ESRRB Antibody
-
中文名稱:ESRRB兔多克隆抗體
-
貨號:CSB-PA798292
-
規格:¥1100
-
圖片:
-
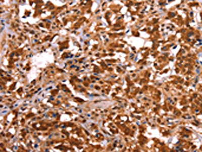
The image on the left is immunohistochemistry of paraffin-embedded Human thyroid cancer tissue using CSB-PA798292(ESRRB Antibody) at dilution 1/40, on the right is treated with synthetic peptide. (Original magnification: ×200)
-
The image on the left is immunohistochemistry of paraffin-embedded Human ovarian cancer tissue using CSB-PA798292(ESRRB Antibody) at dilution 1/40, on the right is treated with synthetic peptide. (Original magnification: ×200)
-
-
其他:
產品詳情
-
Uniprot No.:
-
基因名:
-
別名:Err 2 antibody; ERR b antibody; ERR B2 antibody; ERR beta 2 antibody; ERR beta antibody; ERR beta-2 antibody; ERR-beta antibody; Err2 antibody; ERR2_HUMAN antibody; ERRB 2 antibody; ERRb antibody; ERRB2 antibody; ERRbeta 2 antibody; ERRbeta antibody; ESR L2 antibody; ESRL 2 antibody; ESRL2 antibody; Esrrb antibody; Estrogen receptor like 2 antibody; Estrogen receptor related 2 antibody; Estrogen receptor-like 2 antibody; Estrogen-related receptor beta antibody; Estrrb antibody; Nr3b2 antibody; Nuclear receptor ERRB2 antibody; Nuclear receptor subfamily 3 group B member 2 antibody; Orphan nuclear receptor antibody; Steroid hormone receptor ERR 2 antibody; Steroid hormone receptor ERR2 antibody
-
宿主:Rabbit
-
反應種屬:Human
-
免疫原:Synthetic peptide of Human ESRRB
-
免疫原種屬:Homo sapiens (Human)
-
標記方式:Non-conjugated
-
抗體亞型:IgG
-
純化方式:Antigen affinity purification
-
濃度:It differs from different batches. Please contact us to confirm it.
-
保存緩沖液:-20°C, pH7.4 PBS, 0.05% NaN3, 40% Glycerol
-
產品提供形式:Liquid
-
應用范圍:ELISA,IHC
-
推薦稀釋比:
Application Recommended Dilution ELISA 1:2000-1:5000 IHC 1:50-1:200 -
Protocols:
-
儲存條件:Upon receipt, store at -20°C or -80°C. Avoid repeated freeze.
-
貨期:Basically, we can dispatch the products out in 1-3 working days after receiving your orders. Delivery time maybe differs from different purchasing way or location, please kindly consult your local distributors for specific delivery time.
-
用途:For Research Use Only. Not for use in diagnostic or therapeutic procedures.
相關產品
靶點詳情
-
功能:Transcription factor that binds a canonical ESRRB recognition (ERRE) sequence 5'TCAAGGTCA-3' localized on promoter and enhancer of targets genes regulating their expression or their transcription activity. Plays a role, in a LIF-independent manner, in maintainance of self-renewal and pluripotency of embryonic and trophoblast stem cells through different signaling pathways including FGF signaling pathway and Wnt signaling pathways. Upon FGF signaling pathway activation, interacts with KDM1A by directly binding to enhancer site of ELF5 and EOMES and activating their transcription leading to self-renewal of trophoblast stem cells. Also regulates expression of multiple rod-specific genes and is required for survival of this cell type. Plays a role as transcription factor activator of GATA6, NR0B1, POU5F1 and PERM1. Plays a role as transcription factor repressor of NFE2L2 transcriptional activity and ESR1 transcriptional activity. During mitosis remains bound to a subset of interphase target genes, including pluripotency regulators, through the canonical ESRRB recognition (ERRE) sequence, leading to their transcriptional activation in early G1 phase. Can coassemble on structured DNA elements with other transcription factors like SOX2, POU5F1, KDM1A and NCOA3 to trigger ESRRB-dependent gene activation. This mechanism, in the case of SOX2 corecruitment prevents the embryonic stem cells (ESCs) to epiblast stem cells (EpiSC) transition through positive regulation of NR0B1 that inhibits the EpiSC transcriptional program. Also plays a role inner ear development by controlling expression of ion channels and transporters and in early placentation.; Transcription factor that binds a canonical ESRRB recognition (ERRE) sequence 5'TCAAGGTCA-3' localized on promoter and enhancer of targets genes regulating their expression or their transcription activity. Positively regulates ESR1 transcriptional activity upon E2 stimulation.
-
基因功能參考文獻:
- the calcium level was associated with genetic variations in AMELX, AMNB and ESRRB. AMELX and AMNB are involved in enamel mineralization. Mutations in both these genes are responsible for the amelogenesis imperfecta phenotype (OMIN), which supports their link with enamel alterations as well as enamel mineralization. PMID: 28395292
- SNP (rs61742642; C to T, P386S) in the ligand-binding domain of human estrogen-related receptor beta is associated with audiometric temporary threshold shift. PMID: 27399974
- ESRRbeta is mislocalized in human myocardium samples with idiopathic dilated cardiomyopathy, suggesting a possible role for ESRRbeta in the pathogenesis of idiopathic dilated cardiomyopathy in humans PMID: 28130335
- The rs1676303 TT (P=0.02) and rs6574293 GG (P=0.04) genotypes of ESRRB were associated with RCD and TMD, respectively. PMID: 26584852
- analysis of Esrrb target genes indicates Esrrb may be an important factor in regulating cell proliferation PMID: 26627478
- ERRbeta has a role in estrogen-dependent cellular function including cancer cell proliferation PMID: 25805499
- The significant association and the presence of high-risk haplotypes identified in the ESRRB gene confirm the association of variants in ESRRB and rotator cuff disease. PMID: 25219474
- study concludes ESRRB, a gene when mutated causes a form of hearing impairment, also contributes to dental decay likely by influencing the formation of an enamel surface more susceptible to demineralization under acidic conditions PMID: 25023176
- ERRbeta signalling leads to BCAS2-mediated blockage of the G1/S transition and inhibition of the epithelial to mesenchymal transition through FST-mediated regulation of E-cadherin PMID: 24667650
- This is the first report of DFNB35 mutations in the Czech Republic and it seems to be a rare cause of non-syndromic hearing loss. PMID: 22951369
- A novel missense mutation in the ESRRB gene causes DFNB35 hearing loss in a Tunisian family. PMID: 21802533
- Data confirm the up-regulation of ER-beta as the principal receptor involved in the progression of human endometriosis. PMID: 21561608
- ERRbeta plays a repressor role in the Nrf2-ARE pathway PMID: 17920186
- ERRbeta performs a tumor suppressing function in prostate cancer cells. PMID: 18071305
- Data indicate that ESRRB is essential for inner-ear development and function and a frame shift mutation in ESRRB results in non-syndromic hearing impairment. PMID: 18179891
- Sequence analysis of the ESRRB gene in the affected individuals of the original DFNB35 family and in three other DFNB35-linked consanguineous families from Pakistan revealed four missense mutations. PMID: 18179891
- ERRbeta protein was localized to cell nuclei within multiple endometrial cell types including the glands, stroma, endothelium and immune cells, including uterine natural killer (uNK) cells and macrophages throughout normal menstrual cycle. PMID: 18775884
- Esrrb coordinates with Nanog and Oct4 to activate the internal machinery of ES cells PMID: 18957414
- Short-form hERRbeta lacks an F domain and is the matched homolog of mouse and rat ERRbeta proteins in human. However, hERRbeta2-Delta10 and the previously reported hERRbeta2 isoforms are primate specific. PMID: 16332939
顯示更多
收起更多
-
相關疾病:Deafness, autosomal recessive, 35 (DFNB35)
-
亞細胞定位:Nucleus. Cytoplasm. Chromosome.
-
蛋白家族:Nuclear hormone receptor family, NR3 subfamily
-
數據庫鏈接:
Most popular with customers
-
YWHAB Recombinant Monoclonal Antibody
Applications: ELISA, WB, IHC, IF, FC
Species Reactivity: Human, Mouse, Rat
-
-
-
-
-
-
-















