ERAS Antibody
-
中文名稱:ERAS兔多克隆抗體
-
貨號:CSB-PA599022
-
規格:¥1100
-
圖片:
-
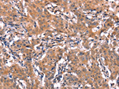
The image on the left is immunohistochemistry of paraffin-embedded Human thyroid cancer tissue using CSB-PA599022(ERAS Antibody) at dilution 1/40, on the right is treated with synthetic peptide. (Original magnification: ×200)
-
The image on the left is immunohistochemistry of paraffin-embedded Human gastric cancer tissue using CSB-PA599022(ERAS Antibody) at dilution 1/40, on the right is treated with synthetic peptide. (Original magnification: ×200)
-
Gel: 10%SDS-PAGE, Lysate: 40 μg, Lane: Mouse heart tissue, Primary antibody: CSB-PA599022(ERAS Antibody) at dilution 1/450, Secondary antibody: Goat anti rabbit IgG at 1/8000 dilution, Exposure time: 1 minute
-
-
其他:
產品詳情
-
Uniprot No.:
-
基因名:ERAS
-
別名:E ras antibody; E-Ras antibody; ecat5 antibody; Embryonic stem cell expressed Ras antibody; Embryonic stem cell-expressed Ras antibody; Eras antibody; ES cell expressed Ras antibody; GTPase ERas antibody; Ha-Ras2 antibody; HRAS2 antibody; HRASP antibody; MGC126691 antibody; MGC126693 antibody; OTTHUMP00000065857 antibody; RASE_HUMAN antibody; Small GTPase protein E Ras antibody; v Ha ras Harvey rat sarcoma viral oncogene homolog pseudogene antibody; v Ha ras Harvey rat sarcoma viral oncogene homolog 2 antibody
-
宿主:Rabbit
-
反應種屬:Human,Mouse
-
免疫原:Synthetic peptide of Human ERAS
-
免疫原種屬:Homo sapiens (Human)
-
標記方式:Non-conjugated
-
抗體亞型:IgG
-
純化方式:Antigen affinity purification
-
濃度:It differs from different batches. Please contact us to confirm it.
-
保存緩沖液:-20°C, pH7.4 PBS, 0.05% NaN3, 40% Glycerol
-
產品提供形式:Liquid
-
應用范圍:ELISA,WB,IHC
-
推薦稀釋比:
Application Recommended Dilution ELISA 1:1000-1:2000 WB 1:200-1:1000 IHC 1:50-1:200 -
Protocols:
-
儲存條件:Upon receipt, store at -20°C or -80°C. Avoid repeated freeze.
-
貨期:Basically, we can dispatch the products out in 1-3 working days after receiving your orders. Delivery time maybe differs from different purchasing way or location, please kindly consult your local distributors for specific delivery time.
-
用途:For Research Use Only. Not for use in diagnostic or therapeutic procedures.
相關產品
靶點詳情
-
功能:Ras proteins bind GDP/GTP and possess intrinsic GTPase activity. Plays an important role in the tumor-like growth properties of embryonic stem cells.
-
基因功能參考文獻:
- N-terminal extension of E-RAS is important for E-RAS signaling activity. PMID: 25940089
- Expression of ERAS in human melanoma cell lines conferred resistance to PLX4720 and induced hyperphosphorylation of AKT. PMID: 25624498
- After knocking down the ERas gene by siRNA, we observed that there was a significant decrease in proliferation, metastasis as well as clonality in gastric carcinoma. PMID: 23612786
- Data indicate that expression of ERAS, LHX1, and CCRK is increased in aggressive subgroups of medulloblastomas. PMID: 22875024
- ERas may be a potential biomarker for gastric cancer, but advanced studies are wanted. PMID: 21151392
- These data suggest that ERas is activated in a significant population of gastric cancer, where it may play a crucial role in gastric cancer cell survival and metastases to liver via down-regulation of E-cadherin. PMID: 20566745
- ERas/PI3K pathway may provide resistance to chemotherapy and promote transforming activity in neuroblastoma. PMID: 20811723
- transforming oncogene ERas is important in the tumour-like growth properties of embryonic stem cells PMID: 12774123
- Studies on ERas gene expression. PMID: 16081664
- rasH2 may have a role in susceptibility to chemically-induced tongue and esophageal neoplasms PMID: 18174262
- High ERas is associated with the tumorigenic process of gastric carcinomas. PMID: 19528480
- Loss of methylation in the promoter of ERas might be one of mechanisms responsible for the re-expression of an embryonic oncogene in gastric cancer. PMID: 19787253
顯示更多
收起更多
-
亞細胞定位:Cell membrane; Lipid-anchor; Cytoplasmic side.
-
蛋白家族:Small GTPase superfamily, Ras family
-
數據庫鏈接:
Most popular with customers
-
-
Phospho-YAP1 (S127) Recombinant Monoclonal Antibody
Applications: ELISA, WB, IHC
Species Reactivity: Human
-
-
-
-
-
-















