EPO Antibody
-
中文名稱:EPO兔多克隆抗體
-
貨號:CSB-PA437479
-
規格:¥1100
-
圖片:
-
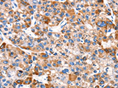
The image on the left is immunohistochemistry of paraffin-embedded Human liver cancer tissue using CSB-PA437479(EPO Antibody) at dilution 1/15, on the right is treated with synthetic peptide. (Original magnification: ×200)
-
Gel: 10%SDS-PAGE, Lysate: 40 μg, Lane 1-2: A549 cells, mouse liver tissue, Primary antibody: CSB-PA437479(EPO Antibody) at dilution 1/150, Secondary antibody: Goat anti rabbit IgG at 1/8000 dilution, Exposure time: 2 minutes
-
-
其他:
產品詳情
-
Uniprot No.:
-
基因名:
-
別名:EPOErythropoietin antibody; Epoetin antibody
-
宿主:Rabbit
-
反應種屬:Human,Mouse,Rat
-
免疫原:Synthetic peptide of Human EPO
-
免疫原種屬:Homo sapiens (Human)
-
標記方式:Non-conjugated
-
抗體亞型:IgG
-
純化方式:Antigen affinity purification
-
濃度:It differs from different batches. Please contact us to confirm it.
-
保存緩沖液:-20°C, pH7.4 PBS, 0.05% NaN3, 40% Glycerol
-
產品提供形式:Liquid
-
應用范圍:ELISA,WB,IHC
-
推薦稀釋比:
Application Recommended Dilution ELISA 1:1000-1:2000 WB 1:200-1:1000 IHC 1:25-1:100 -
Protocols:
-
儲存條件:Upon receipt, store at -20°C or -80°C. Avoid repeated freeze.
-
貨期:Basically, we can dispatch the products out in 1-3 working days after receiving your orders. Delivery time maybe differs from different purchasing way or location, please kindly consult your local distributors for specific delivery time.
-
用途:For Research Use Only. Not for use in diagnostic or therapeutic procedures.
相關產品
靶點詳情
-
功能:Hormone involved in the regulation of erythrocyte proliferation and differentiation and the maintenance of a physiological level of circulating erythrocyte mass. Binds to EPOR leading to EPOR dimerization and JAK2 activation thereby activating specific downstream effectors, including STAT1 and STAT3.
-
基因功能參考文獻:
- Increases in plasma erythropoietin and erythropoietin receptor activation are mechanisms implicated in the increase of plasma FGF23 in acute kidney injury. PMID: 29395333
- the implication of alpha-7-nAChR-JAK-2/STAT-3-Nrf-2 signaling cascade in the radiomitigative potential of EPO against ARS PMID: 29220591
- Pro-inflammatory proteins S100A9 and tumor necrosis factor-alpha suppress erythropoietin elaboration in myelodysplastic syndromes PMID: 28983059
- EPO levels in the coronary artery disease (CAD) group were higher than those in the non-CAD group. The correlation between red cell distribution width and EPO levels was statistically significant among CAD patients. PMID: 28885393
- CD133(+) cells contributed to the local production of erythropoietin, as observed by detection of circulating human erythropoietin. CD133(+) cells appear therefore an effective source for cell repair, able to restore renal functions, including erythropoietin release, and to limit long term maldifferentiation and fibrosis. PMID: 27853265
- Circulating anti-EPO are detected in a significant proportion of treatment-naive HCV-infected patients and are independently associated with anemia, suggesting a further implication of autoimmunity in the pathophysiology of HCV-related anemia. PMID: 28603097
- the T allele of SNP rs60684937 located at 67,419,130 bp on chromosome 17 was associated with increased plasma EPO and a relatively increased expression of a non-coding transcript of PRKAR1A in sickle cell disease patients PMID: 28173069
- study describes a gain-of-function variant in EPO in an extended kindred with familial erythrocytosis, including 10 affected family members in four generations; this mutation, a single-nucleotide deletion (c.32delG), introduces a frameshift in exon 2 PMID: 29514032
- Here, using zebrafish, murine, and human models, the authors show that erythropoietin (EPO) signaling, together with the GATA1 transcriptional target, AKAP10, regulates heme biosynthesis during erythropoiesis at the outer mitochondrial membrane. PMID: 28553927
- Reduction in central venous blood pressure prompts an increase in plasma EPO concentration independent of hemoconcentration and hence suggests CVP per se as an acute regulator of EPO synthesis PMID: 27169519
- EPO (7q22) and SEC-61(7p11) emerged as new candidate genes susceptible to genetic losses with 57.7% deletions identified in regions on chromosome 7. PMID: 27282568
- The current controversy may derive from a context-dependent mode of action of Epo, namely opposite skeletal actions during bone regeneration and steady-state bone remodeling. PMID: 26822707
- High EPO expression is associated with monoclonal gammopathy of undetermined significance and multiple myeloma. PMID: 26919105
- age 3 plasma levels of EPO were found related to childhood asthma PMID: 27434124
- EPO induces an EMT-like process in mammary non-tumorigenic epithelial cells PMID: 28247960
- these results suggested that quercetin's cytoprotective effects in HepG2 cells are mediated via EPO production. PMID: 29080630
- Serum Epo and VEGF may be markers of severity of hypoxia-ischaemia and brain injury as they are closely related to hypoxic exposure. PMID: 27902983
- CIS interacted with phosphorylated EpoR at Y401, which was critical for the activation of STAT5 and ERK. PMID: 28038963
- EPO dependent regulation pathway of FGF23 gene expression PMID: 29073196
- Fetal plasma EPO concentrations are selectively increased in monochorionic twin pregnancies with intrauterine growth restriction. PMID: 27161360
- this study shows that EPO is involved in the pathogenesis of sepsis-induced acute kidney injury PMID: 27266727
- Erythropoietin is superior to the standard prognostic scores in predicting 28-day mortality in patients with acute-on-chronic liver failure. PMID: 27981303
- EPO levels were also found correlated positively with heme, TNF-alpha, IL-10, IP-10 and MCP-1 during cerebral malaria. PMID: 27441662
- Three single nucleotide polymorphisms are associated with increased risk of diabetic retinopathy in a Chinese Han population. PMID: 27190272
- Pharmacokinetic animal studies revealed strongly 15.6-fold plasma half-life extension for the PASylated EPO (83.16 +/- 13.28 h) in comparison to epoetin alpha (8.5 +/- 2.4 h) and darbepoetin alpha (25.3 +/- 2.2h). PMID: 28168382
- Secreted MIR122 reached the kidney and reduced expression of erythropoietin, contributing to inflammation-induced anemia. PMID: 27477940
- this paper shows that Epo could directly down-regulate pro-inflammatory T cell responses without affecting T cell activation status PMID: 27208431
- findings suggest that erythropoietin levels in anemia of unknown etiology, although elevated, remain inappropriately low, particularly when compared with other forms of anemia. This suggests a relative erythropoietin deficiency or a blunted erythroid cell response. PMID: 26747131
- Plasma IGFBP-1 was significantly associated with plasma EPO concentration in acute kidney injury, suggesting an unknown mechanism related to systemic stress conditions for EPO regulation in AKI. PMID: 26479890
- Our results suggest that EPO/EPOR pathway promotes gastric cancer formation, proliferation, migration, and decreases apoptosis PMID: 27086036
- These results suggest that both EpoR-positive and EpoR-negative cancer cells could be regulated by exogenous Epo. However, an increased response to erythropoietin was observed in the EpoR-positive cells. Thus, erythropoietin increases the risk of tumor progression in colon cancer and should not be used to treat anemia in this type of cancer. PMID: 27543111
- Overexpression of EPO is associated with clear cell renal cell carcinoma. PMID: 27468719
- EPO may play an important role in stem cell mobilization through up regulating HGF in mesenchymal stem cells and inducing migration of hematopoietic stem/progenitor cells PMID: 27865586
- A review of contemporary aspects of EPO relating to chronic liver disease. [review] PMID: 26919118
- Hepatic EPO synthesis is not enhanced in cirrhosis. PMID: 26924722
- Conclusion: Anemia in cancers was not because of inadequate Epo or Fe levels, but because of improper Epo response. PMID: 26838000
- In multivariate survival analysis, age, Epo and EpoR were independent prognostic factors related to overall survival in hepatocellular carcinoma. PMID: 26097591
- Suggest that hypoxia prevents EPO suppression, and exaggerates the plasma volume reduction induced by bed rest. PMID: 27081163
- Inadequate erythropoietin response may partly explain anemia in anorexia nervosa. PMID: 26049959
- these findings suggest that TGF-beta suppression and EPO stimulation promote erythropoiesis of CD34(+)CD31(+) progenitor cells derived from hPSCs. PMID: 26012423
- Our findings have important potential clinical implications, indicating that EPO supplementation in rhabdomyosarcoma patients may have the unwanted side effect of tumor progression. PMID: 26412593
- suggest that rhEPO regulates apoptosis-related genes and affects apoptosis in the hippocampus of aging rats by upregulating SIRT. PMID: 26261574
- Higher levels of endogenous erythropoietin are associated with incident heart failure in older adults. PMID: 26721912
- Erythropoietin protects mouse renal tubular basement membrane by promoting bone marrow cells to generate and secrete miR-144, which, in turn, inhibits activation of the tPA/MMP9-mediated proteolytic network. PMID: 26469975
- The review describes the induction of erythropoietin gene expression in liver, reproouctive and hemopoietic systems during hypoxia or a state of proliferation. PMID: 26995951
- Our data suggest that rs507392 and rs551238 in the erythropoietin gene probably act to lessen the risk for diabetic retinopathy (DR) in a Chinese cohort with type 2 diabetes mellitus (T2DM). PMID: 25675872
- Data suggest maternal circulating 25-hydroxyvitamin D during mid-pregnancy and at delivery is inversely related to serum EPO; an indirect relation observed between circulating vitamin D and circulating hemoglobin is at least partly mediated by EPO. PMID: 26447159
- This review gleans these different strategies and highlights the leading molecular recognition elements that have potential roles in rHuEPO doping detection. PMID: 25058943
- The addition of salt (even low concentrations of the strong chaotrope salt guanidinium hydrochloride) also exponentially decreased the initial rate of soluble erythropoietin non-native aggregation at 37 degrees C storage PMID: 25628168
- In very preterm infants, whether elevated perinatal erythropoietin (EPO) concentrations are associated with increased risks of indicators of brain damage, was determined. PMID: 25793991
顯示更多
收起更多
-
相關疾病:Microvascular complications of diabetes 2 (MVCD2)
-
亞細胞定位:Secreted.
-
蛋白家族:EPO/TPO family
-
組織特異性:Produced by kidney or liver of adult mammals and by liver of fetal or neonatal mammals.
-
數據庫鏈接:
Most popular with customers
-
-
YWHAB Recombinant Monoclonal Antibody
Applications: ELISA, WB, IHC, IF, FC
Species Reactivity: Human, Mouse, Rat
-
Phospho-YAP1 (S127) Recombinant Monoclonal Antibody
Applications: ELISA, WB, IHC
Species Reactivity: Human
-
-
-
-
-















