EPSTI1 Antibody
-
中文名稱:EPSTI1兔多克隆抗體
-
貨號:CSB-PA964117
-
規格:¥1100
-
圖片:
-
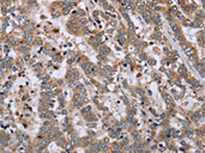
The image on the left is immunohistochemistry of paraffin-embedded Human liver cancer tissue using CSB-PA964117(EPSTI1 Antibody) at dilution 1/40, on the right is treated with fusion protein. (Original magnification: ×200)
-
The image on the left is immunohistochemistry of paraffin-embedded Human cervical cancer tissue using CSB-PA964117(EPSTI1 Antibody) at dilution 1/40, on the right is treated with fusion protein. (Original magnification: ×200)
-
Gel: 8%SDS-PAGE, Lysate: 40 μg, Lane: Human placenta tissue, Primary antibody: CSB-PA964117(EPSTI1 Antibody) at dilution 1/1900, Secondary antibody: Goat anti rabbit IgG at 1/8000 dilution, Exposure time: 30 seconds
-
-
其他:
產品詳情
-
Uniprot No.:
-
基因名:EPSTI1
-
別名:BRESI 1 antibody; BRESI1 antibody; Epithelial stromal interaction 1 (breast) antibody; Epithelial stromal interaction protein 1 (breast) antibody; Epithelial stromal interaction protein 1 antibody; Epithelial-stromal interaction protein 1 antibody; EPSTI 1 antibody; Epsti1 antibody; ESIP1_HUMAN antibody; MGC29634 antibody
-
宿主:Rabbit
-
反應種屬:Human
-
免疫原:Fusion protein of Human EPSTI1
-
免疫原種屬:Homo sapiens (Human)
-
標記方式:Non-conjugated
-
抗體亞型:IgG
-
純化方式:Antigen affinity purification
-
濃度:It differs from different batches. Please contact us to confirm it.
-
保存緩沖液:-20°C, pH7.4 PBS, 0.05% NaN3, 40% Glycerol
-
產品提供形式:Liquid
-
應用范圍:ELISA,WB,IHC
-
推薦稀釋比:
Application Recommended Dilution ELISA 1:2000-1:10000 WB 1:1000-1:5000 IHC 1:50-1:200 -
Protocols:
-
儲存條件:Upon receipt, store at -20°C or -80°C. Avoid repeated freeze.
-
貨期:Basically, we can dispatch the products out in 1-3 working days after receiving your orders. Delivery time maybe differs from different purchasing way or location, please kindly consult your local distributors for specific delivery time.
-
用途:For Research Use Only. Not for use in diagnostic or therapeutic procedures.
相關產品
靶點詳情
-
功能:Plays a role in M1 macrophage polarization and is required for the proper regulation of gene expression during M1 versus M2 macrophage differentiation. Might play a role in RELA/p65 and STAT1 phosphorylation and nuclear localization upon activation of macrophages.
-
基因功能參考文獻:
- A novel KLF8 to EPSTI1 to VCP to NF-kappaB signaling mechanism potentially critical for breast cancer invasion and metastasis. PMID: 24096480
- These observations implicate EPSTI1 as a hitherto unappreciated regulator of tumor cell properties. PMID: 20133812
-
組織特異性:Highly expressed in placenta, small intestine, spleen, kidney, thymus, liver, salivary gland and testes. Weakly expressed in breast, skeletal muscle and colon. Highly expressed in breast cancer upon interaction between tumor cells and stromal cells in vit
-
數據庫鏈接:
Most popular with customers
-
-
YWHAB Recombinant Monoclonal Antibody
Applications: ELISA, WB, IHC, IF, FC
Species Reactivity: Human, Mouse, Rat
-
Phospho-YAP1 (S127) Recombinant Monoclonal Antibody
Applications: ELISA, WB, IHC
Species Reactivity: Human
-
-
-
-
-















