ERCC4 Antibody
-
中文名稱:ERCC4兔多克隆抗體
-
貨號:CSB-PA849795HA01HU
-
規格:¥440
-
圖片:
-
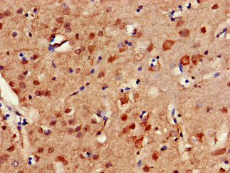
Immunohistochemistry of paraffin-embedded human brain tissue using CSB-PA849795HA01HU at dilution of 1:100
-
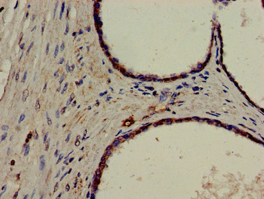
Immunohistochemistry of paraffin-embedded human prostate cancer using CSB-PA849795HA01HU at dilution of 1:100
-
Immunofluorescent analysis of Hela cells using CSB-PA849795HA01HU at dilution of 1:100 and Alexa Fluor 488-congugated AffiniPure Goat Anti-Rabbit IgG(H+L)
-
-
其他:
產品詳情
-
產品名稱:Rabbit anti-Homo sapiens (Human) ERCC4 Polyclonal antibody
-
Uniprot No.:
-
基因名:
-
別名:DNA excision repair protein ERCC 4 antibody; DNA excision repair protein ERCC-4 antibody; DNA excision repair protein ERCC4 antibody; DNA repair endonuclease XPF antibody; DNA repair protein complementing XP F cells antibody; DNA repair protein complementing XP-F cells antibody; ERCC 11 antibody; ERCC 4 antibody; ERCC11 antibody; ERCC4 antibody; Excision repair complementing defective in Chinese hamster antibody; Excision repair cross complementing rodent repair deficiency complementation group 4 antibody; excision repair cross-complementation group 4 antibody; FANCQ antibody; RAD 1 antibody; RAD1 antibody; Xeroderma pigmentosum complementation group F antibody; Xeroderma pigmentosum group F complementing protein antibody; Xeroderma pigmentosum group F-complementing protein antibody; Xeroderma pigmentosum VI antibody; XP; group G antibody; XP6 antibody; XPF_HUMAN antibody
-
宿主:Rabbit
-
反應種屬:Human
-
免疫原:Recombinant Human DNA repair endonuclease XPF protein (656-753AA)
-
免疫原種屬:Homo sapiens (Human)
-
標記方式:Non-conjugated
本頁面中的產品,ERCC4 Antibody (CSB-PA849795HA01HU),的標記方式是Non-conjugated。對于ERCC4 Antibody,我們還提供其他標記。見下表:
-
克隆類型:Polyclonal
-
抗體亞型:IgG
-
純化方式:>95%, Protein G purified
-
濃度:It differs from different batches. Please contact us to confirm it.
-
保存緩沖液:Preservative: 0.03% Proclin 300
Constituents: 50% Glycerol, 0.01M PBS, pH 7.4 -
產品提供形式:Liquid
-
應用范圍:ELISA, IHC, IF
-
推薦稀釋比:
Application Recommended Dilution IHC 1:20-1:200 IF 1:50-1:200 -
Protocols:
-
儲存條件:Upon receipt, store at -20°C or -80°C. Avoid repeated freeze.
-
貨期:Basically, we can dispatch the products out in 1-3 working days after receiving your orders. Delivery time maybe differs from different purchasing way or location, please kindly consult your local distributors for specific delivery time.
-
用途:For Research Use Only. Not for use in diagnostic or therapeutic procedures.
相關產品
靶點詳情
-
功能:Catalytic component of a structure-specific DNA repair endonuclease responsible for the 5-prime incision during DNA repair. Involved in homologous recombination that assists in removing interstrand cross-link.
-
基因功能參考文獻:
- For 11985 A>G polymorphism, lung cancer subjects treated with irinotecan cisplatin/carboplatin regimen having heterozygous genotype (AG) was associated with high mortality risk (p = 0.0001). 673 C>T polymorphism was associated with increased lung cancer risk. PMID: 29741112
- Our results confirm that biallelic ERCC4 mutations cause a cerebellar ataxia-dominant phenotype with mild cutaneous symptoms, possibly accounting for a high proportion of the genetic causes of ARCA in Japan, where XP-F is prevalent. PMID: 29403087
- silenced XPF significantly increased the sensitivity and survival following treatment with cisplatin in xenograft mice bearing renal cell tumor. PMID: 27542841
- C allele of the 30028T/C polymorphism significantly increased the risk of ischemic stroke. PMID: 26888738
- Polymorphisms in XPF gene is associated with gastrointestinal stromal tumours. PMID: 27460091
- inherited abnormalities in DNA repair pathway related to XPF 30028C and TP53 Arg72Pro polymorphisms act as prognostic factors for progression free survival and overall survival of cutaneous melanoma patients. PMID: 26427666
- Based on these results, we conclude that the XPF gene polymorphism Ser835Ser may be associated with a decreased risk of colorectal cancer. PMID: 26146099
- Polymorphisms of ERCC4 gene are associated with HPV-positive cervical cancer. PMID: 25812040
- Helicobacter Pylori introduces double-stranded DNA breaks by the nucleotide excision repair endonucleases XPF and XPG, which, together with RelA, are recruited to chromatin in a highly coordinated, type IV secretion system-dependent manner. PMID: 26411687
- SLX4 (FANCP) and XPF (FANCQ) proteins interact with each other and play a vital role in the Fanconi anemia (FA) DNA repair pathway. PMID: 26453996
- Mus81-deficient cells fail to recover from exposure to low doses of replication inhibitors and cell viability is dependent on the XPF endonuclease. PMID: 25879486
- Genotypes of ERCC1 (rs11615, rs3212986 and rs2298881) and XPF (rs2276465 and rs6498486) were performed by Polymerase Chain Reaction Restriction Fragment Length Polymorphism (PCR-RFLP) assay PMID: 26045829
- XPF and XPC expression may be a potential predictive factor for bladder cancer, and smoking can not only influence the recurrence of bladder cancer as a single factor but also aggravate the results of the XPF defect and XPC defect. PMID: 25535740
- Low XPF expression in head and neck squamous cell carcinoma patients is associated with better response to induction chemoradiotherapy, while high XPF expression correlates with a worse response. PMID: 25019640
- ERCC4 is located on human chromosome 16p13.12 and consists of 11 exons spanning about 28.2 kb, the broad tissue expression pattern of ERCC4 is similar to that of ERCC1; ERCC1 and ERCC4 genes encode the two subunits of the ERCC1-XPF nuclease. This enzyme plays an important role in repair of DNA damage and in maintaining genomic stability. [Review] PMID: 26074087
- This meta-analysis suggests that the 3 common XPF polymorphisms rs744154, rs6498486, and rs1799801 are not associated with gastric cancer risk. PMID: 25342505
- ERCC4 rs1800067 polymorphism is not associated with cancer risk. PMID: 25292041
- Our study suggests that the rs1800067 genetic variant of XPF functions in the development of glioma. PMID: 24938470
- genetic variants in XPF might contribute to the susceptibility to ESCC PMID: 24709955
- The contribution of ERCC4/FANCQ coding mutations to hereditary breast cancer in Central and Eastern Europe is likely to be small. PMID: 24465539
- no significant associations between XPF polymorphisms in rs2276466 or rs6498486 and risk of colorectal cancer in a Chinese population PMID: 24861646
- The C2169A nonsense mutation in XPF protein is closely associated with gastric carcinogenesis in the Chinese population.The XPF mutation is largely monoallelic indicating the haplo-insufficiency of XPF. PMID: 24412486
- the frequency of Spanish individuals heterozygous for pathogenic mutations in the ERCC4 gene is approximately 0.3%, and it does not differ between familial breast/ovarian cancer patients and healthy controls. PMID: 24027083
- The rs1800067 G and rs2276466 G allele frequencies in Xeroderma pigmentosum complementation group f polymorphisms influence risk of glioma. PMID: 23991957
- Overexpression of XPF decreased drug sensitivity in malignant melanoma. PMID: 23982883
- ERCC4 rs1800124 and MBD4 rs10342 non-synonymous single nucleotide polymorphism variants were associated with DNA repair capacity. PMID: 24004570
- Polymorphisms in rs180067, rs1799801, rs2276466 and rs744154 in XPF is associated with gastric cancer. PMID: 23679285
- a significantly decreased risk of gastric cancer associated with the ERCC4 rs744154 GC/CC genotypes in a Chinese population PMID: 23537993
- Frameshift mutation XP11BE not only divests the XPF-interaction motif impairing DNA repair, but also reduces XPB solubility, leading to a lower intracellular level of transcription factor TFIIH and deficient transcription. PMID: 23385459
- Mutations in ERCC4, encoding the DNA-repair endonuclease XPF, cause Fanconi anemia. PMID: 23623386
- The ERCC4 tagSNPs, rs6498486 and rs254942, may play protective roles in gastric carcinogenesis, especially in the development of atrophic gastritis. PMID: 23415627
- two SNPs (rs2276466 and rs3136038) in ERCC4 may be functional and contribute to SCCHN susceptibility PMID: 22848636
- XPG endonuclease promotes DNA breaks and DNA demethylation at promoters allowing the recruitment of CTCF and gene looping, which is further stabilized by XPF. PMID: 22771116
- This meta-analysis suggests a lack of statistical evidence for the association between the four XPF SNPs and overall risk of cancers. PMID: 22768293
- There is no evidence that G1244A and T2505 single nucleotide polymorphisms in XPF affect expression of ERCC1. PMID: 22609620
- XPF Arg415Gln may be a low-penetrant risk factor in the Caucasian ethnicity for developing breast cancer. PMID: 21424776
- these results suggest that the interaction between XPF and Eg5 plays a role in mitosis and DNA repair and offer new insights into the pathogenesis of XP-F and XFE. PMID: 22353549
- Data show that high XPF expression correlated with early time to progression both by univariate and multivariate analysis. PMID: 21737503
- The gene polymorphism at ERCC4 gene had no effects on the DNA damage of lymphocytes in coke oven workers. PMID: 17945097
- results indicated that Arg399Gln polymorphism of XRCC1 gene and Arg415Gln polymorphism of ERCC4 gene may not be associated with smoking- and drinking-related larynx cancer in Polish population PMID: 21423097
- The association of MPM with DNA repair genes support the hypothesis that an increased susceptibility to DNA damage may favour asbestos carcinogenicity. PMID: 21277872
- squamous cell carcinoma metastases of the head and neck show increased levels of nucleotide excision repair protein XPF in vivo that correlate with increased chemoresistance ex vivo PMID: 20372803
- Studies indicate that a marginally statistically significant association was found for XRCC1 codon 399, XPD Asp312Asn and XRCC1 codon 194 variants and head and neck cancer. PMID: 20429839
- XPF promoter -357A>C polymorphism may regulate the expression of XPF and thereby contribute to susceptibility to and prognosis of bladder cancer. PMID: 20062074
- Observational study and genome-wide association study of gene-disease association. (HuGE Navigator) PMID: 20201926
- XPF protein has important roles in psoralen ICL-mediated DNA repair and mutagenesis. PMID: 14728600
- the ternary complex of hRad52 and XPF/ERCC1 is the active species that processes recombination intermediates generated during the repair of DNA double strand breaks and in homology-dependent gene targeting events PMID: 14734547
- We show that RAD1 is an essential gene for sustained cell proliferation and that loss of Rad1 causes destabilization of Rad9 and Hus1 and consequently disintegration of the sliding-clamp complex. PMID: 15184880
- XPF is required to form gamma-H2AX and likely double strand breaks in response to interstrand crosslinks in human cells PMID: 16678501
- A SNP (rs744154) in intron 1 was associated with recessive protection from breast cancer after adjustment for multiple testing in stage 2. It is in the first intron, in a region that is highly conserved across species, and could be causal. PMID: 17018596
顯示更多
收起更多
-
相關疾病:Xeroderma pigmentosum complementation group F (XP-F); XFE progeroid syndrome (XFEPS); Xeroderma pigmentosum type F/Cockayne syndrome (XPF/CS); Fanconi anemia complementation group Q (FANCQ)
-
亞細胞定位:Nucleus.
-
蛋白家族:XPF family
-
數據庫鏈接:
Most popular with customers
-
-
YWHAB Recombinant Monoclonal Antibody
Applications: ELISA, WB, IHC, IF, FC
Species Reactivity: Human, Mouse, Rat
-
Phospho-YAP1 (S127) Recombinant Monoclonal Antibody
Applications: ELISA, WB, IHC
Species Reactivity: Human
-
-
-
-
-















