EPPIN Antibody
-
中文名稱:EPPIN兔多克隆抗體
-
貨號:CSB-PA584449
-
規格:¥1100
-
圖片:
-
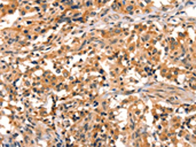
The image on the left is immunohistochemistry of paraffin-embedded Human liver cancer tissue using CSB-PA584449(EPPIN Antibody) at dilution 1/25, on the right is treated with synthetic peptide. (Original magnification: ×200)
-
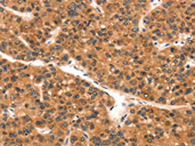
The image on the left is immunohistochemistry of paraffin-embedded Human thyroid cancer tissue using CSB-PA584449(EPPIN Antibody) at dilution 1/25, on the right is treated with synthetic peptide. (Original magnification: ×200)
-
Gel: 10%SDS-PAGE, Lysate: 40 μg, Lane 1-3: NIH/3T3 cells, human testis tissue, mouse fat tissue, Primary antibody: CSB-PA584449(EPPIN Antibody) at dilution 1/400, Secondary antibody: Goat anti rabbit IgG at 1/8000 dilution, Exposure time: 20 seconds
-
-
其他:
產品詳情
-
Uniprot No.:
-
基因名:EPPIN
-
別名:Cancer/testis antigen 71 antibody; CT 71 antibody; CT71 antibody; dJ461P17.2 antibody; Epididymal protease inhibitor antibody; EPPI_HUMAN antibody; EPPIN 1 antibody; EPPIN 2 antibody; EPPIN 3 antibody; EPPIN antibody; EPPIN1 antibody; EPPIN2 antibody; EPPIN3 antibody; Protease inhibitor WAP7 antibody; Serine peptidase inhibitor like with Kunitz and WAP domains 1 (eppin) antibody; Serine peptidase inhibitor like with Kunitz and WAP domains 1 antibody; Serine protease inhibitor-like with Kunitz and WAP domains 1 antibody; SPINLW 1 antibody; WAP 7 antibody; WAP four disulfide core domain 7 antibody; WAP four disulfide core domain protein 7 antibody; WAP four-disulfide core domain protein 7 antibody; WAP7 antibody; WFDC 7 antibody; WFDC7 antibody
-
宿主:Rabbit
-
反應種屬:Human,Mouse
-
免疫原:Synthetic peptide of Human EPPIN
-
免疫原種屬:Homo sapiens (Human)
-
標記方式:Non-conjugated
-
抗體亞型:IgG
-
純化方式:Antigen affinity purification
-
濃度:It differs from different batches. Please contact us to confirm it.
-
保存緩沖液:-20°C, pH7.4 PBS, 0.05% NaN3, 40% Glycerol
-
產品提供形式:Liquid
-
應用范圍:ELISA,WB,IHC
-
推薦稀釋比:
Application Recommended Dilution ELISA 1:2000-1:5000 WB 1:500-1:2000 IHC 1:25-1:100 -
Protocols:
-
儲存條件:Upon receipt, store at -20°C or -80°C. Avoid repeated freeze.
-
貨期:Basically, we can dispatch the products out in 1-3 working days after receiving your orders. Delivery time maybe differs from different purchasing way or location, please kindly consult your local distributors for specific delivery time.
-
用途:For Research Use Only. Not for use in diagnostic or therapeutic procedures.
相關產品
靶點詳情
-
功能:Serine protease inhibitor that plays an essential role in male reproduction and fertility. Modulates the hydrolysis of SEMG1 by KLK3/PSA (a serine protease), provides antimicrobial protection for spermatozoa in the ejaculate coagulum, and binds SEMG1 thereby inhibiting sperm motility.
-
亞細胞定位:[Isoform 1]: Secreted. Cell surface. Note=Bound to the surface of testicular and on the head and tail of ejaculate spermatozoa.
-
組織特異性:In testis, expressed and secreted by Sertoli cells, appearing on the surface of testicular and ejaculate spermatozoa. Expressed in the spermatogonia and the earliest preleptotene spermatocytes. In the epididymis, is expressed and secreted by epithelial ce
-
數據庫鏈接:
Most popular with customers
-
-
YWHAB Recombinant Monoclonal Antibody
Applications: ELISA, WB, IHC, IF, FC
Species Reactivity: Human, Mouse, Rat
-
Phospho-YAP1 (S127) Recombinant Monoclonal Antibody
Applications: ELISA, WB, IHC
Species Reactivity: Human
-
-
-
-
-















