EIF4EBP3 Antibody
-
中文名稱:EIF4EBP3兔多克隆抗體
-
貨號:CSB-PA007565HA01HU
-
規格:¥440
-
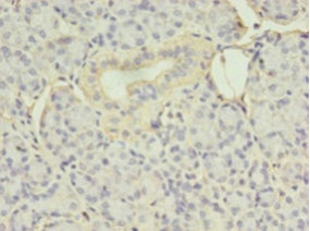
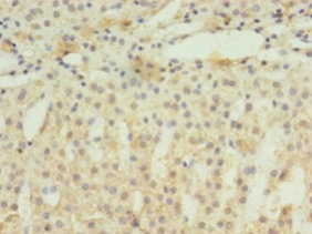
圖片:
-
其他:
產品詳情
-
產品名稱:Rabbit anti-Homo sapiens (Human) EIF4EBP3 Polyclonal antibody
-
Uniprot No.:
-
基因名:EIF4EBP3
-
別名:EIF4EBP3Eukaryotic translation initiation factor 4E-binding protein 3 antibody; 4E-BP3 antibody; eIF4E-binding protein 3 antibody
-
宿主:Rabbit
-
反應種屬:Human
-
免疫原:Recombinant Human Eukaryotic translation initiation factor 4E-binding protein 3 protein (1-100AA)
-
免疫原種屬:Homo sapiens (Human)
-
標記方式:Non-conjugated
本頁面中的產品,EIF4EBP3 Antibody (CSB-PA007565HA01HU),的標記方式是Non-conjugated。對于EIF4EBP3 Antibody,我們還提供其他標記。見下表:
-
克隆類型:Polyclonal
-
抗體亞型:IgG
-
純化方式:>95%, Protein G purified
-
濃度:It differs from different batches. Please contact us to confirm it.
-
保存緩沖液:Preservative: 0.03% Proclin 300
Constituents: 50% Glycerol, 0.01M PBS, PH 7.4 -
產品提供形式:Liquid
-
應用范圍:ELISA, IHC
-
推薦稀釋比:
Application Recommended Dilution IHC 1:20-1:200 -
Protocols:
-
儲存條件:Upon receipt, store at -20°C or -80°C. Avoid repeated freeze.
-
貨期:Basically, we can dispatch the products out in 1-3 working days after receiving your orders. Delivery time maybe differs from different purchasing way or location, please kindly consult your local distributors for specific delivery time.
-
用途:For Research Use Only. Not for use in diagnostic or therapeutic procedures.
相關產品
靶點詳情
-
功能:Repressor of translation initiation that regulates EIF4E activity by preventing its assembly into the eIF4F complex: hypophosphorylated form competes with EIF4G1/EIF4G3 and strongly binds to EIF4E, leading to repress translation. In contrast, hyperphosphorylated form dissociates from EIF4E, allowing interaction between EIF4G1/EIF4G3 and EIF4E, leading to initiation of translation.
-
基因功能參考文獻:
- Role of the eIF4EBP3 gene in miR-22-3p-mediated cervical squamous carcinoma cell growth PMID: 29333098
- The data reveal that 4E-BP3 expression is controlled by the transcription factor TFE3 through a cis-regulatory element in the EIF4EBP3 gene promoter. PMID: 27319316
- 4E-BP3 regulates eIF4E-mediated nuclear mRNA export and interacts with replication protein A2 PMID: 22684010
- potential prognostic factor for survival in patients with lung adenocarcinoma PMID: 20621385
- 4E-BP3 is associated with eIF4E in the cell nucleus and cytoplasm PMID: 12482586
- PHAS-II, but not PHAS-III, contributes to the control of protein synthesis by insulin PMID: 14507920
- there are overlapping reading frames in the mouse and human genes for 4E-BP3 and MASK PMID: 14557257
顯示更多
收起更多
-
蛋白家族:EIF4E-binding protein family
-
組織特異性:Expression is highest in skeletal muscle, heart, kidney, and pancreas, whereas there is very little expression in brain and thymus.
-
數據庫鏈接:
Most popular with customers
-
-
YWHAB Recombinant Monoclonal Antibody
Applications: ELISA, WB, IHC, IF, FC
Species Reactivity: Human, Mouse, Rat
-
Phospho-YAP1 (S127) Recombinant Monoclonal Antibody
Applications: ELISA, WB, IHC
Species Reactivity: Human
-
-
-
-
-















