EIF6 Antibody
-
中文名稱:EIF6兔多克隆抗體
-
貨號:CSB-PA007582LA01HU
-
規格:¥440
-
圖片:
-
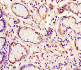
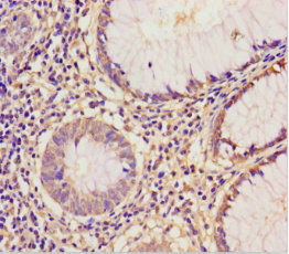
Immunohistochemistry of paraffin-embedded human colon cancer using CSB-PA007582LA01HU at dilution of 1:100
-
Immunohistochemistry of paraffin-embedded human gastric cancer using CSB-PA007582LA01HU at dilution of 1:100
-
Immunofluorescent analysis of Hela cells using CSB-PA007582LA01HU at dilution of 1:100 and Alexa Fluor 488-congugated AffiniPure Goat Anti-Rabbit IgG(H+L)
-
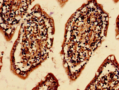
Immunohistochemistry analysis of human small intestine tissue using CSB-PA007582LA01HU at dilution of 1:100
-
-
其他:
產品詳情
-
產品名稱:Rabbit anti-Homo sapiens (Human) EIF6 Polyclonal antibody
-
Uniprot No.:
-
基因名:EIF6
-
別名:b(2)gcn antibody; B(2)GCN homolog antibody; B4 integrin interactor antibody; Binding protein of beta-4 integrin antibody; CAB antibody; eIF-6 antibody; EIF3A antibody; EIF6 antibody; Eukaryotic translation initiation factor 3A antibody; Eukaryotic translation initiation factor 6 antibody; IF6_HUMAN antibody; Integrin beta 4 binding protein antibody; ITGB4BP antibody; OK/SW-cl.27 antibody; p27 beta 4 integrin binding protein antibody; p27(BBP) antibody; p27BBP antibody; RP4-614O4.1 antibody
-
宿主:Rabbit
-
反應種屬:Human
-
免疫原:Recombinant Human Eukaryotic translation initiation factor 6 protein (1-245AA)
-
免疫原種屬:Homo sapiens (Human)
-
標記方式:Non-conjugated
本頁面中的產品,EIF6 Antibody (CSB-PA007582LA01HU),的標記方式是Non-conjugated。對于EIF6 Antibody,我們還提供其他標記。見下表:
-
克隆類型:Polyclonal
-
抗體亞型:IgG
-
純化方式:>95%, Protein G purified
-
濃度:It differs from different batches. Please contact us to confirm it.
-
保存緩沖液:Preservative: 0.03% Proclin 300
Constituents: 50% Glycerol, 0.01M PBS, PH 7.4 -
產品提供形式:Liquid
-
應用范圍:ELISA, IHC, IF
-
推薦稀釋比:
Application Recommended Dilution IHC 1:20-1:200 IF 1:50-1:200 -
Protocols:
-
儲存條件:Upon receipt, store at -20°C or -80°C. Avoid repeated freeze.
-
貨期:Basically, we can dispatch the products out in 1-3 working days after receiving your orders. Delivery time maybe differs from different purchasing way or location, please kindly consult your local distributors for specific delivery time.
-
用途:For Research Use Only. Not for use in diagnostic or therapeutic procedures.
相關產品
靶點詳情
-
功能:Binds to the 60S ribosomal subunit and prevents its association with the 40S ribosomal subunit to form the 80S initiation complex in the cytoplasm. Behaves as a stimulatory translation initiation factor downstream insulin/growth factors. Is also involved in ribosome biogenesis. Associates with pre-60S subunits in the nucleus and is involved in its nuclear export. Cytoplasmic release of TIF6 from 60S subunits and nuclear relocalization is promoted by a RACK1 (RACK1)-dependent protein kinase C activity. In tissues responsive to insulin, controls fatty acid synthesis and glycolysis by exerting translational control of adipogenic transcription factors such as CEBPB, CEBPD and ATF4 that have G/C rich or uORF in their 5'UTR. Required for ROS-dependent megakaryocyte maturation and platelets formation, controls the expression of mitochondrial respiratory chain genes involved in reactive oxygen species (ROS) synthesis. Involved in miRNA-mediated gene silencing by the RNA-induced silencing complex (RISC). Required for both miRNA-mediated translational repression and miRNA-mediated cleavage of complementary mRNAs by RISC. Modulates cell cycle progression and global translation of pre-B cells, its activation seems to be rate-limiting in tumorigenesis and tumor growth.
-
基因功能參考文獻:
- in human CD4(+) T cells, eIF6 levels rapidly increase upon T-cell receptor activation and drive the glycolytic switch and the acquisition of effector functions PMID: 28743432
- Studies indicate that eukaryotic translation initiation factor 6 (eIF6) is a central regulator of metabolism independent from mTOR protein and myc proto-oncogene protein (Myc). PMID: 27913676
- Propose that eIF6 is necessary for malignant pleural mesothelioma growth. PMID: 26462016
- EIF6 plays an important role in controlling cell motility and tumor metastasis. PMID: 25886394
- eIF6 is a node regulator of ribosomal function and predict that prioritizing its pharmacological targeting will be of benefit in cancer and Shwachman-Bodian-Diamond syndrome PMID: 25252159
- SBDS protein facilitates the release of eIF6, a factor that prevents ribosome joining. PMID: 23115272
- eIF6 is one of the downstream effectors of Notch-1 in the pathway that controls cell motility and invasiveness in tumor cell lines PMID: 22348144
- The interactions between P311 and ITGB4BP may be very important in the process of tumor cell differentiation and metastasis. PMID: 22365962
- The benign prognosis of the Shwachman-Diamond syndrome patients with the int del (20)(q11.21q13.32) may be due to a gene/dosage effect for the EIF6 protein. PMID: 22295858
- Inhibiting the induction of two proteins involved in two of the most significantly upregulated cellular processes, ribosome biogenesis (eIF6) and hnRNA splicing (SF3B2/SF3B4), showed that human T cells can enter the cell cycle without growing in size. PMID: 22415777
- a direct role for SBDS and EFL1 in catalyzing the translational activation of ribosomes in all eukaryotes, and define SDS as a ribosomopathy caused by uncoupling GTP hydrolysis from eIF6 release PMID: 21536732
- P311 and ITGB4BP expression was elevated in non-small cell lung cancer, possibly indicative of a new signaling pathway. PMID: 21029697
- Ca(2+)-activated calcineurin phosphatase binds to and promotes nuclear localization of eIF6.Nuclear export of eIF6 is regulated by phosphorylation at Ser-174 and Ser-175 by the nuclear isoform of CK1. PMID: 21084295
- eIF6 release regulates ribosome subunit joining and RACK1 provides a physical and functional link between PKC signalling and ribosome activation PMID: 14654845
- ITGB4BP is overexpressed in head and neck cancers and its metastases. PMID: 15122657
- Human eIF6 promoter contains consensus sites for the GABP (GA-binding protein) transcription factor complex. PMID: 16530192
- results uncover an evolutionarily conserved function of the ribosome anti-association factor eIF6 in miRNA-mediated post-transcriptional silencing PMID: 17507929
- Nuclear matrix proteins such as mutant Pyst1 and nucleophosmin 1 were downregulated, whereas eIF6 and beta-tubulin were upregulated during cell differentiation in hepatocarcinoma cells. PMID: 17569113
- definitive evidence that eIF6 and dicer are both upregulated in a significant proportion of ovarian serous carcinomas PMID: 18327211
顯示更多
收起更多
-
亞細胞定位:Cytoplasm. Nucleus, nucleolus. Note=Shuttles between cytoplasm and nucleus/nucleolus.
-
蛋白家族:EIF-6 family
-
組織特異性:Expressed at very high levels in colon carcinoma with lower levels in normal colon and ileum and lowest levels in kidney and muscle (at protein level).
-
數據庫鏈接:
Most popular with customers
-
-
YWHAB Recombinant Monoclonal Antibody
Applications: ELISA, WB, IHC, IF, FC
Species Reactivity: Human, Mouse, Rat
-
-
-
-
-
-















