ENPP7 Antibody
-
中文名稱:ENPP7兔多克隆抗體
-
貨號:CSB-PA994398
-
規格:¥1100
-
圖片:
-
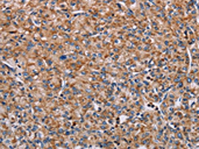
The image on the left is immunohistochemistry of paraffin-embedded Human prostate cancer tissue using CSB-PA994398(ENPP7 Antibody) at dilution 1/40, on the right is treated with synthetic peptide. (Original magnification: ×200)
-
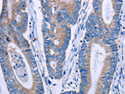
The image on the left is immunohistochemistry of paraffin-embedded Human colon cancer tissue using CSB-PA994398(ENPP7 Antibody) at dilution 1/40, on the right is treated with synthetic peptide. (Original magnification: ×200)
-
-
其他:
產品詳情
-
Uniprot No.:
-
基因名:ENPP7
-
別名:ENPP7; UNQ3077/PRO9912; Ectonucleotide pyrophosphatase/phosphodiesterase family member 7; E-NPP 7; NPP-7; Alkaline sphingomyelin phosphodiesterase; Intestinal alkaline sphingomyelinase; Alk-SMase
-
宿主:Rabbit
-
反應種屬:Human,Rat
-
免疫原:Synthetic peptide of Human ENPP7
-
免疫原種屬:Homo sapiens (Human)
-
標記方式:Non-conjugated
-
抗體亞型:IgG
-
純化方式:Antigen affinity purification
-
濃度:It differs from different batches. Please contact us to confirm it.
-
保存緩沖液:-20°C, pH7.4 PBS, 0.05% NaN3, 40% Glycerol
-
產品提供形式:Liquid
-
應用范圍:ELISA,IHC
-
推薦稀釋比:
Application Recommended Dilution ELISA 1:1000-1:2000 IHC 1:25-1:100 -
Protocols:
-
儲存條件:Upon receipt, store at -20°C or -80°C. Avoid repeated freeze.
-
貨期:Basically, we can dispatch the products out in 1-3 working days after receiving your orders. Delivery time maybe differs from different purchasing way or location, please kindly consult your local distributors for specific delivery time.
-
用途:For Research Use Only. Not for use in diagnostic or therapeutic procedures.
相關產品
靶點詳情
-
功能:Choline-specific phosphodiesterase that hydrolyzes sphingomyelin releasing the ceramide and phosphocholine and therefore is involved in sphingomyelin digestion, ceramide formation, and fatty acid (FA) absorption in the gastrointestinal tract. Has also phospholipase C activity and can also cleave phosphocholine from palmitoyl lyso-phosphatidylcholine and platelet-activating factor (PAF) leading to its inactivation. Does not have nucleotide pyrophosphatase activity. May promote cholesterol absorption by affecting the levels of sphingomyelin derived from either diet or endogenous sources, in the intestinal lumen.
-
基因功能參考文獻:
- human alkaline sphingomyelinase crystal structure provides insights into substrate recognition PMID: 28292932
- NPP7 activity and the ratio of 1.4/1.2 kb products in bile are significantly decreased in malignancy, particularly in cholangiocarcinoma. PMID: 25100243
- The F275A mutation of NPP7 showed impaired catalytic function whereas L107F mutation showed enhanced catalytic activity. PMID: 22177013
- predict the three-dimensional structure of NPP7 by homology modeling using a recently crystallized NPP from bacteria. Using the model, we studied the substrate specificity of the enzyme by docking. PMID: 20839774
- identified the amino acid and cDNA sequences of human intestinal alk-SMase, and found that it is a novel ecto-enzyme related to the ecto-nucleotide phosphodiesterase family with specific features essential for its SMase activity PMID: 12885774
- intestinal alkaline sphingomyelinase may have a one-exon deletion in colon cancer cells PMID: 15016655
- alk-SMase activity is severely affected by defective N-glycosylation at 5 sites and by structural alterations of the putative metal-binding sites and the predicted active core. PMID: 15458386
- Results describe the cloning of rat alkaline sphingomyelinase from rat intestine, comparison to the human sequence, adjustment of the putative protein in GenBank, and confirmation of the specific expression of the gene in the small intestine. PMID: 15708357
- Alkaline sphingomyelinase hydrolyses and inactivates PAF by a phospholipase C activity, a novel function by which it may counteract the development of intestinal inflammation and colon cancer. PMID: 16255717
顯示更多
收起更多
-
亞細胞定位:Cell membrane; Single-pass type I membrane protein.
-
蛋白家族:Nucleotide pyrophosphatase/phosphodiesterase family
-
組織特異性:Detected in the colon (at protein level). Expressed in the duodenum, jejunum and liver and at low levels in the ileum. Expression was very low in the esophagus, stomach and colon.
-
數據庫鏈接:
Most popular with customers
-
-
Phospho-YAP1 (S127) Recombinant Monoclonal Antibody
Applications: ELISA, WB, IHC
Species Reactivity: Human
-
-
-
-
-
-















