ELF3 Antibody
-
中文名稱:ELF3兔多克隆抗體
-
貨號:CSB-PA007598LA01HU
-
規格:¥440
-
圖片:
-
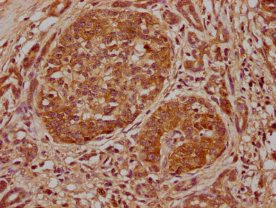
IHC image of CSB-PA007598LA01HU diluted at 1:500 and staining in paraffin-embedded human pancreatic cancer performed on a Leica BondTM system. After dewaxing and hydration, antigen retrieval was mediated by high pressure in a citrate buffer (pH 6.0). Section was blocked with 10% normal goat serum 30min at RT. Then primary antibody (1% BSA) was incubated at 4°C overnight. The primary is detected by a biotinylated secondary antibody and visualized using an HRP conjugated SP system.
-
Immunofluorescence staining of Hela cells with CSB-PA007598LA01HU at 1:166, counter-stained with DAPI. The cells were fixed in 4% formaldehyde, permeabilized using 0.2% Triton X-100 and blocked in 10% normal Goat Serum. The cells were then incubated with the antibody overnight at 4°C. The secondary antibody was Alexa Fluor 488-congugated AffiniPure Goat Anti-Rabbit IgG(H+L).
-
-
其他:
產品詳情
-
產品名稱:Rabbit anti-Homo sapiens (Human) ELF3 Polyclonal antibody
-
Uniprot No.:
-
基因名:
-
別名:E74 like factor 3 antibody; E74 like factor 3 ets domain transcription factor antibody; E74 like factor 3 ets domain transcription factor epithelial specific antibody; E74 like factor 3 ETS domain transcription factor serine box epithelial specific antibody; E74-like factor 3 antibody; Elf3 antibody; ELF3_HUMAN antibody; Epithelial restricted with serine box antibody; Epithelial-restricted with serine box antibody; Epithelium restricted Ets protein ESX antibody; Epithelium specific Ets factor 1 antibody; Epithelium specific Ets transcription factor 1 antibody; Epithelium-restricted Ets protein ESX antibody; Epithelium-specific Ets transcription factor 1 antibody; EPR 1 antibody; EPR1 antibody; ERT antibody; ESE-1 antibody; ESX antibody; Ets domain transcription factor serine box antibody; Ets domain transcription factor serine box epithelial specific antibody; Ets transcription factor antibody; ETS-related transcription factor Elf-3 antibody; jen antibody; MGC139318 antibody
-
宿主:Rabbit
-
反應種屬:Human
-
免疫原:Recombinant Human ETS-related transcription factor Elf-3 protein (147-371AA)
-
免疫原種屬:Homo sapiens (Human)
-
標記方式:Non-conjugated
本頁面中的產品,ELF3 Antibody (CSB-PA007598LA01HU),的標記方式是Non-conjugated。對于ELF3 Antibody,我們還提供其他標記。見下表:
-
克隆類型:Polyclonal
-
抗體亞型:IgG
-
純化方式:>95%, Protein G purified
-
濃度:It differs from different batches. Please contact us to confirm it.
-
保存緩沖液:Preservative: 0.03% Proclin 300
Constituents: 50% Glycerol, 0.01M PBS, pH 7.4 -
產品提供形式:Liquid
-
應用范圍:ELISA, IHC, IF
-
推薦稀釋比:
Application Recommended Dilution IHC 1:500-1:1000 IF 1:50-1:200 -
Protocols:
-
儲存條件:Upon receipt, store at -20°C or -80°C. Avoid repeated freeze.
-
貨期:Basically, we can dispatch the products out in 1-3 working days after receiving your orders. Delivery time maybe differs from different purchasing way or location, please kindly consult your local distributors for specific delivery time.
-
用途:For Research Use Only. Not for use in diagnostic or therapeutic procedures.
相關產品
靶點詳情
-
功能:Transcriptional activator that binds and transactivates ETS sequences containing the consensus nucleotide core sequence GGA[AT]. Acts synergistically with POU2F3 to transactivate the SPRR2A promoter and with RUNX1 to transactivate the ANGPT1 promoter. Also transactivates collagenase, CCL20, CLND7, FLG, KRT8, NOS2, PTGS2, SPRR2B, TGFBR2 and TGM3 promoters. Represses KRT4 promoter activity. Involved in mediating vascular inflammation. May play an important role in epithelial cell differentiation and tumorigenesis. May be a critical downstream effector of the ERBB2 signaling pathway. May be associated with mammary gland development and involution. Plays an important role in the regulation of transcription with TATA-less promoters in preimplantation embryos, which is essential in preimplantation development.
-
基因功能參考文獻:
- ELF3 was demonstrated to form a positive feedback loop with MAPK pathways. PMID: 30365150
- Low ESE1 expression is associated with Nonsmall cell lung cancer. PMID: 30015943
- Data suggest that ELF3 is up-regulated at mRNA and protein levels in NSCLC (non-small cell lung cancer) tissues compared to corresponding control lung tissue; expression level of ELF3 is correlated with overall survival of patients with NSCLC. PMID: 29208568
- Leptin synergizes with IL-1beta in inducing ELF3 expression in chondrocytes. PMID: 29550824
- Data proved the direct binding of miR-320a-3p on the 3'UTR region of ELF3 mRNA in non-small cell lung cancer cells, causing the decreasing expression of ELF3 transcriptionally. PMID: 29803922
- Data suggest ESE-1 silencing as a mean to treat HER2(+) patients who show resistance to anti-HER2 therapy. PMID: 29187433
- These findings position RIPK4 upstream of a hierarchal IRF6-GRHL3-ELF3 transcription factor pathway in keratinocytes. PMID: 27667567
- Epithelium-specific ETS transcription factor 1 (ESE1), a member of the Ets transcription factor family. PMID: 28247944
- ELF3 interacts directly with the HMG domain of Sox9. Importantly, overexpression of ELF3 significantly decreased Sox9/CBP-dependent HAT activity. PMID: 27310669
- Data indicate that the transcription factor E74-like factor 3 (ELF3) was one of the genes whose expression was upregulated in microdissected ovarian cancer cells of long-term survivors. PMID: 28199976
- ELF3 is a frequently mutated tumor suppressor gene of periampullary tumors. PMID: 26804919
- ELF3 is a novel transcriptional repressor of estrogen receptor alpha in breast cancer cells. PMID: 26920025
- suggest that ESE-1 may play a role in regulating airway inflammation by regulating ICAM-1 expression PMID: 26185364
- our data suggested that ESE1/ELF3 may promote the UC progression via accelerating NF-kappaB activation and thus facilitating IEC apoptosis. PMID: 25926267
- data suggest that polyomavirus enhancer activator 3 and epithelium-specific transcription factor-1 may play important roles in pluri potent and tumorigenic embryonic carcinoma cells. PMID: 24694612
- data identify Elf3 as a pivotal driver for beta-catenin signaling in CRC, and highlight potential prognostic and therapeutic significance of Elf3 in CRC. PMID: 24874735
- ESE-1 actS as an upstream effector to regulate OCT4 transcription in NCCIT pluripotent embryonic carcinoma cells. PMID: 24971534
- The physical interaction between ELF3 and androgen receptor (AR) inhibits the recruitment of AR to specific androgen response elements within target gene promoters. PMID: 23435425
- ELF3 is a candidate transcriptional regulator involved in human urothelial cytodifferentiation. PMID: 24374157
- The concordant upregulation of ESE1/ELF3 and NF-kappaB in human prostate tumors. PMID: 23687337
- Frequent copy number gains at 1q21 and 1q32 are associated with overexpression of the ETS transcription factors ETV3 and ELF3 in breast cancer irrespective of molecular subtypes. PMID: 23329352
- ELF3 and CEA expression showed statistically significant differences among four lymph node groups: lymph nodes from patients with colorectal cancer categorized into three Dukes' stages and LNs from patients with ulcerative colitis. PMID: 22993316
- a novel role for ELF3 as a procatabolic factor that may contribute to cartilage remodeling and degradation by regulating MMP13 gene transcription. PMID: 22158614
- ESE-1 contains signal sequences that play a critical role in regulating its subcellular localization and function, and that an intact SAR domain mediates mammary epithelial cell transformation exclusively in the cytoplasm PMID: 21871131
- ErbB2 activation of ESX gene expression PMID: 12032832
- ESX regulates HER2 expression by binding to DRIP130 PMID: 12242338
- co-ordinate activation and binding of ESE-1, Sp1, and NF-kappaB to the MIP-3alpha promoter is required for maximal gene expression by cytokine-stimulated Caco-2 human intestinal epithelial cells. PMID: 12414801
- Ese-1 binds with Skn-1a in human cells PMID: 12624109
- ERT mediates the expression of TGF-beta RII, and the transcriptional inhibition of ets-related transcription factor could be a one of the mechanisms of colonic carcinogenesis PMID: 14582709
- results support a role for the ETS factor ESE-1 as a novel transcriptional regulator of angiopoietin-1 gene regulation in the setting of inflammation PMID: 14715662
- ESX expression alone confers a transformed and in vitro metastatic phenotype to otherwise normal MCF-12A cells PMID: 14767472
- stably expressed green fluorescent protein-ESE-1 transforms MCF-12A human mammary epithelial cells; and the ESE-1 SAR domain, acting in the cytoplasm, is necessary and sufficient to mediate this transformation PMID: 15169914
- the induction of claudin7 expression by ELF3 appears critical to the formation of the epithelial structures in biphasic synovial sarcoma PMID: 17060315
- AT-hook domain, as well as serine- and aspartic acid-rich domain but not the pointed domain, is necessary for Elf3 activation of promoter activity. PMID: 17148437
- ESE-1 functions are coordinately regulated by Pak1 phosphorylation and beta-TrCP-dependent ubiquitin-proteasome pathways. PMID: 17491012
- Intracellular ESE-1 staining in chondrocytes in cartilage from patients with osteoarthritis, but not in normal cartilage, further suggests a fundamental role for ESE-1 in cartilage degeneration and suppression of repair. PMID: 18044710
- ESE-1 negatively regulates the invasion of oral squamous cell carcinoma via transcriptional suppression of MMP-9. PMID: 18302674
- ESE-1 and ESE-3 play an important role in airway inflammation. PMID: 18475289
顯示更多
收起更多
-
亞細胞定位:Cytoplasm. Nucleus.
-
蛋白家族:ETS family
-
組織特異性:Expressed exclusively in tissues containing a high content of terminally differentiated epithelial cells including mammary gland, colon, trachea, kidney, prostate, uterus, stomach and skin.
-
數據庫鏈接:
Most popular with customers
-
-
YWHAB Recombinant Monoclonal Antibody
Applications: ELISA, WB, IHC, IF, FC
Species Reactivity: Human, Mouse, Rat
-
-
-
-
-
VDAC1 Recombinant Monoclonal Antibody
Applications: ELISA, WB, IHC
Species Reactivity: Human, Mouse, Rat
-
VCP Recombinant Monoclonal Antibody
Applications: ELISA, WB, IHC, IF, IP
Species Reactivity: Human, Rat















