EIF2AK4 Antibody
-
中文名稱:EIF2AK4兔多克隆抗體
-
貨號:CSB-PA555295
-
規格:¥1100
-
圖片:
-
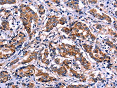
The image on the left is immunohistochemistry of paraffin-embedded Human breast cancer tissue using CSB-PA555295(EIF2AK4 Antibody) at dilution 1/50, on the right is treated with fusion protein. (Original magnification: ×200)
-
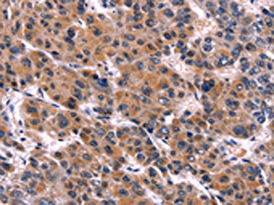
The image on the left is immunohistochemistry of paraffin-embedded Human liver cancer tissue using CSB-PA555295(EIF2AK4 Antibody) at dilution 1/50, on the right is treated with fusion protein. (Original magnification: ×200)
-
-
其他:
產品詳情
-
Uniprot No.:
-
基因名:
-
別名:E2AK4_HUMAN antibody; Eif2ak4 antibody; Eukaryotic Translation Initiation Factor 2 alpha kinase 4 antibody; Eukaryotic translation initiation factor 2-alpha kinase 4 antibody; GCN2 antibody; GCN2 eIF2alpha kinase antibody; GCN2 like protein antibody; GCN2-like protein antibody; KIAA1338 antibody; MGCN2 antibody
-
宿主:Rabbit
-
反應種屬:Human,Mouse
-
免疫原:Fusion protein of Human EIF2AK4
-
免疫原種屬:Homo sapiens (Human)
-
標記方式:Non-conjugated
-
抗體亞型:IgG
-
純化方式:Antigen affinity purification
-
濃度:It differs from different batches. Please contact us to confirm it.
-
保存緩沖液:-20°C, pH7.4 PBS, 0.05% NaN3, 40% Glycerol
-
產品提供形式:Liquid
-
應用范圍:ELISA,IHC
-
推薦稀釋比:
Application Recommended Dilution ELISA 1:2000-1:5000 IHC 1:50-1:200 -
Protocols:
-
儲存條件:Upon receipt, store at -20°C or -80°C. Avoid repeated freeze.
-
貨期:Basically, we can dispatch the products out in 1-3 working days after receiving your orders. Delivery time maybe differs from different purchasing way or location, please kindly consult your local distributors for specific delivery time.
-
用途:For Research Use Only. Not for use in diagnostic or therapeutic procedures.
相關產品
靶點詳情
-
功能:Metabolic-stress sensing protein kinase that phosphorylates the alpha subunit of eukaryotic translation initiation factor 2 (EIF2S1/eIF-2-alpha) in response to low amino acid availability. Plays a role as an activator of the integrated stress response (ISR) required for adaptation to amino acid starvation. EIF2S1/eIF-2-alpha phosphorylation in response to stress converts EIF2S1/eIF-2-alpha in a global protein synthesis inhibitor, leading to a global attenuation of cap-dependent translation, and thus to a reduced overall utilization of amino acids, while concomitantly initiating the preferential translation of ISR-specific mRNAs, such as the transcriptional activator ATF4, and hence allowing ATF4-mediated reprogramming of amino acid biosynthetic gene expression to alleviate nutrient depletion. Binds uncharged tRNAs. Involved in cell cycle arrest by promoting cyclin D1 mRNA translation repression after the unfolded protein response pathway (UPR) activation or cell cycle inhibitor CDKN1A/p21 mRNA translation activation in response to amino acid deprivation. Plays a role in the consolidation of synaptic plasticity, learning as well as formation of long-term memory. Plays a role in neurite outgrowth inhibition. Plays a proapoptotic role in response to glucose deprivation. Promotes global cellular protein synthesis repression in response to UV irradiation independently of the stress-activated protein kinase/c-Jun N-terminal kinase (SAPK/JNK) and p38 MAPK signaling pathways. Plays a role in the antiviral response against alphavirus infection; impairs early viral mRNA translation of the incoming genomic virus RNA, thus preventing alphavirus replication.; (Microbial infection) Plays a role in modulating the adaptive immune response to yellow fever virus infection; promotes dendritic cells to initiate autophagy and antigene presentation to both CD4(+) and CD8(+) T-cells under amino acid starvation.
-
基因功能參考文獻:
- Heritable pulmonary arterial hypertension is an autosomal dominant disease characterized by reduced penetrance, variable expressivity, and female predominance. Biallelic germline mutations in the gene EIF2AK4 are now associated with pulmonary veno-occlusive disease and pulmonary capillary hemangiomatosis. [review] PMID: 29032562
- GCN2 level was closely associateed with PRCC clinical parameters, larger tumor size, higher TNM stage, higher Fuhurman Grade, and lymph node metastasis. GCN2 overexpression is a prognostic biomarker linked to decreased OS and PFS of PRCC patients. PMID: 29865032
- basal ASNS expression at protein levels was significantly correlated with sensitivity to combined treatment. These results provide mechanistic insights into the role of GCN2 in the amino acid response and a rationale for further investigation of GCN2 inhibitors for the treatment of cancer. PMID: 30061420
- The biallelic founder mutation in EIF2AK4 was found in all affected cases and 2 unaffected relatives. Family screening showed 34.2% of healthy heterozygotes, high consanguinity, young age at childbirth, and frequent multiparity. Prognosis was bleak, with significant differences depending on tolerance to PVD. PMID: 28697925
- Heritable Pulmonary Veno-occlusive Disease and/or Pulmonary Capillary Hemangiomatosis is an autosomal recessive disease because of biallelic mutations in the eukaryotic translation initiation factor 2 alpha kinase 4 gene. PMID: 28661905
- EIF2AK4 mutations can also contribute to autosomal dominantly inherited pulmonary arterial hypertension. PMID: 27809840
- Heritable pulmonary veno-occlusive disease and/or pulmonary capillary haemangiomatosis due to bi-allelic EIF2AK4 mutations is characterised by a younger age at diagnosis but these patients display similar disease severity compared with mutation non-carriers. Response to therapy approved for pulmonary arterial hypertension in pulmonary veno-occlusive disease and/or pulmonary capillary haemangiomatosis is rare. PMID: 28087362
- Biallelic EIF2AK4 mutations are found in patients classified clinically as having idiopathic and heritable pulmonary arterial hypertension. PMID: 28972005
- Data show that siRNA-mediated depletion of general control nonderepressible 2 (GCN2) increases small RNA transcripts such as tRNA and 5S rRNA, and induces the p53 pathway activation. PMID: 28189689
- in response to vemurafenib, BRAF-mutated melanoma and colorectal cancer cells rapidly induced the ISR as a cytoprotective mechanism through activation of general control nonderepressible 2 (GCN2), an eIF2alpha kinase sensing amino acid levels PMID: 27965097
- A novel homozygous EIF2AK4 mutation (c.257+4A>C) was identified in 1 of 9 (11.1%) patients diagnosed with HPAH. The novel EIF2AK4 mutation (c.257+4A>C) was homozygous in two sisters with severe pulmonary hypertension. None of the 72 patients with IPAH had biallelic EIF2AK4 mutations. PMID: 28012804
- A novel homozygous EIF2AK4 mutation (c.257+4A>C) was identified in 1 of 9 (11.1%) patients diagnosed with HPAH. The novel EIF2AK4 mutation (c.257+4A>C) was homozygous in two sisters with severe pulmonary hypertension. None of the 72 patients with IPAH had biallelic EIF2AK4 mutations. PMID: 27884767
- This is the first reported case of EIF2AK4 mutation in PVOD in a Chinese patient population. We found the frameshift EIF2AK4 mutation c.1392delT (p.Arg465fs) in this case. PMID: 27684876
- IDO, through GCN2 kinase activation, downregulates the levels of TCRcomplex tchain and cMyc, resulting in the suppression of Tcell proliferation and a reduction in the levels of LDHA and GLS2 PMID: 26647830
- EIF2AK4 mutation was associated with pulmonary veno-occlusive disease. PVOD patients who were not significantly exposed to trichloroethylene were more likely to harbour EIF2AK4 mutations. PMID: 26541523
- Data show that sequenced eukaryotic translation initiation factor 2 alpha kinase 4 protein (EIF2AK4) with a homozygous mutation in all five families: c.3344C>T(p.P1115L). PMID: 25512148
- Targeting ALDH18A1 activated the serine/threonine protein kinase GCN2 (general control nonderepressible 2) to inhibit protein synthesis in melanoma. PMID: 26082174
- Upon deprivation of various amino acids, activated GCN2 up-regulates ATF4 to induce expression of the stress response protein Sestrin2, which is required to sustain repression of mTORC1 by blocking its lysosomal localization PMID: 26543160
- IDO through GCN2 kinase activation inhibits CD4(+) T-cell proliferation and down-regulates key enzymes that directly or indirectly promote FA synthesis, a prerequisite for CD4(+) T-cell proliferation and differentiation into effector cell lineages. PMID: 26147366
- GCN2 can exert its proapoptotic function in cancer cell death by posttranslational mechanisms. PMID: 25589675
- GCN2 activation and phosphorylation of eIF2alpha in response to mTORC1 inhibition are necessary for autophagy. PMID: 25759478
- This study is the first to examine the perceptual response to CPET in patients with PVOD who were carriers of EIF2AK4 mutations compared with PAH patients matched for resting haemodynamics and pulmonary function PMID: 25142489
- p58IPK is a general inhibitor of the eIF2alpha kinases in that it also interacts with GCN2. Thus forced overexpression of cytoplasmic p58 delays eIF2alpha phosphorylation, suppresses GCN2 phosphorylation and prolongs protein synthesis PMID: 25329545
- REVIEW: roles of GCN2 PMID: 24256275
- Association of EIF2AKE with body mass index in Chinese has been confirmed and is suggested to be 'ethnic specific'. PMID: 24827717
- Mutations in EIF2AK4 are likely to cause autosomal-recessive pulmonary capillary hemangiomatosis in familial and some nonfamilial cases. PMID: 24135949
- EIF2AK4 mutations cause pulmonary veno-occlusive disease. PMID: 24292273
- Data indicate that suppressing GCN2 and activating transcription factor 4 (ATF4), expression decreased Amino acid deprivation (AAD)-induced VEGF expression. PMID: 23908598
- GCN2 has a role as an early mediator in the cellular response to HIV-1 infection PMID: 23417324
- GCN2 leading to inhibition of viral RNA translation, and that HIV-1 protease cleaves GCN2 to overcome its antiviral effect. PMID: 23110064
- In this review, GCN2 senses the absence of one or more amino acids by virtue of direct binding to cognate tRNAs. PMID: 23216249
- The activation of autophagy in response to interferon (IFN)-gamma is promoted by tryptophan depletion and relies, at least in part, on the activation of GCN2-eIF2alpha kinase in kidney epithelial cells. PMID: 22896630
- Changes in translational control of mitochondrial proteins are signaled by the activation of AMPK (AMP-activated protein kinase) and GCN2, leading also to the activation of autophagy. PMID: 22435535
- The results suggest that GCN2 pathways can mediate the limiting effects of Gln deprivation on protein synthesis according to its severity. PMID: 21113813
- the GCN2/eIF2alpha/ATF4 pathway is essential for the induction of the TRB3 gene transcription PMID: 21203563
- Data show that impairment of autophagy stimulates PS1 expression and gamma-secretase activity through GCN2. PMID: 20168091
- The authors conclude that the GCN2-eIF2alpha-ATF4 pathway is critical for maintaining metabolic homeostasis in tumour cells, making it a novel and attractive target for anti-tumour approaches. PMID: 20473272
- GCN2 and its downstream target, the transcriptional activator ATF4, is critical for proliferation and survival of tumour cells after starvation for amino acids or glucose and is essential for growth in vivo in a xenograft model. PMID: 20551969
- MEK functions to enhance GCN2-dependent eIF2alpha phosphorylation rather than suppressing dephosphorylation PMID: 18287093
- UV-induced eIF2alpha phosphorylation by activation of both PERK and GCN2 via oxidative stress and l-arginine starvation signaling pathways. PMID: 19586904
顯示更多
收起更多
-
相關疾病:Pulmonary venoocclusive disease 2, autosomal recessive (PVOD2)
-
亞細胞定位:Cytoplasm.
-
蛋白家族:Protein kinase superfamily, Ser/Thr protein kinase family, GCN2 subfamily
-
組織特異性:Widely expressed. Expressed in lung, smooth muscle cells and macrophages.
-
數據庫鏈接:
Most popular with customers
-
-
YWHAB Recombinant Monoclonal Antibody
Applications: ELISA, WB, IHC, IF, FC
Species Reactivity: Human, Mouse, Rat
-
Phospho-YAP1 (S127) Recombinant Monoclonal Antibody
Applications: ELISA, WB, IHC
Species Reactivity: Human
-
-
-
-
-















