EIF5 Antibody
-
中文名稱:EIF5兔多克隆抗體
-
貨號:CSB-PA915667
-
規格:¥1100
-
圖片:
-
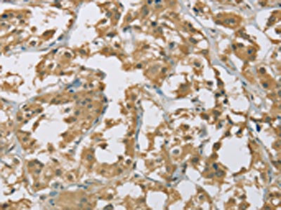
The image on the left is immunohistochemistry of paraffin-embedded Human liver cancer tissue using CSB-PA915667(EIF5 Antibody) at dilution 1/25, on the right is treated with fusion protein. (Original magnification: ×200)
-
The image on the left is immunohistochemistry of paraffin-embedded Human thyroid cancer tissue using CSB-PA915667(EIF5 Antibody) at dilution 1/25, on the right is treated with fusion protein. (Original magnification: ×200)
-
-
其他:
產品詳情
-
Uniprot No.:
-
基因名:EIF5
-
別名:2810011H21Rik antibody; D12Ertd549e antibody; EIF 5 antibody; EIF 5A antibody; eIF-5 antibody; Eif5 antibody; Eukaryotic initiation factor 5 antibody; Eukaryotic translation initiation factor 5 antibody; IF5_HUMAN antibody; MGC36374 antibody; MGC36509 antibody
-
宿主:Rabbit
-
反應種屬:Human,Mouse,Rat
-
免疫原:Fusion protein of Human EIF5
-
免疫原種屬:Homo sapiens (Human)
-
標記方式:Non-conjugated
-
抗體亞型:IgG
-
純化方式:Antigen affinity purification
-
濃度:It differs from different batches. Please contact us to confirm it.
-
保存緩沖液:-20°C, pH7.4 PBS, 0.05% NaN3, 40% Glycerol
-
產品提供形式:Liquid
-
應用范圍:ELISA,IHC
-
推薦稀釋比:
Application Recommended Dilution ELISA 1:1000-1:2000 IHC 1:25-1:100 -
Protocols:
-
儲存條件:Upon receipt, store at -20°C or -80°C. Avoid repeated freeze.
-
貨期:Basically, we can dispatch the products out in 1-3 working days after receiving your orders. Delivery time maybe differs from different purchasing way or location, please kindly consult your local distributors for specific delivery time.
-
用途:For Research Use Only. Not for use in diagnostic or therapeutic procedures.
相關產品
靶點詳情
-
功能:Catalyzes the hydrolysis of GTP bound to the 40S ribosomal initiation complex (40S.mRNA.Met-tRNA[F].eIF-2.GTP) with the subsequent joining of a 60S ribosomal subunit resulting in the release of eIF-2 and the guanine nucleotide. The subsequent joining of a 60S ribosomal subunit results in the formation of a functional 80S initiation complex (80S.mRNA.Met-tRNA[F]).
-
基因功能參考文獻:
- The down-regulation of the GCN4 expression (Gcn(-) phenotype) in the eIF5(G31R) mutant was not because of leaky scanning defects; rather was due to the utilization of upUUG initiation codons at the 5' regulatory region present between uORF1 and the main GCN4 ORF. PMID: 28385532
- overexpression of eIF5 and 5MP induces translation of ATF4 PMID: 27325740
- it is eIF5-induced GTP hydrolysis and Pi release that irreversibly trap the 48S complex, and this complex is further stabilized by eIF5B and 60S joining. PMID: 26717981
- The N-terminal tail of eIF1A mediates the interaction with eIF5 and eIF1. PMID: 24319994
- This study provides mechanistic insight into the role of eIF5-carboxyl terminal domain's dynamic interplay with eIF1 and eIF2beta. PMID: 22813744
- miR-5787 represses cell growth, in part, by targeting eIF5. PMID: 22062548
- 3-dimensional solution structure of N-terminal domain of human eIF5, has 2 subdomains, both reminiscent of nucleic-acid-binding modules. N-terminal subdomain contains "arginine finger" motif essential for GAP function. PMID: 16584190
- The carboxy-terminal domain (CTD)of eIF5 is exclusively composed out of alpha-helices and is homologous to the carboxy-terminal domain of eIF2B-epsilon (eIF2Bepsilon-CTD). The binding sites of eIF2-beta, eIF3 and eIF1 were mapped onto the structure. PMID: 16781736
顯示更多
收起更多
-
蛋白家族:EIF-2-beta/eIF-5 family
-
數據庫鏈接:
Most popular with customers
-
-
Phospho-YAP1 (S127) Recombinant Monoclonal Antibody
Applications: ELISA, WB, IHC
Species Reactivity: Human
-
-
-
-
-
-















