ESPL1 Antibody
-
中文名稱:ESPL1兔多克隆抗體
-
貨號:CSB-PA195094
-
規格:¥1100
-
圖片:
-
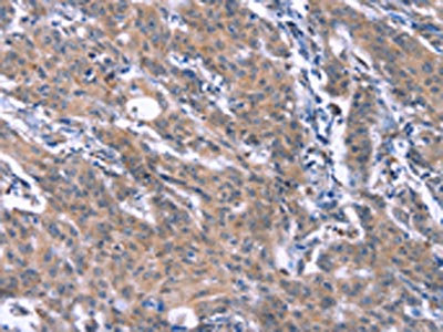
The image on the left is immunohistochemistry of paraffin-embedded Human gastic cancer tissue using CSB-PA195094(ESPL1 Antibody) at dilution 1/40, on the right is treated with synthetic peptide. (Original magnification: ×200)
-
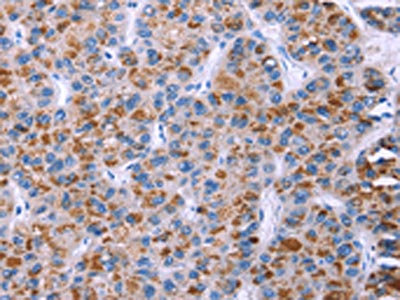
The image on the left is immunohistochemistry of paraffin-embedded Human thyroid cancer tissue using CSB-PA195094(ESPL1 Antibody) at dilution 1/40, on the right is treated with synthetic peptide. (Original magnification: ×200)
-
-
其他:
產品詳情
-
Uniprot No.:
-
基因名:
-
別名:Caspase like protein ESPL1 antibody; Caspase-like protein ESPL1 antibody; ESP 1 antibody; ESP1 antibody; ESPL 1 antibody; Espl1 antibody; ESPL1_HUMAN antibody; Extra spindle poles like 1 antibody; Extra spindle poles like 1 protein antibody; Extra spindle poles-like 1 protein antibody; FLJ46492 antibody; KIAA0165 antibody; Separase antibody; Separin antibody; Similar to fission yeast cut1and gene antibody; SSE antibody
-
宿主:Rabbit
-
反應種屬:Human,Mouse
-
免疫原:Synthetic peptide of Human ESPL1
-
免疫原種屬:Homo sapiens (Human)
-
標記方式:Non-conjugated
-
抗體亞型:IgG
-
純化方式:Antigen affinity purification
-
濃度:It differs from different batches. Please contact us to confirm it.
-
保存緩沖液:-20°C, pH7.4 PBS, 0.05% NaN3, 40% Glycerol
-
產品提供形式:Liquid
-
應用范圍:ELISA,IHC
-
推薦稀釋比:
Application Recommended Dilution ELISA 1:2000-1:5000 IHC 1:50-1:200 -
Protocols:
-
儲存條件:Upon receipt, store at -20°C or -80°C. Avoid repeated freeze.
-
貨期:Basically, we can dispatch the products out in 1-3 working days after receiving your orders. Delivery time maybe differs from different purchasing way or location, please kindly consult your local distributors for specific delivery time.
-
用途:For Research Use Only. Not for use in diagnostic or therapeutic procedures.
相關產品
靶點詳情
-
功能:Caspase-like protease, which plays a central role in the chromosome segregation by cleaving the SCC1/RAD21 subunit of the cohesin complex at the onset of anaphase. During most of the cell cycle, it is inactivated by different mechanisms.
-
基因功能參考文獻:
- Separase activity measurement may therefore be useful as a novel additional molecular marker for disease monitoring PMID: 29370237
- Studies identified and characterized the role of separase in mitosis, meiosis, non-canonical roles, its regulation, as a regulator of centriole disengagement, non proteolytic roles, diverse substrates, structural insights, and association of separase with cancer. [review] PMID: 27966791
- High ESP expression is associated with breast cancer. PMID: 28859055
- Proximity mapping of human separase has been presented. PMID: 27495871
- The assay was used to quantify Separase proteolytic activity in leukemic cell lines and peripheral blood samples from leukemia patients. PMID: 26267133
- Recruitment and activation of separase at centrosomes are two distinct steps that do not require microtubules. PMID: 25299182
- Separase protein levels decrease and Separase proteolytic activity increases exclusively in b3a2 p210BCR-ABL-positive cell lines under Imatinib treatment. PMID: 26087013
- Separase is an oncogene whose overexpression induces tumorigenesis, and indicate that Separase overexpression and aberrant nuclear localization are common in many tumor types and may predict outcome in some human malignancies. PMID: 24792645
- High ESPL1 mRNA expression was associated with luminal B breast cancers. PMID: 25086634
- Data indicate that separase is subject to native-state cis/trans isomerization by peptidyl-prolyl-isomerase Pin1. PMID: 25921067
- By consecutively acting as a protease and a cdk1 inhibitor, separase coordinates two key processes to achieve simultaneous and abrupt separation of sister chromatids. PMID: 22814604
- Kendrin is a novel and crucial substrate for separase (ESPL1) at the centrosome, protecting the engaged centrioles from premature disengagement and thereby blocking reduplication until the cell passes through mitosis. PMID: 22542101
- Plk1-mediated phosphorylation of Cdc6 promotes the interaction of Cdc6 and Cdk1, leading to the attenuation of Cdk1 activity, release of separase, and subsequent anaphase progression. PMID: 21041660
- Anaphase specific auto-cleavage of separase. PMID: 12297314
- Processing, localization, and requirement of separase for normal anaphase progression. PMID: 12672959
- Separase function is not restricted to anaphase initiation; its role in promoting loss of sister chromatid cohesion might be preferentially at arms but not centromeres. PMID: 16177575
- Protein phosphatase 2A and separase form a complex regulated by separase autocleavage PMID: 17604273
- Phosphorylation promotes complex formation indirectly, possibly by inducing a conformational change in full-length separase. PMID: 17974570
- The complete removal of cohesin from chromosome arms depends on separase. PMID: 18003702
- Separase has targets involved in regulation of G(2) to M progression after DNA damage in lung cancer cells. PMID: 18616699
- These results collectively suggest that Separase is an oncogene, whose overexpression alone in mammary epithelial cells is sufficient to induce aneuploidy and tumorigenesis in a p53 mutant background. PMID: 18728194
- Study reports that cohesin cleavage by human separase requires DNA in a sequence-nonspecific manner. PMID: 19345191
- Separase might be an oncogene, whose overexpression induces tumorigenesis. Separase overexpression and aberrant nuclear localization are common in many tumor types and may predict outcome in some human cancers. PMID: 19351757
- Plk1 and separase act at different times during M phase to license centrosome duplication, reminiscent of their roles in removing cohesin from chromosomes PMID: 19758559
顯示更多
收起更多
-
亞細胞定位:Cytoplasm. Nucleus.
-
數據庫鏈接:
Most popular with customers
-
-
YWHAB Recombinant Monoclonal Antibody
Applications: ELISA, WB, IHC, IF, FC
Species Reactivity: Human, Mouse, Rat
-
-
-
-
-
-















