EPHB6 Antibody
-
中文名稱:EPHB6兔多克隆抗體
-
貨號:CSB-PA030360
-
規格:¥1100
-
圖片:
-
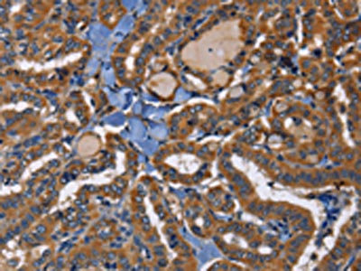
The image on the left is immunohistochemistry of paraffin-embedded Human thyroid cancer tissue using CSB-PA030360(EPHB6 Antibody) at dilution 1/40, on the right is treated with fusion protein. (Original magnification: ×200)
-
The image on the left is immunohistochemistry of paraffin-embedded Human colon cancer tissue using CSB-PA030360(EPHB6 Antibody) at dilution 1/40, on the right is treated with fusion protein. (Original magnification: ×200)
-
-
其他:
產品詳情
-
Uniprot No.:
-
基因名:EPHB6
-
別名:EPH receptor B6 antibody; Ephb6 antibody; EPHB6_HUMAN antibody; Ephrin type B receptor 6 precursor antibody; Ephrin type-B receptor 6 antibody; HEP antibody; MGC129910 antibody; MGC129911 antibody; Tyrosine protein kinase defective receptor EPH 6 antibody; Tyrosine-protein kinase-defective receptor EPH-6 antibody
-
宿主:Rabbit
-
反應種屬:Human,Mouse,Rat
-
免疫原:Fusion protein of Human EPHB6
-
免疫原種屬:Homo sapiens (Human)
-
標記方式:Non-conjugated
-
抗體亞型:IgG
-
純化方式:Antigen affinity purification
-
濃度:It differs from different batches. Please contact us to confirm it.
-
保存緩沖液:-20°C, pH7.4 PBS, 0.05% NaN3, 40% Glycerol
-
產品提供形式:Liquid
-
應用范圍:ELISA,IHC
-
推薦稀釋比:
Application Recommended Dilution ELISA 1:1000-1:5000 IHC 1:50-1:200 -
Protocols:
-
儲存條件:Upon receipt, store at -20°C or -80°C. Avoid repeated freeze.
-
貨期:Basically, we can dispatch the products out in 1-3 working days after receiving your orders. Delivery time maybe differs from different purchasing way or location, please kindly consult your local distributors for specific delivery time.
-
用途:For Research Use Only. Not for use in diagnostic or therapeutic procedures.
相關產品
靶點詳情
-
功能:Kinase-defective receptor for members of the ephrin-B family. Binds to ephrin-B1 and ephrin-B2. Modulates cell adhesion and migration by exerting both positive and negative effects upon stimulation with ephrin-B2. Inhibits JNK activation, T-cell receptor-induced IL-2 secretion and CD25 expression upon stimulation with ephrin-B2.
-
基因功能參考文獻:
- using an EphB6 mouse knockout model we found that the loss of EphB6 does not initiate intestinal tumorigenesis and is not involved in the early tumor progression through the adenoma-to-carcinoma transition. PMID: 28262839
- Data indicate that EphB6 protein was decreased in gastric carcinoma compared with normal mucosa. Analytic results based on pathological parameters suggests that EphB6 protein may inhibit metastasis of gastric carcinoma. PMID: 28453458
- Authors provide evidence that an intrinsically kinase-inactive member of the Eph group of receptor tyrosine kinases, EPHB6, induces marked fragmentation of the mitochondrial network in breast cancer cells of triple-negative origin, lacking expression of the estrogen, progesterone and HER2 receptors. PMID: 27788485
- SRC kinase is a synthetic lethality partner of EPHB6 in triple-negative breast cancer cells PMID: 27418135
- Study is the first to demonstrate that EphB6 overexpression together with Apc gene mutations may enhance proliferation, invasion and metastasis by colorectal epithelial cells. PMID: 27145271
- Melanomas from geographically different regions in New Zealand have markedly different mutation frequencies, in particular in the NRAS and EPHB6 genes, when compared to The Cancer Genome Atlas database or other populations. These data have implications for the causation and treatment of malignant melanoma in New Zealand. PMID: 27191502
- Low EPHB6 expression is associated with prostate cancer metastasis. PMID: 28826721
- Enhanced EphB6 expression was significantly associated with Thyroid Lesions. PMID: 26220827
- EphB6 protein may be used as a new marker for prognosis for tongue squamous cell carcinoma. PMID: 26617870
- EphB6 is a new biomarker for distinguishing high- and low-grade ovarian serous carcinoma, and may be a potential prognostic marker in ovarian serous carcinomas. PMID: 26468391
- EphB6 also interacts with the Hsp90 chaperone. PMID: 25152371
- We demonstrate that EphB6 reexpression forces metastatic melanoma cells to deviate from the canonical migration pattern observed in the chick embryo transplant model PMID: 24836890
- Results suggest that erythropoietin-producing hepatocyte (Eph) receptor B6 (EphB6) may represent a useful tissue biomarker for the prediction of survival rate in colorectal cancers (CRCs). PMID: 24912672
- Studies clearly demonstrate an inverse relationship between the levels of phospho-ERK and the abundance of cadherin 17, beta-catenin and phospho-GSK3beta in EPHB6-expressing MDA-MB-231 cells. PMID: 25331796
- The alterations in miRNAs and their target mRNAs also suggest indirect involvement of EphB6 in PI3K/Akt/mTOR pathways. PMID: 21811619
- results indicate that tumor invasiveness-suppressing activity of EPHB6 is mediated by its ability to sequester other kinase-sufficient and oncogenic EPH receptors PMID: 21737611
- Nonsynonymous variants of EPHB6 is associated with familial colorectal cancer. PMID: 21351276
- expression of more than 70 proteins was altered in EphB6-transfected MDA-MB-231 cells; proteins are involved in glycolysis, cell cycle regulation, tumor suppression, cell proliferation, mitochondrial metabolism, mRNA splicing, DNA replication and repair PMID: 20952760
- The loss of EPHB6 expression in more aggressive breast carcinoma cell lines is regulated in a methylation-dependent manner. The EPHB6 methylation-specific PCR has clinical implications for the prognosis and/or diagnosis of breast and other cancer types PMID: 20181626
- Findings suggest a new role for EphB6 in suppressing cancer invasiveness and cell attachment through c-Cbl-dependent signaling. PMID: 20086179
- interaction between EphB6 and its ligands facilitates T cell responses to antigen PMID: 12393850
- EphB6 may play an important role in regulating thymocyte differentiation and modulating responses of mature T cells. PMID: 12517763
- lower EphB6 expression has a role in melanoma progression to metastatic disease PMID: 14612926
- EphB6 can both positively and negatively regulate cell adhesion and migration PMID: 15955811
- The potential significance of EphB6 to serve as a diagnostic and prognostic indicator is discussed. PMID: 16364251
- the two peptides derived from EphB6v might be appropriate targets for peptide-based specific immunotherapy for HLA-A2(+) patients with various cancers PMID: 18754880
- EphB6 receptor significantly alters invasiveness and other phenotypic characteristics of human breast carcinoma cells. PMID: 19234485
- The kinase defective EPHB6 receptor tyrosine kinase activates MAP kinase signaling in lung adenocarcinoma. PMID: 19513565
- Cross-linking of EphB6 alters profiles of lymphokine secretion, inhibits proliferation, induces Fas-mediated apoptosis of Jurkat leukemic T cells, and transduces signals into the cells via proteins it associates with. PMID: 11466354
顯示更多
收起更多
-
亞細胞定位:Membrane; Single-pass type I membrane protein.; [Isoform 3]: Secreted.
-
蛋白家族:Protein kinase superfamily, Tyr protein kinase family, Ephrin receptor subfamily
-
組織特異性:Expressed in brain. Expressed in non invasive breast carcinoma cell lines (at protein level). Strong expression in brain and pancreas, and weak expression in other tissues, such as heart, placenta, lung, liver, skeletal muscle and kidney. Expressed in bre
-
數據庫鏈接:
Most popular with customers
-
-
Phospho-YAP1 (S127) Recombinant Monoclonal Antibody
Applications: ELISA, WB, IHC
Species Reactivity: Human
-
-
-
-
-
-















