ELAVL1 Antibody
-
中文名稱:ELAVL1兔多克隆抗體
-
貨號:CSB-PA104194
-
規格:¥1100
-
圖片:
-
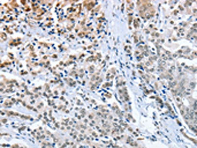
The image on the left is immunohistochemistry of paraffin-embedded Human lung cancer tissue using CSB-PA104194(ELAVL1 Antibody) at dilution 1/50, on the right is treated with fusion protein. (Original magnification: ×200)
-
The image on the left is immunohistochemistry of paraffin-embedded Human prostate cancer tissue using CSB-PA104194(ELAVL1 Antibody) at dilution 1/50, on the right is treated with fusion protein. (Original magnification: ×200)
-
Gel: 10%SDS-PAGE, Lysate: 40 μg, Lane 1-4: Hela cells, NIH/3T3 cells, A172 cells, A431 cells, Primary antibody: CSB-PA104194(ELAVL1 Antibody) at dilution 1/800, Secondary antibody: Goat anti rabbit IgG at 1/8000 dilution, Exposure time: 5 seconds
-
-
其他:
產品詳情
-
Uniprot No.:
-
基因名:
-
別名:ELAV (embryonic lethal abnormal vision Drosophila) like 1 antibody; ELAV (embryonic lethal; abnormal vision; Drosophila) like 1 (Hu antigen R) antibody; ELAV like 1 antibody; ELAV like RNA binding protein 1 antibody; ELAV-like protein 1 antibody; ELAV1 antibody; ELAV1_HUMAN antibody; Elavl1 antibody; Embryonic lethal abnormal vision drosophila homolog like 1 antibody; Hu Antigen R antibody; Hu-antigen R antibody; Hua antibody; HuR antibody; MelG antibody
-
宿主:Rabbit
-
反應種屬:Human,Mouse
-
免疫原:Fusion protein of Human ELAVL1
-
免疫原種屬:Homo sapiens (Human)
-
標記方式:Non-conjugated
-
抗體亞型:IgG
-
純化方式:Antigen affinity purification
-
濃度:It differs from different batches. Please contact us to confirm it.
-
保存緩沖液:-20°C, pH7.4 PBS, 0.05% NaN3, 40% Glycerol
-
產品提供形式:Liquid
-
應用范圍:ELISA,WB,IHC
-
推薦稀釋比:
Application Recommended Dilution ELISA 1:2000-1:5000 WB 1:500-1:2000 IHC 1:25-1:100 -
Protocols:
-
儲存條件:Upon receipt, store at -20°C or -80°C. Avoid repeated freeze.
-
貨期:Basically, we can dispatch the products out in 1-3 working days after receiving your orders. Delivery time maybe differs from different purchasing way or location, please kindly consult your local distributors for specific delivery time.
-
用途:For Research Use Only. Not for use in diagnostic or therapeutic procedures.
相關產品
靶點詳情
-
功能:RNA-binding protein that binds to the 3'-UTR region of mRNAs and increases their stability. Involved in embryonic stem cells (ESCs) differentiation: preferentially binds mRNAs that are not methylated by N6-methyladenosine (m6A), stabilizing them, promoting ESCs differentiation. Binds to poly-U elements and AU-rich elements (AREs) in the 3'-UTR of target mRNAs. Binds avidly to the AU-rich element in FOS and IL3/interleukin-3 mRNAs. In the case of the FOS AU-rich element, binds to a core element of 27 nucleotides that contain AUUUA, AUUUUA, and AUUUUUA motifs. Binds preferentially to the 5'-UUUU[AG]UUU-3' motif in vitro. With ZNF385A, binds the 3'-UTR of p53/TP53 mRNA to control their nuclear export induced by CDKN2A. Hence, may regulate p53/TP53 expression and mediate in part the CDKN2A anti-proliferative activity. May also bind with ZNF385A the CCNB1 mRNA. Increases the stability of the leptin mRNA harboring an AU-rich element (ARE) in its 3' UTR.
-
基因功能參考文獻:
- B4GALT1-AS1 recruited HuR to enhance YAP mRNA stability and thus its transcriptional activity PMID: 30182452
- HuR associates with TERC in vitro and in cultured cells. The association of HuR with TERC was required for the maintenance of TERC methylation and hence telomerase activity. Additionally, the regulation of telomerase activity by HuR was found to impact on the renewal of hematopoietic stem cells and was linked to dyskeratosis congenita, aplastic anemia, and autosomal dominant dyskeratosis congenita. PMID: 29880812
- this study identified an essential Jun/miR-22/HuR regulatory axis in CRC (the working model is summarised in Fig. 8) and highlighted the vital role of HuR and miR-22 in CRC proliferation and migration. PMID: 29351796
- RNA immunoprecipitation and RNA pull-down assays in glioma cell lines demonstrated that SNHG12 was associated with and was stabilized by Hu antigen R. Glioma patients with high levels of SNHG12 exhibited a reduced 5-year overall survival rate. PMID: 30015836
- Knockdown of HuR significantly increases the apoptosis of airway epithelial cells and down-regulates ZEB-1 expression. PMID: 29866111
- High HUR expression is associated with Invasive Breast Carcinoma. PMID: 28808873
- HuR acts as a tumor promoter by enhancing YAP expression in osteosarcoma cells. PMID: 29597092
- Study supports HuR's role as an upstream regulator of p62 expression in ARPE-19 cells, helps to understand better the early events in response to a proautophagy stimulus. PMID: 29576851
- Our data...strongly suggest that HuR expression...could be used as a prognostic marker in melanoma. PMID: 29393978
- HuR protein is expressed in the majority of the cases in all the tumors of the head and neck region examined. More importantly, higher levels of HuR expression have been noted, showing higher cytoplasmic levels in malignant or premalignant cases. Moreover, HuR modulates several genes implicated in biological processes important for malignant transformation, growth, and invasiveness. [review] PMID: 29619127
- Radiation-activated ataxia-telangiectasia mutated kinase/p38 signaling positively contributed to the nucleus to cytosol translocation of HuR. PMID: 29856906
- that HuR is involved in the process of acquiring malignant histopathological features and ability to invade the muscularis propria by urothelial bladder cancer cells PMID: 29566946
- HuR facilitated lung cancer stemness dependent on CDK3 expression. miR-873 or miR-125a-3p level was negatively correlated with HuR and CDK3 expression levels in lung cancer tissues. HuR facilitates lung cancer stemness via regulating miR-873/CDK3 and miR-125a-3p/CDK3 axis. PMID: 29344850
- HuR plays an important role in the progression of esophageal carcinoma by targeting IL-18. PMID: 28231690
- the promotive effects of HuR overexpression on the inflammatory response were attenuated when HUVECs were cotreated with HMGB1 short hairpin RNA. Therefore, the present results indicated that the ectopic expression of HuR may induce inflammatory responses and thus sepsis by activating the HMGB1 signaling pathway. PMID: 29115544
- Computational analysis of publicly available microarray datasets of non-small cell lung cancer (NSCC) treated with EGFR targeted therapy identified ESR1 and ELAV1 as the most highly ranked hub genes involved in the NSCLC acquired TKI-resistance. PMID: 29758295
- Studies indicate that by regulating the mRNAs of target genes, Hu antigen R protein (HuR) is causally linked to the onset and progression of kidney diseases [Review]. PMID: 28910975
- The widespread distribution of intronic adenylate-uridylate (AU)-rich elements (AREs) and their particular association with ELAVL1/HuR and ELAVL1/HuR binding sites indicates that more than half of human genes can be regulated post-transcriptionally by AREs. PMID: 29413897
- Posttranscriptional regulation of HuR by miR-133b enhances DTX cytotoxicity through inhibition of ABCG2. PMID: 29327946
- HuR is required for pancreatic ductal adenocarcinoma tumor growth. PMID: 28242812
- Transgenic expression of HuR in astrocytes accentuated neuronal injury and other secondary features of spinal cord injury including increased vascular permeability and astrocyte activation. PMID: 28487080
- HuR may be involved in the pathogenesis of glaucoma. PMID: 29107807
- Findings reveal a new mechanism whereby HUR protects NONO from mir320-mediated degradation upon UVC exposure and identify a new component within the complex network of players underlying the DNA damage response adding mir320a to the list of p53-regulated targets upon genotoxic stress. PMID: 27816966
- ectopic expression of HuR promotes breast cancer cell proliferation and survival by directly binding to and stabilizing CDK3 mRNA. PMID: 28501005
- New ELAVL1-TYK2 fusion gene is oncogenic in acute myeloid leukemia. PMID: 27189703
- High expression of HuR is correlated with thyroid cancer. PMID: 27542231
- Folate deficiency impaired spermatogenesis and reduced sperm concentration may partly due to inhibiting the expression of the three key molecules (Esr1, Cav1 and Elavl1) essential for sperm production. PMID: 28445960
- these studies demonstrate that HuR knockdown in triple-negative breast cancer cells elicits oxidative stress and DNA damage resulting in radiosensitization PMID: 27588488
- LncRNA-AK058003 can reduce the expression of mRNA stabilizing protein HuR and act as a precursor of miR-15a to suppress gamma-synuclein-mediated cell proliferation and the metastasis of hepatocellular carcinoma. PMID: 28035067
- These results indicate that HuR plays an important role in adenovirus replication, at least in part, by up-regulating IVa2 mRNA expression and that AU-rich element (ARE)-mRNA stabilization is required for both transformation and virus replication. PMID: 29225167
- Data indicate that both ELAVL1 and TIAR positively regulate endogenous SNCA in vivo. PMID: 29149290
- identified HuR as a novel posttranscriptional regulator of ABCA1 expression and cellular cholesterol homeostasis, thereby opening new avenues for increasing cholesterol efflux from atherosclerotic foam macrophages and raising circulat-ing HDL cholesterol levels. PMID: 24729624
- HuR expression and cytoplasmic localization were increased in fibrotic livers. S1P induced migration of human bone marrow Mesenchymal Stem Cells via S1PR3 and HuR. PMID: 27543493
- RNA-binding protein HuR (HuR) expression negatively correlated with chemokine (CC motif) ligand 5 (CCL5) expression and macrophage appearance in a cohort of breast tumors. PMID: 28731284
- Data indicate no correlation between RNA-binding protein HuR intracellular localization in tumor sections and progression free survival. PMID: 26943573
- our research demonstrated that NEAT1 acts as a key regulator in human ovarian carcinogenesis and revealed two regulatory factors (HuR and miR-124-3p) of NEAT1 expression. PMID: 27075229
- The crucial role of HuR as a stabilizing factor for the MR transcript. PMID: 28744670
- study found cytoplasmic HuR is significantly overexpressed in higher-grade (atypical and anaplastic) than in lower-grade meningiomas and the HuR level is correlated with survival in patients with meningioma; siHuR-induced HuR knockdown was shown to reduce the growth of both Ben-Men-1 and IOMM-Lee cells PMID: 28493484
- combined treatments of siHuR and epirubicin significantly reduced the expression of Bcl-2, but increased the expression of Bax, as well as activity and expression levels of caspase-3 and -9. In contrast, overHuR abrogated these effects PMID: 28968471
- High HuR expression is associated with pancreatic ductal adenocarcinomas. PMID: 28687616
- GPRC5A is a potential oncogene in pancreatic ductal adenocarcinoma cells that is upregulated by gemcitabine with help from HuR. PMID: 27415424
- Hur role in the epithelial-to-mesenchymal transition in pancreatic cancer PMID: 28965949
- exposing glioma cells to the HuR inhibitor tanshinone group compound 15,16-dihydrotanshinone-I or to the newly identified compound 5 disrupts HuR multimerization modules and reduces tumor cell survival and proliferation. PMID: 28790173
- We propose that the extensive binding of CircPABPN1 to HuR prevents HuR binding to PABPN1 mRNA and lowers PABPN1 translation, providing the first example of competition between a circRNA and its cognate mRNA for an RBP that affects translation. PMID: 28080204
- HuR contributes to efficient oxidative phosphorylation by regulating of CoQ10 biosynthesis. PMID: 26690054
- Data (including data from studies using knockout mice or cells from knockout mice) suggest HUR post-transcriptionally regulates CCR6 expression by binding to and stabilizing CCR6 mRNA and by promoting CCR6 translation in helper T-cells; knock-out of HUR reduces CCR6 expression on helper T-cells, impairs their migration to CNS, and prevents experimental autoimmune encephalomyelitis. (CCR6 = C-C chemokine receptor type 6) PMID: 28684423
- Taken together, our results indicate that HuR activation is an early event in familial adenomatosis polyposis (FAP)--adenoma but is not present in inflammatory bowel disease (IBD)-dysplasia. Furthermore, our results offer a preclinical proof of concept for HuR inhibition as an effective means of FAP chemoprevention, with caution advised in the setting of IBD PMID: 28428272
- Negative regulation of RNA-binding protein HuR by tumor-suppressor ECRG2 PMID: 26434587
- Data suggest that ERBB2 is post-transcriptionally up-regulated in tamoxifen-resistant estrogen receptor-positive breast cancer cells; ERBB2 expression is decreased post-transcriptionally by miRNA26a/b binding to its 3prime- untranslated region; ERBB2 expression is increased post-transcriptionally by HuR binding to its 3prime-untranslated region. (ERBB2 = epidermal growth factor receptor 2; HuR = Hu antigen R) PMID: 28637868
- by modulating extracellular export of miR-122, HuR could control stress response in starved human hepatic cells. PMID: 27402548
顯示更多
收起更多
-
亞細胞定位:Cytoplasm. Nucleus. Cytoplasm, Stress granule.
-
蛋白家族:RRM elav family
-
組織特異性:Ubiquitous. Detected in brain, liver, thymus and muscle.
-
數據庫鏈接:
Most popular with customers
-
-
YWHAB Recombinant Monoclonal Antibody
Applications: ELISA, WB, IHC, IF, FC
Species Reactivity: Human, Mouse, Rat
-
Phospho-YAP1 (S127) Recombinant Monoclonal Antibody
Applications: ELISA, WB, IHC
Species Reactivity: Human
-
-
-
-
-















