EPX Antibody
-
中文名稱:EPX兔多克隆抗體
-
貨號:CSB-PA007756LA01HU
-
規格:¥440
-
圖片:
-
IHC image of CSB-PA007756LA01HU diluted at 1:100 and staining in paraffin-embedded human brain tissue performed on a Leica BondTM system. After dewaxing and hydration, antigen retrieval was mediated by high pressure in a citrate buffer (pH 6.0). Section was blocked with 10% normal goat serum 30min at RT. Then primary antibody (1% BSA) was incubated at 4°C overnight. The primary is detected by a Goat anti-rabbit polymer IgG labeled by HRP and visualized using 0.05% DAB. Secondary antibody only control: uses 1% BSA instead of primary antibody
-
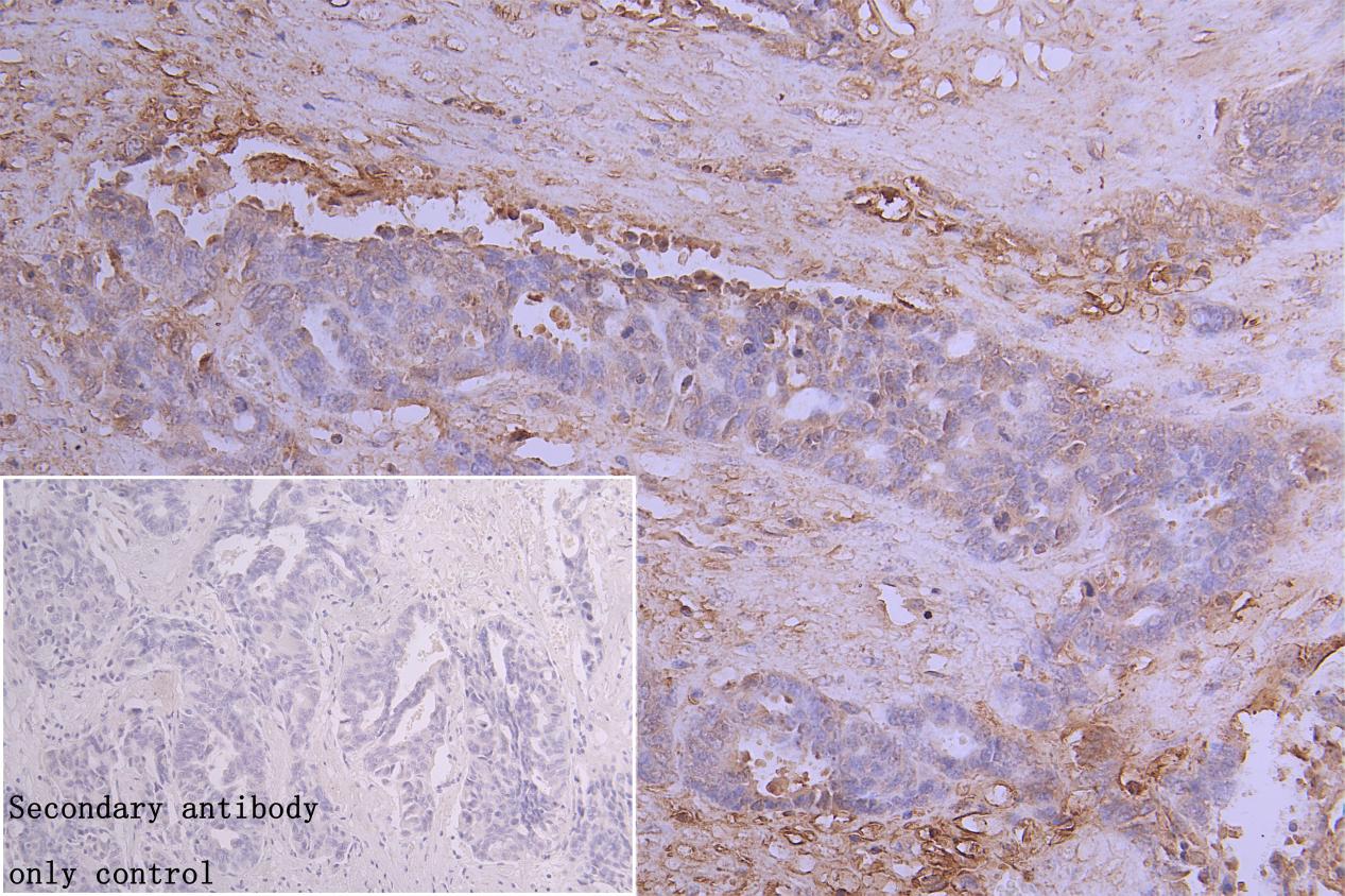
IHC image of CSB-PA007756LA01HU diluted at 1:100 and staining in paraffin-embedded human ovarian cancer performed on a Leica BondTM system. After dewaxing and hydration, antigen retrieval was mediated by high pressure in a citrate buffer (pH 6.0). Section was blocked with 10% normal goat serum 30min at RT. Then primary antibody (1% BSA) was incubated at 4°C overnight. The primary is detected by a Goat anti-rabbit polymer IgG labeled by HRP and visualized using 0.05% DAB. Secondary antibody only control: uses 1% BSA instead of primary antibody
-
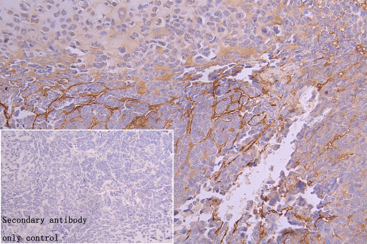
IHC image of CSB-PA007756LA01HU diluted at 1:100 and staining in paraffin-embedded human endometrial cancer performed on a Leica BondTM system. After dewaxing and hydration, antigen retrieval was mediated by high pressure in a citrate buffer (pH 6.0). Section was blocked with 10% normal goat serum 30min at RT. Then primary antibody (1% BSA) was incubated at 4°C overnight. The primary is detected by a Goat anti-rabbit polymer IgG labeled by HRP and visualized using 0.05% DAB. Secondary antibody only control: uses 1% BSA instead of primary antibody
-
-
其他:
產品詳情
-
產品描述:
Polyclonal rabbit anti-EPX antibody raised against a recombinant protein containing the 140-300 amino acids of the human Eosinophil peroxidase protein is recommended to detect the human EPX protein. It was subjected to protein G purification and reached up to 95% in purity. Two applications ELISA and IHC have been used in assays to test for the specificity of this EPX antibody.
The EPX mainly catalyzes the oxidation of halide ions to generate reactive oxygen species (ROS) that can help to kill parasites and other pathogens. In addition to its role in host defense, EPX has also been implicated in the pathogenesis of several diseases, including asthma, allergic rhinitis, and inflammatory bowel disease.
-
產品名稱:Rabbit anti-Homo sapiens (Human) EPX Polyclonal antibody
-
Uniprot No.:
-
基因名:
-
別名:Eosinophil peroxidase [Precursor] antibody; Eosinophil peroxidase antibody; Eosinophil peroxidase heavy chain antibody; EPER antibody; EPO antibody; EPP antibody; EPX antibody; EPX PEN antibody; PERE antibody; PERE_HUMAN antibody
-
宿主:Rabbit
-
反應種屬:Human
-
免疫原:Recombinant Human Eosinophil peroxidase protein (140-300AA)
-
免疫原種屬:Homo sapiens (Human)
-
標記方式:Non-conjugated
本頁面中的產品,EPX Antibody (CSB-PA007756LA01HU),的標記方式是Non-conjugated。對于EPX Antibody,我們還提供其他標記。見下表:
-
克隆類型:Polyclonal
-
抗體亞型:IgG
-
純化方式:>95%, Protein G purified
-
濃度:It differs from different batches. Please contact us to confirm it.
-
保存緩沖液:Preservative: 0.03% Proclin 300
Constituents: 50% Glycerol, 0.01M PBS, pH 7.4 -
產品提供形式:Liquid
-
應用范圍:ELISA, IHC
-
推薦稀釋比:
Application Recommended Dilution IHC 1:200-1:500 -
Protocols:
-
儲存條件:Upon receipt, store at -20°C or -80°C. Avoid repeated freeze.
-
貨期:Basically, we can dispatch the products out in 1-3 working days after receiving your orders. Delivery time maybe differs from different purchasing way or location, please kindly consult your local distributors for specific delivery time.
-
用途:For Research Use Only. Not for use in diagnostic or therapeutic procedures.
相關產品
靶點詳情
-
功能:Mediates tyrosine nitration of secondary granule proteins in mature resting eosinophils. Shows significant inhibitory activity towards Mycobacterium tuberculosis H37Rv by inducing bacterial fragmentation and lysis.
-
基因功能參考文獻:
- peroxidase enzymes, like MPO and EPO, may play a fundamental role in inhibiting RANKL-induced osteoclast differentiation at inflammatory sites of bone fracture and injury. PMID: 27836774
- Both MPO and EPO are causatively involved in breast cancer progression and identified as potential therapeutic targets whereby specific novel inhibitors may reduce tumor growth and limit the occurrence of metastasis. PMID: 28260049
- The main significance of this work is the discovery of EPO as a novel ligand for the HER2 receptor. Following HER2 activation, EPO induces activation of FAK and subsequent activation of beta1-integrin, via inside-out signaling. This complex results in downstream activation of ERK1/2 and a sustained up regulation of both MUC4 and the HER2 receptor PMID: 27519953
- EPO-mediated protein carbamylation is promoted during allergen-induced asthma exacerbation, and can both modulate immune responses and trigger a cascade of many of the inflammatory signals present in asthma. PMID: 27587397
- there is a strong association in a given patient between both nasal and pharyngeal EPX levels and the eosinophil percentage of induced sputum. PMID: 26645423
- Myeloperoxidase and eosinophil peroxidase are readily internalized by HUVEC cells where they promote cellular proliferation, migration, invasion, and stimulate angiogenesis both in vitro and in vivo. PMID: 26386352
- A preferential role of EPO signaling via a specific surface receptor that leads to neural plasticity. PMID: 24937179
- mRNA levels of eosinophil granule proteins, rather than sputum eosinophil%, may reflect airway hyperresponsiveness and airflow limitation. PMID: 24814827
- Eosinophil peroxidase in sputum represents a unique biomarker of airway eosinophilia. PMID: 23931643
- report the prevalence of a common SNP in the eosinophil protein x/eosinophil-derived neurotoxin (EPX/EDN, RNase2) and the association with the cellular contents of EPX/EDN and ECP PMID: 24738159
- Polymorphisms of EPX and ECP are associated to inflammatory bowel disease in an age and gender dependent manne. PMID: 23197886
- Data indicate that eosinophil peroxidase (EPX)-based ELISA is the only eosinophil-specific assay. PMID: 22750539
- A mechanism of induction of ASIC-3 expression relevant to AR was suggested by the finding that eosinophil peroxidase (EPO), acting via ERK1/2, induced the expression of ASIC-3 in epithelial cells. PMID: 22702502
- HER2 was identified as a novel mediator of eosinophil peroxidase signaling. Eosinophil peroxidase, at noncytotoxic levels, can drive cell-cycle progression and proliferation. PMID: 21454806
- EPO-dependent oxidative damage may play a role in tissue injury in bisulfite-exacerbated eosinophilic inflammatory disorders PMID: 20501663
- induces surface alteration, killing, and lysis of Mycobacterium tuberculosis PMID: 12540536
- results suggest that Pro358Leu in EPO is strongly involved in the development of cedar pollinosis PMID: 14657871
- Polymorphisms of the eosinophil peroxidase gene may be associated with Japanese cedar pollinosis. PMID: 15316147
- Analysis of the role of thiocyanate (SCN-), in modulating the catalytic activity of myeloperoxidase (MPO) and other members of the lactoperoxidase (LPO) and eosinophil peroxidase (EPO) PMID: 15894800
- The mechanisms by which eosinophil peroxidase oxidizes nitrite are reported. PMID: 16336215
- post-translational tyrosine nitration of eosinophil granule toxins mediated by eosinophil peroxidase PMID: 18694936
- No variation in genes eosinophil peroxidase for Atopic dermatitis pathogenesis in this German cohort. PMID: 19014520
- Genetic variability in the EPO gene may contribute to the susceptibility to allergic rhinitis (or related phenotypes) in the Czech population. PMID: 19439985
顯示更多
收起更多
-
相關疾病:Eosinophil peroxidase deficiency (EPXD)
-
亞細胞定位:Cytoplasmic granule. Note=Cytoplasmic granules of eosinophils.
-
蛋白家族:Peroxidase family, XPO subfamily
-
數據庫鏈接:
Most popular with customers
-
-
YWHAB Recombinant Monoclonal Antibody
Applications: ELISA, WB, IHC, IF, FC
Species Reactivity: Human, Mouse, Rat
-
Phospho-YAP1 (S127) Recombinant Monoclonal Antibody
Applications: ELISA, WB, IHC
Species Reactivity: Human
-
-
-
-
-















