically, we can dispatch the products out in 1-3 working days after receiving your orders. Delivery time maybe differs from different purchasing way or location, please kindly consult your local distributors for specific delivery time.
-
用途:For Research Use Only. Not for use in diagnostic or therapeutic procedures.
相關產品
靶點詳情
-
功能:Initiates the extrinsic pathway of blood coagulation. Serine protease that circulates in the blood in a zymogen form. Factor VII is converted to factor VIIa by factor Xa, factor XIIa, factor IXa, or thrombin by minor proteolysis. In the presence of tissue factor and calcium ions, factor VIIa then converts factor X to factor Xa by limited proteolysis. Factor VIIa will also convert factor IX to factor IXa in the presence of tissue factor and calcium.
-
基因功能參考文獻:
- TF-FVIIa/trypsin-mediated PAR2 activation leads to enhanced MMP-2 expression in human breast cancer cells contributing to tumor progression. PMID: 29870887
- The current meta-analysis suggested that polymorphism of R353Q in factor VII was not associated with the MI risk. PMID: 30278561
- The obtained results suggest a possible protective role of Gln353 and -122C alleles in Recurrent Miscarriage. PMID: 27504943
- FVIIa-antithrombin levels in early and late preeclampsia PMID: 28887028
- model predicts that small vesicles promote activation of FX by the extrinsic tenase (VIIa/TF) significantly better than large vesicles PMID: 28935233
- Low levels of FVII:C and FVIIa reflected the degree of consumption of the coagulation factor among paediatric sepsis patients with disseminated intravascular coagulation. PMID: 28492702
- Report a good correlation between the type of F7 mutation and/or polymorphisms and FVII:C levels, without a direct link between FVII:C and bleeding tendency in factor VII deficiencies. PMID: 28447100
- Polymorphism rs6046 of the FVII gene is associated with the development of fetal growth retardation in Central Russia. PMID: 28544373
- A common pathogenic mechanism, possibly a defective folding of the mutant proteins, was triggered by the FVII mutations. The misfolded state led to impaired trafficking of these proteins causing Endoplasmic reticulum retention, which would explain the low to very low FVII plasma levels observed in patients carrying these mutations. PMID: 29246447
- FVIIa-antithrombin but not FVIIa is a ligand for LRP1, and LRP1 contributes to the clearance of FVIIa-antithrombin in vivo PMID: 27614059
- heterozygotes for FVII deficiency show rare bleeding manifestations which are also present in the unaffected family members with normal FVII levels. This indicates that Factor VII activity levels played no role in the occurrence of the bleeding symptoms. Furthermore, FVII levels of around 0.40 IU/dl are capable of assuring a normal hemostasis. PMID: 28176610
- plasma FVIIa-AT has a thrombophilic role in total and cardiovascular mortality risk in patients with clinically stable stable coronary artery PMID: 27061056
- Family-based association study revealed that the G allele of Protein Z rs2273971, and haplotypes GA, CG, and CGA of Protein Z and factor VII had a significant effect on cerebral hemorrhage susceptibility. PMID: 27350683
- Our study findings suggest a link between FVII and AR in prostate cancer pathogenesis. PMID: 27434295
- Suggest that the hemostatic effect of pharmacological doses of rFVIIa in antibody-induced hemophilia mice stems from a TF-independent mechanism PMID: 26727350
- Large deletions play a minor but essential role in the mutational spectrum of the F7 and F10 genes. Copy number analyses (e. g. MLPA) should be considered if sequencing cannot clarify the underlying reason of an observed coagulopathy. Of note, in cases of combined FVII/FX deficiency, a deletion of the two contiguous genes might be part of a larger chromosomal rearrangement. PMID: 26540129
- Holders of the R allele had significantly higher activity of coagulation factor F7 (97.66 +/- 15.48 against 83.37 +/- 15.16, p = 0.002) and factor F2 (107.45 +/- 6.03 against 103.75 +/- 6.81, p = 0.023) than holders of the Q allele PMID: 27215039
- The aim of the study was to evaluate the molecular basis behind low levels of FVII activity (FVII:C) levels in a cohort of Brazilian patients. PMID: 25828579
- Decreased plasma levels of FVIIa in patients with deep vein thrombosis may indicate ongoing consumption of FVIIa and suggest a contributory role for TF in venous thrombus formation. PMID: 25891834
- The story of FVII well summarizes the efforts of both theoretical and clinical approaches in the characterization of a coagulation disorder, that is, among the rare bleeding conditions, most frequently encountered in clinical practice. PMID: 25973586
- Identified are the FVII gene mutations in the Chinese Han population of four unrelated FVII-deficient patients, and the effect of these mutations on the function of FVII molecule level has also been elucidated. PMID: 25767893
- Letter: large volume of distribution of rFVIIa explains the persistence of some clotting potential when FVII:C is no longer detectable in plasma of patients with inherited FVII deficiency. PMID: 24763923
- Structural differences in the carboxyl-terminus between the inherited FVII and the therapeutic molecules contributed to the immune response. A naturally-occurring, poorly secreted and 5-residue truncated FVII (FVII-462X) escaped inhibition. PMID: 25104096
- Polymorphism R353Q (coagulation factor VII) does not represent a protective or risk factor for acute myocardial infarction in young Mexican individuals PMID: 25393858
- Two heterozygous mutations of F7, g.11349G>A and g.11482T>G, is associated with hereditary coagulation factor deficiency. PMID: 25863091
- factor VIIa improved heat intolerance by attenuating hypothalamic neuronal apoptosis and damage. PMID: 25033928
- Results show that the conformational allosteric activation signal extends to the EGF1 domain in the light chain of factor VIIa (FVIIa). PMID: 25344622
- F7-323Ins10 was associated with lower factor VII levels, but not with individual intraventricular hemorrhage risk in preterm infants. PMID: 25179312
- Decanucleotide insertion polymorphism of factor VII significantly influences the risk of thrombosis in patients with essential thrombocythemia. PMID: 24617727
- High Coagulation factor VII expression is associated with breast cancer. PMID: 25447311
- Persistently high levels of factor VII is associated with insulin resisitance. PMID: 24344794
- The variability in Factor VII throughout the menstrual cycle in premenopausal women is no greater than for postmenopausal women or men. PMID: 24382103
- The obtained results suggest a probable protective role of -323P10 allele against the risk of miscarriage in women with > or = 3 recurrent pregnancy losses. PMID: 25219139
- plasma level is associated with ischemic stroke subtypes PMID: 24048512
- Results suggest no association between R353Q polymorphism for factor VII and the presence or progression of coronary artery disease in the Iranian population. PMID: 24469878
- Identification of a homozygous mutation in exon 8 of coagulation FVII that is responsible for factor VII deficiency in a Chinese pedigree. PMID: 23672839
- Eight missense mutations were identified on the Factor 7 gene (p.Cys82Tyr, p.Cys322Ser, p.Leu357Phe, p.Thr410Ala, c-57C>T) PMID: 23731332
- Data indicate that nanobilayers containing phosphatidic acid (PA) bound substantially more of two proteins, factor VIIa and activated protein C, than did equivalent bilayers containing phosphatidylserine (PS). PMID: 23879866
- Data indicate that the interlaboratory precision was better for normal specimens than for factor VII (FVII) <20 U/dL with a mean coefficient of variation (CV) of 17.2% per specimen. PMID: 23590660
- Polymorphisms in the coagulation factor VII gene modulate the susceptibility to coronary artery disease in Tunisian Arabs. PMID: 22932775
- Rab GTPases regulate endothelial cell protein C receptor-mediated endocytosis and trafficking of factor VIIa. PMID: 23555015
- elevated FVII levels, and the -323P0/10 but not R353Q polymorphism, constitute risk factors for ACS. PMID: 23275237
- Data indicate that hfVII-LC and hIgG1-Fc can effectively inhibit tumor growth and metastases in SCID mice with tissue factor (TF) over-expressing colon cancer. PMID: 23494077
- Data suggest that plasma FVIIa-AT complex (coagulation factor VII-antithrombin III) is higher in portal vein thrombosis (PVT; without cirrhosis) than in healthy subjects; no difference in FVIIa-AT complex is observed in cirrhosis with/without PVT. PMID: 22958499
- Report comprehensive molecular analysis of FVII deficiency affected patients in North Tunisia. PMID: 22873696
- Prothromin genetic mutatation is one of the risk factor in the development of venous thromboembolism and myocardial infarction. PMID: 23382263
- glucose deprivation enhanced F7 expression in a mechanism reliant on prior ATF4 upregulation primarily due to increased transcription from the ATF4 gene. PMID: 22848420
- rs6046A allele in F7 associated with decreased blood pressure levels (P=3.7x10(-3)) and rs5355T allele in SELE associated with decreased diastolic blood pressure levels. PMID: 22815813
- Intracellular depletion of GTP results in upregulation of coagulation factor VII. PMID: 23050902
- functional analysis of lethal factor VII deficiency due to novel mutations in the F7 promoter reveals disruption of HNF4 binding site PMID: 22628013
顯示更多
收起更多
-
相關疾?。?/div>Factor VII deficiency (FA7D)亞細胞定位:Secreted.蛋白家族:Peptidase S1 family組織特異性:Plasma.數據庫鏈接:
Most popular with customers
-
-
YWHAB Recombinant Monoclonal Antibody
Applications: ELISA, WB, IHC, IF, FC
Species Reactivity: Human, Mouse, Rat
-
Phospho-YAP1 (S127) Recombinant Monoclonal Antibody
Applications: ELISA, WB, IHC
Species Reactivity: Human
-
-
-
-
-















