ELP4 Antibody
-
中文名稱:ELP4兔多克隆抗體
-
貨號:CSB-PA853408LA01HU
-
規格:¥440
-
圖片:
-
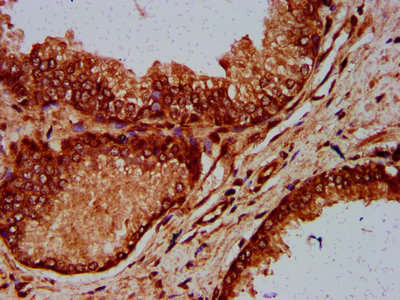
IHC image of CSB-PA853408LA01HU diluted at 1:600 and staining in paraffin-embedded human prostate tissue performed on a Leica BondTM system. After dewaxing and hydration, antigen retrieval was mediated by high pressure in a citrate buffer (pH 6.0). Section was blocked with 10% normal goat serum 30min at RT. Then primary antibody (1% BSA) was incubated at 4°C overnight. The primary is detected by a biotinylated secondary antibody and visualized using an HRP conjugated SP system.
-
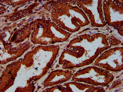
IHC image of CSB-PA853408LA01HU diluted at 1:600 and staining in paraffin-embedded human prostate cancer performed on a Leica BondTM system. After dewaxing and hydration, antigen retrieval was mediated by high pressure in a citrate buffer (pH 6.0). Section was blocked with 10% normal goat serum 30min at RT. Then primary antibody (1% BSA) was incubated at 4°C overnight. The primary is detected by a biotinylated secondary antibody and visualized using an HRP conjugated SP system.
-
Immunofluorescence staining of MCF-7 cells with CSB-PA853408LA01HU at 1:200, counter-stained with DAPI. The cells were fixed in 4% formaldehyde, permeabilized using 0.2% Triton X-100 and blocked in 10% normal Goat Serum. The cells were then incubated with the antibody overnight at 4°C. The secondary antibody was Alexa Fluor 488-congugated AffiniPure Goat Anti-Rabbit IgG(H+L).
-
-
其他:
產品詳情
-
產品名稱:Rabbit anti-Homo sapiens (Human) ELP4 Polyclonal antibody
-
Uniprot No.:
-
基因名:ELP4
-
別名:C11orf19 antibody; dJ68P15A.1 antibody; elongation protein 4 homolog (S. cerevisiae) antibody; Elongation protein 4 homolog antibody; Elongator complex protein 4 antibody; ELP4 antibody; ELP4_HUMAN antibody; FLJ20498 antibody; hELP4 antibody; PAX6 neighbor gene protein antibody; PAX6NEB antibody; PAXNEB antibody
-
宿主:Rabbit
-
反應種屬:Human
-
免疫原:Recombinant Human Elongator complex protein 4 protein (117-223AA)
-
免疫原種屬:Homo sapiens (Human)
-
標記方式:Non-conjugated
本頁面中的產品,ELP4 Antibody (CSB-PA853408LA01HU),的標記方式是Non-conjugated。對于ELP4 Antibody,我們還提供其他標記。見下表:
-
克隆類型:Polyclonal
-
抗體亞型:IgG
-
純化方式:>95%, Protein G purified
-
濃度:It differs from different batches. Please contact us to confirm it.
-
保存緩沖液:Preservative: 0.03% Proclin 300
Constituents: 50% Glycerol, 0.01M PBS, pH 7.4 -
產品提供形式:Liquid
-
應用范圍:ELISA, IHC, IF
-
推薦稀釋比:
Application Recommended Dilution IHC 1:500-1:1000 IF 1:200-1:500 -
Protocols:
-
儲存條件:Upon receipt, store at -20°C or -80°C. Avoid repeated freeze.
-
貨期:Basically, we can dispatch the products out in 1-3 working days after receiving your orders. Delivery time maybe differs from different purchasing way or location, please kindly consult your local distributors for specific delivery time.
-
用途:For Research Use Only. Not for use in diagnostic or therapeutic procedures.
相關產品
靶點詳情
-
功能:Component of the RNA polymerase II elongator complex, a multiprotein complex associated with the RNA polymerase II (Pol II) holoenzyme, and which is involved in transcriptional elongation. The elongator complex catalyzes formation of carboxymethyluridine in the wobble base at position 34 in tRNAs.
-
基因功能參考文獻:
- Our results suggest that ELP4 deletions are highly likely to be pathogenic, predisposing to a range of neurodevelopmental phenotypes from ASD to language impairment and epilepsy. PMID: 26010655
- Results show no difference in BDNF and ELP4 genotype frequencies between benign epilepsy with centrotemporal spikes patients and controls; haplotype analysis also revealed no statistical difference PMID: 25301525
- No association of SNPs in the ELP4 gene was detected in rolandic epilepsy patients. PMID: 24995671
- Data suggest that a non-coding mutation in ELP4 impairs brain-specific Elongator-mediated interaction of genes implicated in brain development, resulting in susceptibility to seizures and neurodevelopmental disorders. PMID: 19172991
-
相關疾病:Aniridia 2 (AN2)
-
亞細胞定位:Cytoplasm. Nucleus.
-
蛋白家族:ELP4 family
-
組織特異性:Widely expressed.
-
數據庫鏈接:
Most popular with customers
-
-
YWHAB Recombinant Monoclonal Antibody
Applications: ELISA, WB, IHC, IF, FC
Species Reactivity: Human, Mouse, Rat
-
Phospho-YAP1 (S127) Recombinant Monoclonal Antibody
Applications: ELISA, WB, IHC
Species Reactivity: Human
-
-
-
-
-















