EIPR1 Antibody
-
中文名稱:EIPR1兔多克隆抗體
-
貨號:CSB-PA681508LA01HU
-
規格:¥440
-
圖片:
-
其他:
產品詳情
-
產品名稱:Rabbit anti-Homo sapiens (Human) EIPR1 Polyclonal antibody
-
Uniprot No.:
-
基因名:EIPR1
-
別名:EIPR1 antibody; TSSC1EARP and GARP complex-interacting protein 1 antibody; Endosome-associated recycling protein-interacting protein antibody; Golgi-associated retrograde protein-interacting protein antibody; Tumor-suppressing STF cDNA 1 protein antibody; Tumor-suppressing subchromosomal transferable fragment candidate gene 1 protein antibody
-
宿主:Rabbit
-
反應種屬:Human
-
免疫原:Recombinant Human EARP and GARP complex-interacting protein 1 protein (201-387AA)
-
免疫原種屬:Homo sapiens (Human)
-
標記方式:Non-conjugated
本頁面中的產品,EIPR1 Antibody (CSB-PA681508LA01HU),的標記方式是Non-conjugated。對于EIPR1 Antibody,我們還提供其他標記。見下表:
-
克隆類型:Polyclonal
-
抗體亞型:IgG
-
純化方式:>95%, Protein G purified
-
濃度:It differs from different batches. Please contact us to confirm it.
-
保存緩沖液:Preservative: 0.03% Proclin 300
Constituents: 50% Glycerol, 0.01M PBS, PH 7.4 -
產品提供形式:Liquid
-
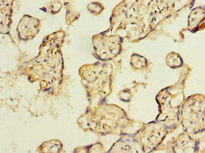
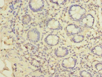
應用范圍:ELISA, IHC
-
推薦稀釋比:
Application Recommended Dilution IHC 1:20-1:200 -
Protocols:
-
儲存條件:Upon receipt, store at -20°C or -80°C. Avoid repeated freeze.
-
貨期:Basically, we can dispatch the products out in 1-3 working days after receiving your orders. Delivery time maybe differs from different purchasing way or location, please kindly consult your local distributors for specific delivery time.
-
用途:For Research Use Only. Not for use in diagnostic or therapeutic procedures.
相關產品
靶點詳情
-
功能:Acts as a component of endosomal retrieval machinery that is involved in protein transport from early endosomes to either recycling endosomes or the trans-Golgi network. Mediates the recruitment of Golgi-associated retrograde protein (GARP) complex to the trans-Golgi network and controls early endosome-to-Golgi transport of internalized protein(PubMed:27440922). Promotes the recycling of internalized transferrin receptor (TFRC) to the plasma membrane through interaction with endosome-associated recycling protein (EARP) complex. Controls proper insulin distribution and secretion, and retention of cargo in mature dense core vesicles. Required for the stability of the endosome-associated retrograde protein (EARP) complex subunits and for proper localization and association of EARP with membranes.
-
基因功能參考文獻:
- Fluorescence recovery after photobleaching shows that TSSC1 is required for efficient recruitment of GARP to the TGN. These studies thus demonstrate that TSSC1 plays a critical role in endosomal retrieval pathways as a regulator of both GARP and EARP function. PMID: 27440922
- TSSC1 inhibits breast cancer cell invasion. Subsequently, TSSC1 is confirmed as a target of Runx2 and is negatively regulated by Runx2. PMID: 23933319
-
亞細胞定位:Golgi apparatus, trans-Golgi network.
-
蛋白家族:WD repeat EIPR1 family
-
數據庫鏈接:
Most popular with customers
-
-
YWHAB Recombinant Monoclonal Antibody
Applications: ELISA, WB, IHC, IF, FC
Species Reactivity: Human, Mouse, Rat
-
Phospho-YAP1 (S127) Recombinant Monoclonal Antibody
Applications: ELISA, WB, IHC
Species Reactivity: Human
-
-
-
-
-















