EPDR1 Antibody
-
中文名稱:EPDR1兔多克隆抗體
-
貨號:CSB-PA010637
-
規格:¥1100
-
圖片:
-
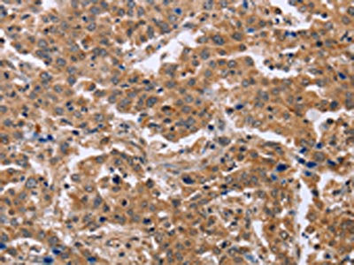
The image on the left is immunohistochemistry of paraffin-embedded Human liver cancer tissue using CSB-PA010637(EPDR1 Antibody) at dilution 1/40, on the right is treated with fusion protein. (Original magnification: ×200)
-
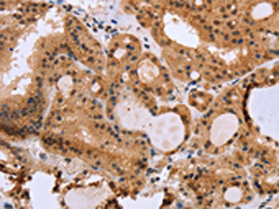
The image on the left is immunohistochemistry of paraffin-embedded Human thyroid cancer tissue using CSB-PA010637(EPDR1 Antibody) at dilution 1/40, on the right is treated with fusion protein. (Original magnification: ×200)
-
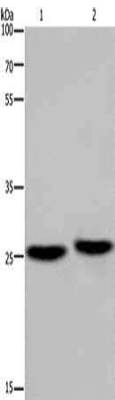
Gel: 8%SDS-PAGE, Lysate: 40 μg, Lane 1-2: Mouse brain tissue, human fetal muscle tissue, Primary antibody: CSB-PA010637(EPDR1 Antibody) at dilution 1/850, Secondary antibody: Goat anti rabbit IgG at 1/8000 dilution, Exposure time: 20 seconds
-
-
其他:
產品詳情
-
Uniprot No.:
-
基因名:EPDR1
-
別名:EPDR1 antibody; MERP1 antibody; UCC1Mammalian ependymin-related protein 1 antibody; MERP-1 antibody; Upregulated in colorectal cancer gene 1 protein antibody
-
宿主:Rabbit
-
反應種屬:Human,Mouse,Rat
-
免疫原:Fusion protein of Human EPDR1
-
免疫原種屬:Homo sapiens (Human)
-
標記方式:Non-conjugated
-
抗體亞型:IgG
-
純化方式:Antigen affinity purification
-
濃度:It differs from different batches. Please contact us to confirm it.
-
保存緩沖液:-20°C, pH7.4 PBS, 0.05% NaN3, 40% Glycerol
-
產品提供形式:Liquid
-
應用范圍:ELISA,WB,IHC
-
推薦稀釋比:
Application Recommended Dilution ELISA 1:2000-1:5000 WB 1:500-1:2000 IHC 1:50-1:200 -
Protocols:
-
儲存條件:Upon receipt, store at -20°C or -80°C. Avoid repeated freeze.
-
貨期:Basically, we can dispatch the products out in 1-3 working days after receiving your orders. Delivery time maybe differs from different purchasing way or location, please kindly consult your local distributors for specific delivery time.
-
用途:For Research Use Only. Not for use in diagnostic or therapeutic procedures.
相關產品
靶點詳情
-
功能:Binds anionic lipids and gangliosides at acidic pH.
-
基因功能參考文獻:
- Study results suggest functional involvement of EPDR1 in the etiology of Dupuytren's Disease. PMID: 27245865
- EPDR1 exhibits a pattern of isoform abundance dependent on KRAS G13D and G12D mutations. PMID: 27805251
- Results of this study suggest that EPDR1 gene can be added to a growing list of genes associated with Dupuytren's disease development. PMID: 24089297
- Shows that the mouse ortholog is a lysosomal protein. PMID: 16954209
-
亞細胞定位:Lysosome lumen. Secreted.
-
蛋白家族:Ependymin family
-
組織特異性:Ubiquitous. Detected in brain, heart, skeletal muscle, kidney, testis, ovary and prostate.
-
數據庫鏈接:
Most popular with customers
-
-
YWHAB Recombinant Monoclonal Antibody
Applications: ELISA, WB, IHC, IF, FC
Species Reactivity: Human, Mouse, Rat
-
-
-
-
-
-















